蛀牙,学名龋齿,几乎每个人都有,或者轻微或者严重到整颗牙蛀掉。
蛀牙不疼,感觉不需要看医生,放着不管吧,又怕慢慢蛀坏了,怎么办?
先来搞清楚蛀牙到什么程度了:

龋齿的发展过程
浅龋
破坏牙釉质,牙齿表面发黑有孔,一般没有明显的蛀牙洞,没有疼痛感。

治疗方法:树脂充填(补牙);采用正确的刷牙方式,养成良好的口腔卫生习惯,可以控制龋病发展。
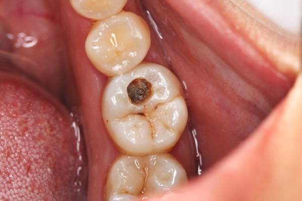
中龋
病变进展到牙本质,有明显蛀牙洞,受外界的冷、热、酸、甜等刺激会出现疼痛反应,当刺激源去除后疼痛立即消失。


治疗方法:树脂充填(补牙)

深龋
伤到牙本质深层,蛀牙洞大而深,受到外界刺激时疼痛加剧,但刺激消失后疼痛会停止。

治疗方式:护髓、充填
牙髓炎
伤及牙神经,受冷热酸甜等刺激时疼痛剧烈,不敢用凉水刷牙,不受外界任何刺激的情况下会突然发生剧烈疼痛,夜晚疼痛升级,常常因为牙痛难以入睡。

治疗方式:根管治疗+补牙+冠修复

根管治疗


根尖周炎
伤及牙神经,在牙髓炎症状的基础上,还会导致面颊部肿胀疼痛,使咬合无力、疼痛,甚至不能正常进食。

治疗方式:根管治疗+打桩+冠修复
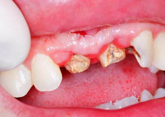
残根
牙齿连根龋坏,毫无保留价值。


治疗方式:烤瓷牙、种植牙
龋病的发生需要四个条件:
条件一:细菌
细菌是龋病的必要条件,致龋菌在口腔残留的食物残渣上繁殖,发酵而产酸,使牙齿被腐蚀、软化、脱钙。牙齿脱钙后,便慢慢形成龋洞。

条件二:糖
精细食物中的蔗糖含量多,糖进入菌斑,菌斑内的致龋菌使糖发酵形成各种酸,这些酸在牙面停留时间较长,将牙齿硬组织溶解破坏而产生龋病。

条件三:口腔环境
牙齿的形态、矿化程度和组织结构与龋病的发生有直接关系,如牙齿的窝沟处和矿化不良的牙容易患龋,而矿化程度较好、组织内含氟量适当的牙抗龋力较强。

牙齿脱矿
条件四:时间
龋病从初期到临床形成龋洞一般需1.5-2年,因此即使致龋细菌、适宜的环境、脱矿同时存在,龋病也不会立即发生,只有上述三个因素同时存在相当长的时间,才可能产生龋坏。
