像人一样,马儿也会得关节炎。马类关节炎,又叫作马类变性关节炎,马类增殖性关节炎,是一种慢性的长期的马类疾病。一旦马儿得了关节炎,准确地说是被确诊得了关节炎,已经是太迟了——这时候,关节退化已经到了一定程度无法被挽救了,即使是最好的兽医也只能是帮助马儿减缓这个关节退化的过程,并且减轻其中的疼痛。但无法治愈。这是一种不可逆的,无法被治愈的疾病。
得了关节炎的马儿一开始并没有什么特别明显的症状,但到了后期严重的时候,就会行动不便,包括瘸腿之类的。而且并不是只有年长的马儿才会得关节炎,甚至连年轻的幼年马儿(比如6个月大的马儿)也会得关节炎!
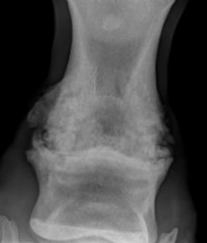
如果需要确诊是否的了关节炎,可不容易。不想马类疱疹病毒的确诊一样,可以通过血液检查得出,方便又快捷;想要判断马儿是否得了关节炎,需要给马儿麻醉并且让他们接受x光射线。
我们可以看一下这张x光。图里的马儿就有着严重的关节炎,可以看到图里的马儿关节处都有斑驳,而不是光滑的。如果这只可怜的马儿想要接受进一步治疗,只能尝试动手术,采用关节固定术(surgical arthrodesis)。关节处的骨头增生和碎片都需要通过关节内窥镜手术(arthroscopy)取出,之后才可以接受更进一步治疗。

但不是所有的马儿都需要动骨头动手术。毕竟手术也很贵啊……给马儿动手术比给人动手术还贵啊!或许下一篇文章我们会讨论一下给马动手术到底需要多少钱。
所以很多时候马儿确诊了马类关节炎,也只能是保守治疗,一般通过服药或者是接受关节处的注射。
最常见的方法有注射皮质类内固醇(corticosteroid)来缓解马儿的关节疼痛和肿胀,比如注射Triamcinalone;但值得注意的是,如果过量注射了皮质类内固醇,反而会加重马儿的关节炎的严重程度。所以,找到一个有经验的兽医来为马儿做正确的诊断和治疗是非常重要的。
另外,兽医也会考虑注射透明质酸(Hyaluronic acid)来为马儿的关节处提供更多的润滑,帮助关节正常移动。
很多时候,透明质酸和皮质类内固醇产品是同时使用的。
最牛逼的一种方法是用干细胞治疗马儿的关节退化。通过注射干细胞,可以让马儿的身体自发去愈合一些关节的损伤。但这种疗法还没有经过大群体的测试,所以并没有广泛推行.....
另外的还有一些通过肌肉注射的药物,比如Polysulfated Glycosaminoglycans,或者它的另一个更加常见的名字叫做Adequan;它通常用在马儿和狗狗身上,用来缓解他们的关节疼痛肿胀,以及由关节疼痛造成的瘸腿。Adequan具有重要的抗炎作用,能够缓解关节损伤的症状;另外它也可以刺激关节滑膜制造新的关节液,提高润滑能力。
常见的药物还有PRP- Platelet-rich plasma,能够帮助缓解马类的韧带和腱损伤,这种药物也常用在人类身上,比如关节受损的网球运动员等等。

这些注射药物并不是一次注射终身有效,取决于每只马匹的情况,可能每隔几个月就需要重新使用一次。大部分情况下,大概是每年2-3次。
那我们该如何预防马儿得关节炎呢?
1) 保证马儿有着足够的运动量,并且确保这种运动量适合马儿的身体状况;不要让马儿过劳。
2) 用冰块冷敷关节处,如果马儿刚刚经受了很大的运动量。
3) 定期检查马儿的关节处,看看有没有肿胀或者损伤。
4) 确保马儿的马蹄铁是吻合的,没有脱落。因为如果一旦一边是脱落松弛的,而另一边不是,那么就会造成两边的不平衡。这样不仅马儿跑起来会很不舒服,还容易造成关节扭伤。
5)最后,确保马儿的营养充足均衡,帮助马儿预防肥胖。肥胖的马儿更容易得关节炎。
