肺功能检查在很多基层医生眼里总是觉得不如影像学检查来的直观,也常常被误以为只是诊断哮喘和COPD的工具,其实肺通气功能检查可以帮助我们诊断很多气道疾病,有时候还在肺功能的提示下进一步检查后发现了问题,下面就举几个例子。
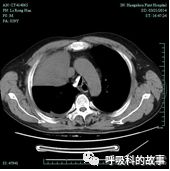
病例一患者,男性,58岁,因反复咳嗽10年,加重伴发热1周入院。患者10年前无明显诱因出现咳嗽,干咳为主,无咯血、胸痛气急、发热等,在当地医院诊断为“慢性支气管炎”,长期服用各种止咳药物,效果不佳。1周前咳嗽加剧,伴发热(最高体温38.9℃)。既往有高血压2年,吸烟10 包年,已戒3年。查体:T38.3℃,脉搏92次/分,呼吸21次/分,血压114/62mmHg。呼吸平稳,口唇无发绀;气管居中,双肺呼吸音粗,无罗音;心脏腹部体检无异常。辅助检查:血白细胞 12.7×109/L,中性粒细胞81.4%,C-反应蛋白>160mg/L,血沉 77mm/h;T-SPOT、结核抗体、肺部肿瘤标记物均阴性。肺通气功能示吸气相和呼气相平台样改变,以吸气相明显(图1)。胸部CT检查:气管及支气管管壁广泛钙化,右上中肺支气管狭窄或闭塞,伴右中上肺肺不张改变,右侧胸腔少量积液(见图2)。支气管镜检查见气管上段开始可见两侧壁粘膜广泛钙化高低不平,管腔狭小,右主支气管管腔狭小,右上叶开口完全闭塞(见图3)。于右主支气管粘膜活检,病理示支气管黏膜下见骨板形成,诊断为骨化性气管支气管病。

图1肺通气功能显示吸气相及呼气相均存在平台样改变。

图2纵隔窗CT示气管下段右侧壁可见管壁钙化,右上叶支气管开口闭塞,右上叶大片密度均匀的实变影。

图3气管镜下两侧壁黏膜广泛钙化,高低不平右侧壁为主,右上叶开口完全闭塞。
例2患者,男性,27岁,因“反复发作性喘息20余年,加重1天”入院。既往有“过敏性鼻炎史”病史多年。20余年前受凉后反复发作性喘息,曾诊断为“支气管哮喘”。近1年来不规律吸入“舒利迭”治疗。1月余前患者工作时无明显诱因下再次出现发作性喘息,端坐位呼吸,言语困难,乏力明显,伴大汗淋漓,急诊送入某医院,诊断为“重症哮喘”,予“氨茶碱”、“环丙沙星”抗感染及“甲基强的松龙”抗炎治疗后未见好转,测氧饱和度88%~91%,行气管插管转入ICU行人工通气治疗,气管插管持续17天,待病情平稳后拔管。患者喘息症状有所好转,但出现饮水后呛咳,并未引起重视。出院后患者仍有反复喘息、咳嗽,夜间及进食后明显,继续自行应用“舒利迭、万托林、阿斯美”症状未能完全缓解。入院前1天前患者于夜间再次出现喘息,呼吸困难,伴有发热,应用“沙丁胺醇”吸入后无明显缓解,即来我院就诊。入院查体:体温37.3℃,血压130/65mmHg,脉搏118次/分,呼吸22次/分,神志清楚,球结膜无水肿,口唇稍紫绀,颈静脉无充盈,颈部淋巴结未触及肿大。气管居中,胸廓对称,吸气时可见轻度吸气三凹征。双肺叩诊过清音,两肺呼吸音粗,可闻及广泛哮鸣音,颈部气管闻及喘鸣音,双下肺可闻及湿性啰音。心率118次/分,心律齐,各瓣膜区未闻及杂音。入院后肺功能提示:重度阻塞性通气功能障碍,上气道为固定性狭窄(图4);行气管CT三维重建提示声门下方气管狭窄,在第二胸椎水平(气管狭窄下端)见气管食管之间有瘘道相连,瘘口直径约2cm(图5)。支气管镜示声带活动正常,进入声门后约2cm处可见气管狭窄,仅留约0.6cm小孔,纤支镜不能通过(图5)。诊断:难治性哮喘,气管食管瘘,气管狭窄。

图4肺功能示不论吸气还是呼气,流速均低平。

图5胸部CT气管三维重建示气管在第二胸椎水平与食管有一瘘道相连,瘘道上方气管狭窄。

图6纤支镜示进入声门后约2cm处可见气管狭窄,仅留约0.6cm小孔,纤支镜不能通过。
病例3患者,男性,57岁,以“咳嗽咳痰半年,气急2月,加重2周”入院。半年前出现咳嗽、咳痰,咳嗽时感胸口疼痛,血白细胞 5.1×109/L,中性粒细胞75%,血红蛋白88g/L,血小板计数 243×109/L“,诊断“缺铁性贫血”,予“力蜚能”,病情未见好转。到外院住院,骨髓细胞学检查“粒系胞浆中可见中毒颗粒,少部分有巨有样变,成熟粒细胞分叶增多”,胸部CT检查示“气管壁增厚待查”,予“曲马多胶囊、叶酸”等治疗后,复查血红蛋白 89g/L,咳嗽时胸部疼痛较前减轻出院。2个月前咳嗽、咳痰未控制,伴发气急,活动后明显,在外院诊断为“支气管哮喘急性发作”,予以 “舒利迭、万托林”治疗效果不佳,转我院治疗。既往有吸烟史20余年,平均2-3包/天,目前已戒烟10年。实验室检查:总蛋白 75.3g/L,免疫球蛋白G 24.45g/L,补体C3 2.06g/L,补体C4 517mg/L,HLA-B27 阴性;血沉 80mm/h;自身抗体ANA 1:100、SSA 阳性。肺功能显示固定性气流受限样改变(图7)。肺部气道CT三维重建示气管及主支气管壁增厚及管腔局部狭窄(图8)。诊断为复发性多软骨炎。

图7肺功能示吸气相及呼气相均呈现平台样改变;

图8气道三维重建见气道壁弥漫增厚及管腔局部狭窄;

图9纵隔窗示气道壁弥漫增厚。
讨论
上气道梗阻包括了隆突以上声门以下的气道出现结构改变所引起的肺功能变化,经常被误诊为哮喘和慢性支气管炎,因此反复按常规治疗无效的情况下进行肺功能检查才有助于明确诊断。上气道梗阻表现既有相同点也有一些差异,主要是梗阻的部位和病变的特点决定的。
例如不论上气道梗阻发生在胸腔内还是胸腔外,如果病变是气管弥漫增厚或者气管弥漫狭窄的,都表现为固定型气流受限(见图10),即吸气相和呼吸相都存在严重的气流受限,故均呈现平台样改变,且两者的流速基本相等。这是由于大气道的横截面积非常小,因此只要轻微阻塞即可导致流速显著下降;狭窄固定,最大气道阻力也恒定,对吸气和呼气的影响类似。本文例2和例3均是这样的表现,其中例2 是气道固定性狭窄,而例3是气管弥漫增厚。

图10固定型上气道梗阻容量流速环表现及其解析
如果病变在胸腔内,仅是气道局部病变或者非固定性大气道阻塞,气道尚能扩张,则也出现吸气和呼气平台样改变,但是吸气时的速度要快于呼气时速度,这是因为由于吸气时胸腔呈负压状态,气管也受负压吸引,而吸气时胸腔呈正压状态下气道受到压迫;因此气道通路吸气时相对于呼气相开放程度大一些,所以吸气时的流速也会快一些。反之如果病变是胸腔外气管上段的非固定性大气道阻塞,则是呼气相流速快于吸气相,如例1。

图11 胸内可变型上气道阻塞
总之,肺功能检查在判断大气道病变上很有价值,其中所蕴含的病理生理机制也让人回味无穷。