患者自2020年8月4日始头晕,2020年8月25日双手麻,双胳膊麻,于兰大二院定西分院检查颈椎MRI及腰椎X线片, 提示1. 颈椎生理曲度变直,2. 颈椎骨质增生,3. 颈椎间盘变性,颈4-7椎间盘轻度膨隆,4. 腰椎侧弯畸形。









2020年12月11日,在甘肃省中医院脊柱骨二科看完,吃中药治疗半月,
2021年12月12日去渭源县医院做颈椎腰椎MRI,提示1.腰椎侧弯畸形并骨质增生,2. L5S1椎体终板炎(I型), 3. L1-S1椎间盘变性并腰2-4,腰5骶1椎间盘膨出,腰4-5椎间盘突出并相应平面继发性椎管狭窄。2020年12月中旬于渭源县医院行骶管注射2次6针后睡眠改善,






2021年2月4日,3月3日,3月12日,3月30日,4月12日,4月26日甘肃省中医药大学附属医院看睡眠问题,开药,主要对症不寐症,更年期综合症,抑郁症,吃药后可睡着,不吃药不能入睡。现在主要症状:腰痛,左腿痛,双脚麻,不能走路,可坚持续行1小时,久立半小时。卧床也痛,睡不着,不吃药时不能入睡(抗不寐症,抗抑郁,及抗更年期综合症药)。
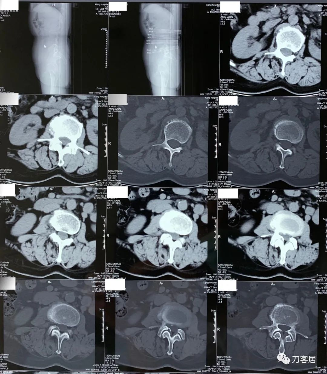
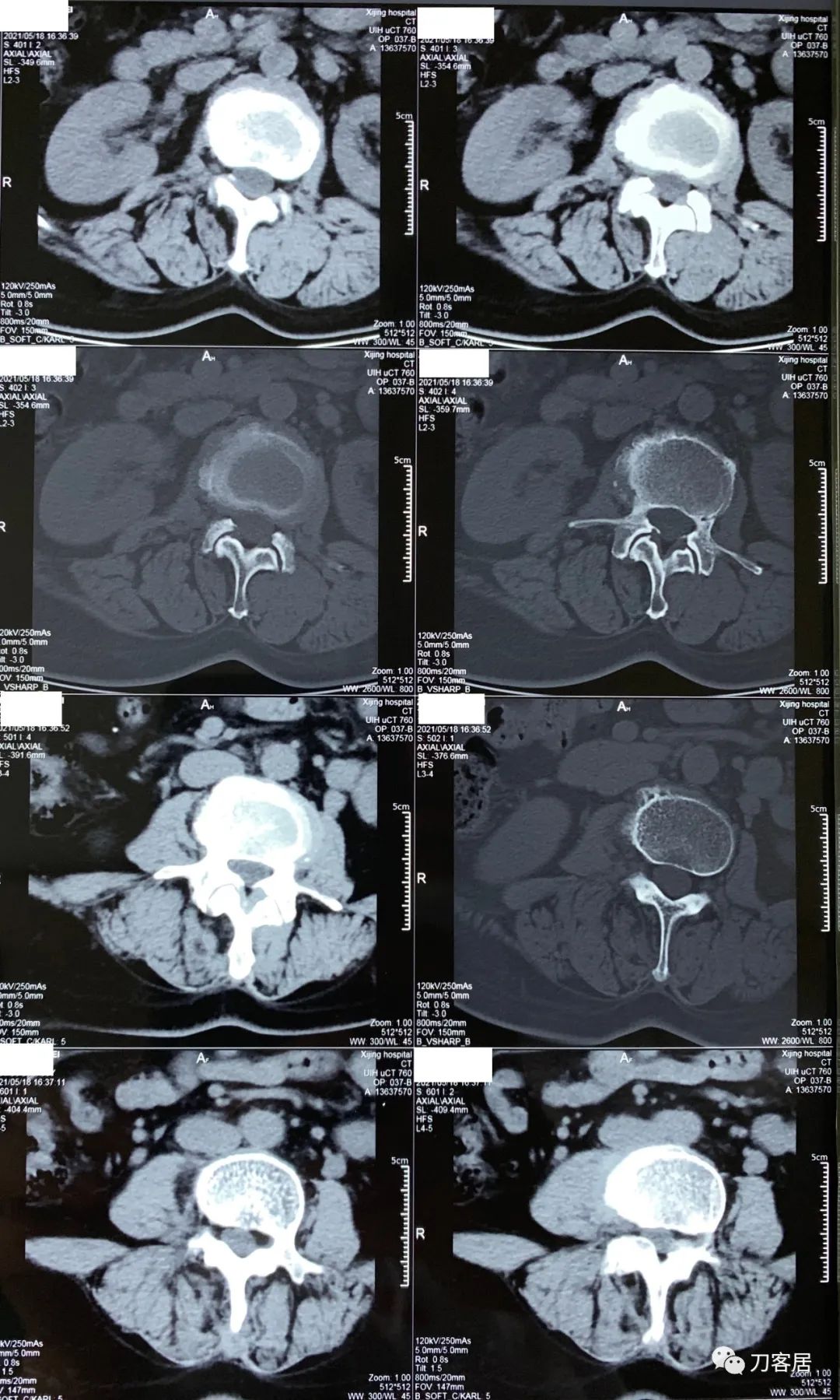
2021年5月17日,西京医院骨科门诊找我就诊,自带影像学检查资料提示腰椎侧弯,腰3-4,腰4-5椎间盘突出,黄韧带肥厚,椎管狭窄。
查体: 跟行,跖行,起跳,下蹲,弯腰无受限。
诊断: 腰椎侧弯,腰3-5椎间盘突出,腰椎管狭窄,骨质疏松症,抑郁症。
建议其查双光子骨密度,骨盆正位片以及腰椎间盘平扫。腰椎正侧位X线片以及动力位片,站立位脊柱全长正侧位X线片,以了解其是否有骨质疏松,并了解脊柱侧弯情况,腰椎局部X线表现情况和腰椎间盘突出和椎管狭窄情况。














同时建议其到我们医院心身科就诊,以明确是否存在心理性疾病。
2021年5月18日,心身科就诊后,经过多个量表的检查和评估,诊断其患有抑郁症,焦虑状态,并予以药物治疗,

2021年5月19日,患者复来我的门诊,我向患者及家属征求他们的许可和同意,并获得他们的许可和同意,可将患者的资料,在隐藏患者个人隐私信息后,于网上进行学术讨论和分享。

从这个患者的影像资料分析,颈椎间盘突出问题不大,没有明确的上位神经元损伤表现,所以,不考虑颈椎和胸椎问题。腰椎侧弯畸形,但不严重。因为存在腰椎侧弯,使得腰椎MRI在扫描切面的时候,显示的椎间盘突出或椎管狭窄会有一定的误差,所以,又加做了经椎间盘的CT平扫,影像表现并不严重,综上,腰椎间盘突出,腰椎管狭窄,腰椎侧弯,不考虑手术治疗。同时,患者的主要痛苦是心理疾病,而不是器质性疾病,所以,以心身疾病治疗为主。虽然患者骨密度检查结果提示正常,但X线片显示骨质疏松,且其症状也与骨质疏松的症状有符合之处,比如静息痛,不能入睡,动作及姿势变换时痛加重等,所以,给予实验性抗骨质疏松治疗,以观疗效。
附: 让患者自己书写的发病及诊疗过程
1. 2020年8月4日因头晕,就诊于兰大二院定西分院,颈椎MRI检查提示颈椎生理曲度变直,颈椎骨质增生,颈椎间盘变性,颈4-5,颈5-6,颈6-7椎间盘轻度膨隆,相应层面硬膜囊受压
2. 2020年8月25日在兰大二院定西分院因手麻,胳膊麻,做了颈椎核磁检查
3. 2020年12月11日,在甘肃省中医院脊柱骨二科看病,吃中药,治疗半月,中途12月12日去渭源县医院做了核磁检查,提示腰椎侧弯畸形并骨质增生,腰5骶1椎体终板炎(I型), 腰1-骶1椎间盘变性并腰2-3,腰3-4,腰5骶1椎间盘膨出,腰4-5椎间盘突出并相应平面继发性椎管狭窄。
4. 2020年12月中下旬打完6针脊管注射针之后,睡不着了。
5. 2021年2月4日,3月3日,3月12日,3月30日,4月14日,4月26日在甘肃省中医药大学附属医院看睡眠问题,诊断为不寐症,更年期综合症,抑郁症,吃药能睡着,不吃睡不着。
6. 现在主要症状: 腰痛,左腿痛,双脚麻, 不能走路,睡下(躺床上)也疼,睡不着(不吃药干脆睡不着,吃药能睡一会儿)


因为最后一张患者家属自述看病经历中,患者的名字漏了脱敏了,没有打码,所以,发出后,有两位网友提醒我,就赶紧删除后重新发送。
谢谢琥珀@琥珀和~睿比的提醒。