手术切除恶性肿瘤后,又复发了。这是许多患者最为头疼的问题。近日,西安国际医学中心医院放射治疗中心采用容积旋转调强技术解决了困扰患者两年之久的难题。
60岁的李先生17年前做了食管癌根治手术。近两年,他发觉吃饭时吞咽很困难,外院检查后发现是新生物导致食管腔狭窄,考虑是肿瘤吻合口复发,便做了靶向治疗、化疗。
遗憾的是,多次治疗后并未见效。一个月前,李先生吞咽困难的情况更加严重了,连喝水都费劲。心急如焚的家人带着他来到西安国际医学中心医院就诊。
在外院经历了化疗的痛苦却未见效,李先生心有余悸。刚入院时,便反复咨询主管医生,有没有更好的办法治疗。
“既要精准对肿瘤部位治疗,又不能伤及正常组织。”陆军主任仔细查阅了检查结果,根据患者病情制定了个性化治疗方案,采用容积旋转调强技术为患者放疗。
资料显示,容积旋转调强是当今先进的快速调强放疗技术之一,具有“快、准、优”的特点。它比常规的调强放疗技术要快2—8倍,完成一次治疗只需2-6分钟,在显著缩短病人治疗时间的同时,还能更好的优化肿瘤靶区剂量和保护正常组织。
“通过调节加速器内的多叶光栅以及各个角度的机架旋转速度,不仅让放射线随着肿瘤厚度调弱、增强,还能考虑肿瘤体积各部位的厚薄不同给予最适合的放射线强度。可在360度单弧或多弧设定的任何角度范围内,对肿瘤进行旋转照射,比传统治疗方式照射范围更大、更灵活、更精准。”陆军主任介绍。
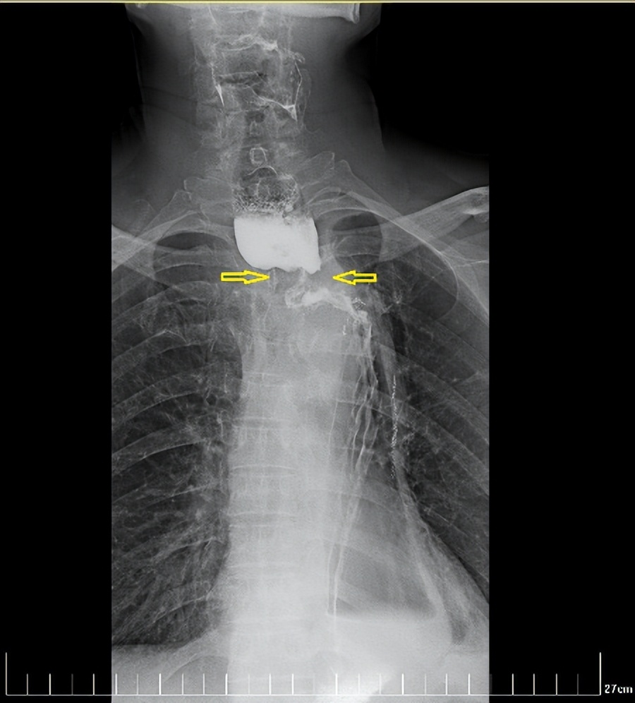
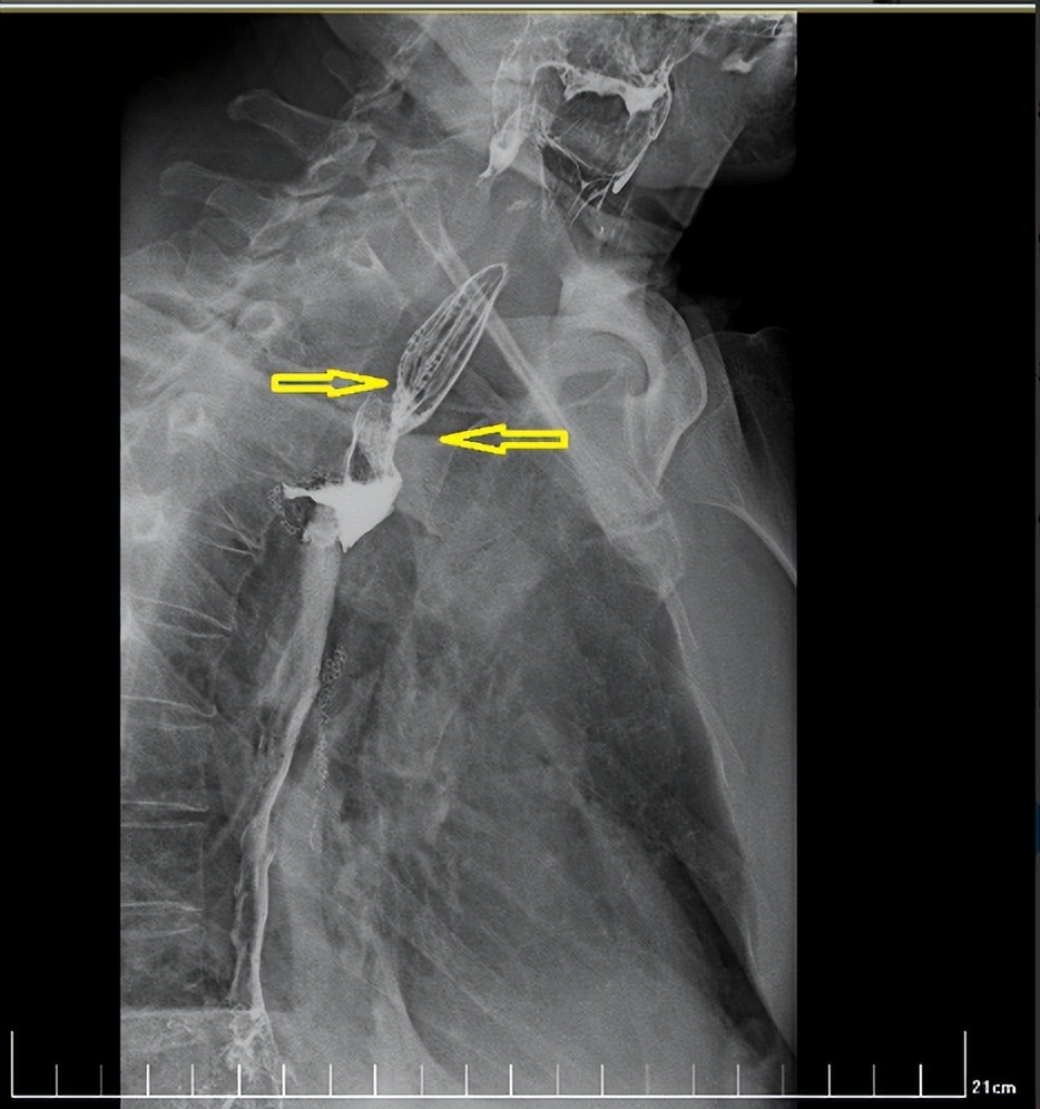
经过一个周期的放疗,李先生明显感受好多了,可以正常吃饭喝水。食管钡餐造影显示,食管吻合口区肿块明显缩小,食管狭窄减轻。
治疗前

治疗后

治疗前

治疗后

治疗前

治疗后

目前,在放射治疗中心全体医护人员的共同努力下,容积旋转调强放射治疗技术日渐成熟,已治疗数位肿瘤患者,明显提高了肿瘤病灶的控制率,延长了患者生存期。
知识课堂
什么是容积旋转调强放疗(Volumetric Modulated Arc Therapy, 简称VMAT)?
容积旋转调强放疗是在图像引导放疗的基础上,由逆向优化治疗计划系统配合高精度加速器,并在三维剂量验证保证下的一种先进放疗技术。
该技术利用单弧,或多个弧度,在其中的任意角度内对肿瘤进行旋转照射。射线束在旋转照射过程中,剂量率、机架转速、叶片位置等参数可以进行动态调整。这种技术照射范围更大、更灵活、更精准、剂量聚焦效果更好,在早期肿瘤和复杂肿瘤的照射中更显示出优势。
通讯员:向 婷