人们对于痛风有着自己不同的“待客之道”,最近看到的一个比较有趣的说法就是:痛风就是一款恐怖游戏,虽然可怕但终究还是游戏;游戏有规则、策略和目标;游戏的参与者就是痛风患者们,痛风患者对待痛风的态度就是痛的时候“关机”,不痛的时候“挂机”。
当然,有些朋友并不怎么玩游戏,我就得用通俗的方法说:不少痛风患者对于痛风这种晶体性关节炎的态度就是:痛的时候“病急乱投医”,不痛的时候不管不顾,尿酸降下来就停药;但这些做法确实欠妥当。
也有患者,却连自己所患疾病是不是痛风都不知道。虽然痛风起病是以第一跖趾关节和趾间关节疼痛剧烈难忍、肿胀和局部发红发热为主,但并非脚痛就非要确认为痛风,也并非脚不痛就不是痛风。今天我就来讲一讲,痛风容易被误诊的六种情况。

不能只把脚痛当作是痛风,脚不痛也有可能是痛风
脚痛除了痛风,也有可能是其他炎症
患者:“医生,我脚一直在疼,是不是痛风?”
医生:“疼在哪儿?疼了多久?有没有用药?”
患者:“我不知道啊!总之就是一直疼。”
大概因为痛风常常是脚的大拇趾疼痛剧烈的原因,不少朋友就想当然地认为脚疼就是痛风。其实并非如此,常见引起足底疼痛的原因还真有不少,除了痛风,还有足底筋膜炎等。
- 痛风引起的脚痛:常常是因为长期尿酸高于420μmol/L,因为过量进食、过量饮酒、过量摄取嘌呤和蛋白质、持续工作、持续熬夜、人际关系出现问题、进行激烈运动、运动导致出汗又未能及时补水、穿比较紧的鞋走路等,诱发脚的大拇趾关节红、肿、热、痛,常常发病是在没有任何先兆的夜晚或凌晨关节剧痛而惊醒,在24~48小时内疼痛就会达到高峰,一般有60~70%左右的患者首发于脚的大拇趾关节。

典型痛风发作是在第一跖趾关节炎症
- 足底筋膜炎引起的脚痛:常常是因为长时间走路或者跑步,导致足底肌肉长期处于持续负担较大压力的紧张状态;或者是因为短时间内下肢关节的剧烈运动等,对足底筋膜造成损伤,出现足底的筋膜和肌肉劳损,引起的无菌性炎症。一般是长时间步行或者早晨起床后,足底会出现疼痛与不适,压痛点常在足底近足跟处,有时压痛较剧烈且持续存在,常常发生的部位是靠近足跟的部位。

足底筋膜炎疼痛部位常在足底近足跟处
- 跟腱炎引起的脚痛:常常是在运动过程中,由于小腿腓肠肌和跟腱长期承受反复过度牵拉导致;另外,突然增加锻炼强度或频率也常引起跟腱炎。跟腱炎一般是跟腱急慢性劳损后形成的无菌性炎症。通常跟腱炎表现是足跟部上方或内部的酸痛、疼痛、压痛,而且出现活动后加剧的情况。跟腱炎的痛感通常是在清晨或者是剧烈运动后的休息期间发作,可以发生在跟腱部位的任何一个区域。

跟腱炎/阿基里斯腱钙化的常见原因或症状
- 拇指外翻引起的脚痛:是指脚拇趾底部凸出的骨头和组织出现疼痛,也称为拇囊炎或“大脚骨”,一般女性居多。拇外翻常常是拇趾向外偏斜移位超过正常生理角度的一种足部畸形,是具有遗传倾向的一种软组织失衡,同时伴有骨结构畸形的疾病;拇外翻也会和长期穿窄头高跟鞋或扁平足等足部疾病有一定的关系,除了大脚趾内侧疼痛和红肿之外,还有前足畸形等情况发生。

拇外翻的几种发生情况
- 跟骨滑囊炎引起的脚痛:炎症可以由损伤引起,部分是直接*力暴**损伤,有些是关节屈、伸外展、外旋等动作过度,经反复长期、持续的摩擦和压迫,使滑囊劳损产生的炎症。早期在足跟后上方只可见一个小的轻度变硬有压痛的红斑,当发炎的滑囊增大时,在跟腱上就会出现一个疼痛的红色肿块,红肿热痛症状明显。根据病人所穿鞋型,有时肿胀扩展到跟腱的两侧。
- 趾骨痛引起的脚痛:常表现为前脚掌疼痛,同时前脚掌中间位置会出现很厚的脚垫。可能与足部的不正常结构和不正常的跖趾活动有关。常见因素包括穿着不适的鞋子,如足跟太高的鞋、前足窄的鞋,反复长时间慢跑或跳舞,前足压力过大,活动幅度过大,年龄大,足底脂肪垫变薄或退化等。
除了以上常见的脚痛外,还包括老茧造成的脚底疼痛、足底疣造成的足底痛、脚跟骨刺造成的脚跟痛、槌状趾或嵌甲造成的脚趾疼痛、骨关节炎造成的大趾关节疼痛、脂肪垫萎缩造成的足痛等,这些都需要和痛风相区分。

脚部疼痛部位不同,炎症不同,疾病也不同
痛风除了脚痛,还可能其它部位疼痛
患者:“我脚不痛,可是我的膝盖痛,是不是痛风呢?”
医生:“您平常尿酸高吗?”
患者:“尿酸一直高,但我就是不敢确定是不是痛风,膝盖红肿、疼痛难忍。”
从前面我们可以看到,急性痛风性关节炎虽然大多发生在下肢关节,其中又以第一跖趾关节最为常见,全身其他各个关节均可受累。但是,脚痛并不一定就是痛风;痛风也不一定就只会发生在脚部。
这是因为,持续高尿酸值的状态后,虽然尿酸结晶可能沉淀在身体的每一个关节,但是容易沉积尿酸的关节不只是在脚部。只是痛风容易在脚的拇指关节发作而已,原因在于:脚趾处于肢体末端,血液循环相对较差,而且脚部温度相对较低;另外我们每天都要走路运动,容易导致脚部负担较大的压力,包括支撑体重、保持身体平衡等作用;此外脚部容易沉积尿酸盐结晶,而且体液酸碱值容易偏低,乳酸等代谢产物容易堆积。

晶体促发急性痛风性关节炎的炎症机制
虽然如此,但是痛风的发作也不只是会发生在脚上,只是以第一跖趾关节关节常见而已。
- 初次发作痛风常常出现在下肢关节:初次痛风急性发作,脚的大拇趾疼痛、红肿、发热是相对较为常见的单关节炎症,但其实膝关节、距小腿关节也是常见的受累关节;在反复发作过程中,小腿关节、膝关节和第一跖趾关节是三个常见受累关节;根据发作的频率,其他容易受累的关节依次是足、踝、足跟、膝、腕和肘关节。

痛风容易发作的部位
- 罕见的关节受累情况:虽然痛风常见于下肢关节,或是全身所有关节都可能受累,但是常常受累的关节还是四肢关节。女性痛风患者首发症状可以表现为超过2个以上的关节受累,多位于手关节,所以容易和类风湿关节炎相混淆;也有痛风偶尔会累及颞下颌关节,病变通常局限在关节部位并引起疼痛和张口困难;痛风还可以累及喉部,典型的症状表现是声嘶、吞咽痛、喘鸣或喉部肿块,有痛风病史的患者尤其要注意;痛风还可以累及肩锁关节甚至脊柱关节,如果脊柱关节出现剧烈疼痛和神经压迫症状,也需要注意。
- 慢性痛风性关节炎常常累及多关节:慢性痛风性关节炎的典型临床表现是痛风石,一般会反复发作及受累关节逐渐增多,严重者可以累及肩、髋、脊柱、骶髂、胸锁、下颌等关节及肋软骨,患者可以出现肩背痛、胸痛、肋间神经痛、坐骨神经痛等表现,少数可以发生腕管综合征。

典型的第一跖趾关节红肿和疼痛
痛风也不一定会痛,确诊痛风需要检查
患者:“我脚就是一直有不适感,感觉走路就痛,是不是痛风呢?”
医生:“您做过相关检查没有?”
患者:“还需要做检查吗?痛风不是比较好判断吗?”
其实有些痛风患者,在早期急性痛风发作时,疼痛的症状也是不够典型,比如说仅仅表现为关节刺痛或关节麻木、异物感、僵硬感等关节不适的感觉。因为这些不够典型的症状,也没有当作一回事,直到发展到关节畸形或出现典型的痛风影像学改变时才得以明确诊断。
实际上,站在医生的角度来说:如果出现了关节不适感或者身体关节出现疼痛,建议还是及早到医院做检查;即使不是痛风,对于风湿免疫性疾病、关节炎或骨科疾病来说,早发现、早诊断吃、早治疗才能达到较好的预后。

部分不同关节的疼痛情况
而如果怀疑自己是痛风,即使是典型症状,也需要在医院进行相关的检查,以此进行确诊。主要的鉴别诊断与检查内容包括:
- 常见临床症状诊断:如果符合下述标准的5条或以上即诊断为痛风:①急性关节炎发作>1次;②炎症反应在24小时内到达高峰,14天以内症状缓解;③单关节炎发作;④肉眼可见炎症发作关节发红;⑤第一跖趾关节疼痛或肿胀;⑥单侧第一纸质关节受累;⑦单侧跗骨关节受累;⑧可疑痛风石;⑨高尿酸血症;⑩不对称关节内肿胀。
- 血尿酸检查:血尿酸水平升高是痛风患者主要的临床生化特点,但是不能作为判断是否痛风的唯一标准。尤其是急性期痛风患者,临床有不少会出现血尿酸水平处于420μmol/L以下的情况;血尿酸水平与痛风临床表现的严重程度并不一定完全平行。所以理想情况下,需要在患者未接受降尿酸治疗和症状发作2~4周后再进行进一步测定。
- 血常规检查:关节炎发作期间可以有外周血白细胞增多、血沉加快,C反应蛋白增高;急性尿酸性肾病影响肾小球滤过功能时,可以出现血尿素氮和肌酐升高。

痛风常见的实验室检测报告
- 关节滑液检查:急性痛风性关节炎患者的关节滑液增多,抽取滑液可见外观多为白色不透明的液体,在偏振光显微镜下可于白细胞内见到双折光的针状尿酸盐晶体。
- 肌骨超声检查:肌骨超声检查可以识别关节滑膜炎及积液、肌腱炎和腱鞘炎、滑囊炎、皮肤及皮下组织改变等,可以显示软组织、软骨、关节及痛风沉积物。
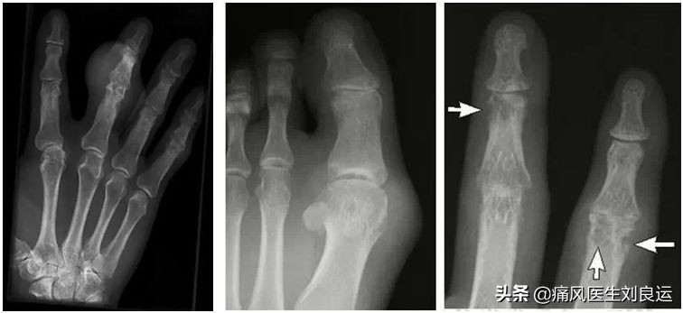
- DR检测:可以发现手或足至少有一处骨侵蚀,一般在疼痛或受累关节周围软组织偏侧性或弥漫性局限性膨大,有时可以见到密度增高、皮肤或皮下脂肪明显有分界及肌间脂肪线模糊、皮下和肌间脂肪密度增高,软组织肿胀多为唯一的X线表现,而且早期为可逆性。

痛风急性发作期的X线表现
通常来说,通过这些相关的检查,不仅能区分其他脚痛与痛风,而且能区分类风湿关节炎、化脓性关节炎、蜂窝组织炎、假性痛风等。
根据我的临床经验,为防止漏诊,一般来说还有几点需要注意:
⑴符合痛风的典型症状,但不能以血尿酸正常轻易排除痛风的诊断;⑵使用非甾体抗炎药或扶他林软膏、激素药物可以让痛风缓解,但也可以让其它关节炎缓解,也不能作为痛风的诊断标准;⑶反复发作的肾结石有时候也是痛风的首发症状,在血尿酸检查时有条件情况下可以做尿尿酸检查,以进行确诊;⑷单一的关节X线下缺损性改变,也可能在其他关节炎上发生,也需要防止痛风漏诊。