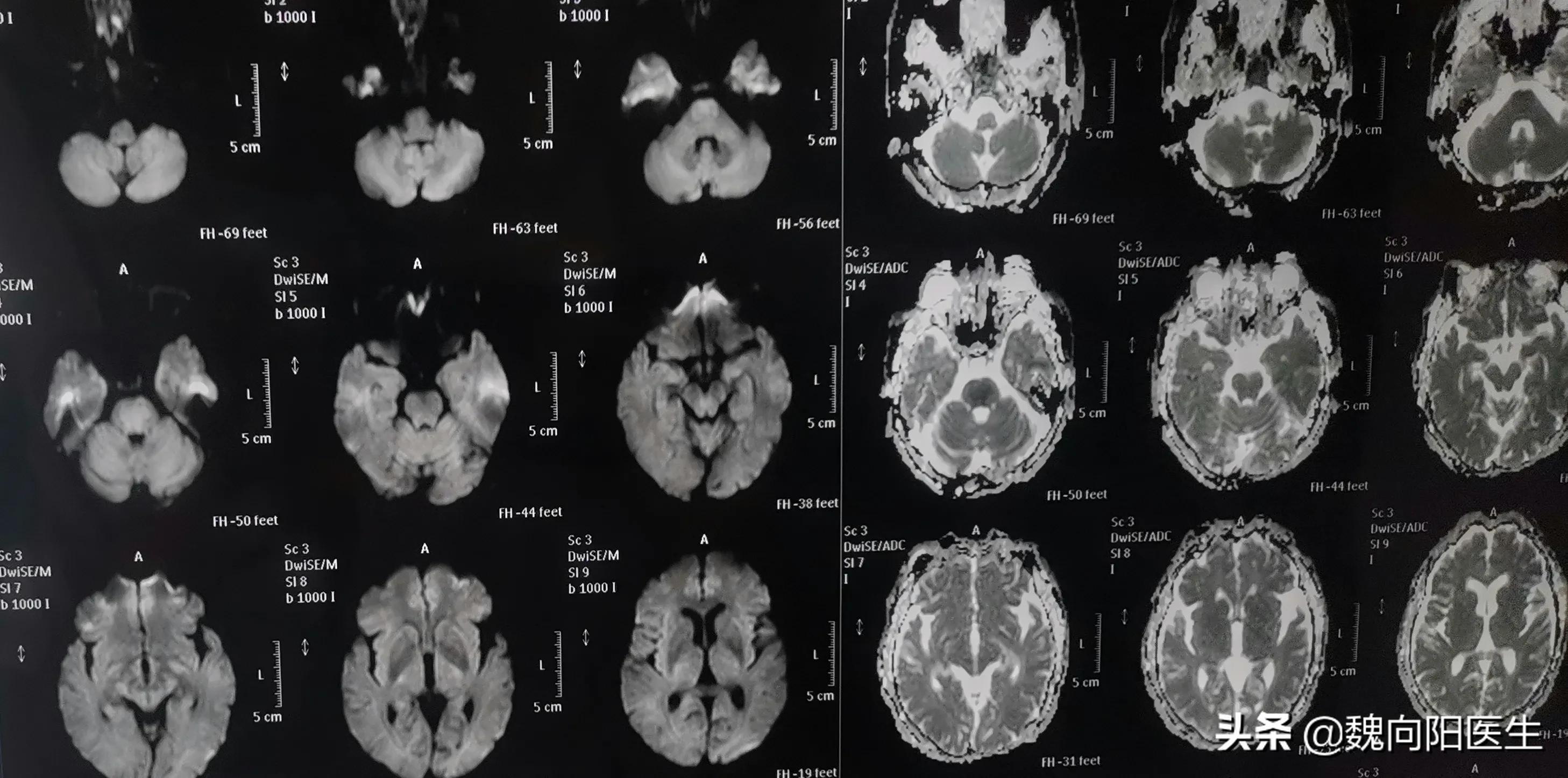
今天急诊收了63岁女性患者,突发意识不清三个小时,头核磁提示:“脑干梗死,椎动脉不显影”。#脑梗死##脑卒中#
立即给予静脉溶栓治疗,但患者症状仍进行加重,致浅昏迷状态。
向患者家属反复交代,患者考虑大血管闭塞,应该立即向血管造影加血管闭塞再通治疗。
但是老伴并没有认识到事情的严重性,一直说考虑、考虑、再考虑……
急性脑梗死每一秒钟就会有190万个脑细胞缺血坏死,越早开通血管,则有更多的脑细胞获益。
医生再三的催促老伴儿,这才打电话跟家属商量,最终同意决定手术治疗。
由于患者子女在国外,只有老两口相依为命。估计是看到患者突然住院,然后患者老伴儿一下子懵了,不知道该干什么,根本就没有听见医生的话。

诊断:脑干梗死。
脑血管造影发现:椎动脉次全闭塞状态。

细若游丝椎动脉
立即给球囊扩张+支架植入,患者狭窄消失,远端血流通畅,大脑重新恢复供血。
期待患者的预后………

术后复查CT提示:脑干造影剂渗漏,考虑脑干梗死导致。(脑干梗死体积较大)

后循环卒中多是由于椎基底动脉闭塞导致,患者一般症状比较严重,预后较差。对于怀疑后循环脑卒中患者,一定要及时的脑血管检查,对于椎基底动脉狭窄或闭塞者,立即给予血管开通治疗,尽早的恢复血流再灌注,以减少对脑细胞的进一步损害。
@魏向阳医生专业权威脑卒中治疗。
