
近日,北京积水潭医院心内科与急诊科联手完成了一场生命的接力赛,面对患者急转直下的病情,在紧迫的时间压力下,迅速开通心梗绿色通道,成功将年轻的生命从“死神”手里拉了回来。
下午17:21,37岁的王先生突然出现大汗和晕厥等症状,被家人紧急送往北京沙河医院就诊。18:13到达沙河医院时,患者血压仅为70/44mmHg,心电图显示为严重的下壁、右室心梗,并合并前壁心肌缺血,被诊断为心源性休克。患者命悬一线,沙河医院急诊科医生刘喆立即与北京积水潭医院取得联系。我院心内科陈游洲医生作为当日值班的心内介入医师,马上响应呼叫,开通心梗绿色通道,同时与沙河医院的急诊科医生共同讨论救治方案。心内科主任刘巍得知患者情况后,分秒必争,全程指导抢救。
18:45,王先生被120转运到回龙观院区急诊科。此时,王先生情况继续恶化,已经出现意识模糊,心电图显示心梗范围不断扩大,使用大量升压药物后,血压仅能维持到80/40mmHg。

情况危急之下,急诊科主任田兆兴与陈游洲医生当机立断,决定为患者快速溶栓,争取宝贵的时间。心脏溶栓治疗半小时后,患者突发室颤,医生们立即展开气管插管、心脏按压、心肺复苏等一系列抢救措施。

心内科陈游洲医生和急诊科吴昊医生对患者突发室颤进行心肺复苏抢救治疗
经过医护人员的积极抢救,2分钟后,患者成功恢复了心跳,随后立即被转运至导管室进行介入治疗。
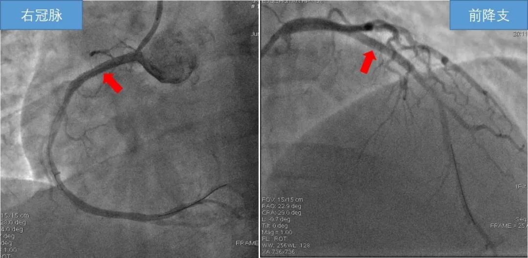
根据冠脉造影显示,患者的梗死血管右冠状动脉近端经过溶栓已经开通,但仍残余90%的狭窄,而前降支有95%的狭窄,而且病变相当不稳定。为了获取最好的预后,心内科刘巍主任团队在开通右冠状动脉后,又开通了非常重要的前降支。不到30分钟,手术成功,患者意识转清,心跳恢复稳定,血压上升,胸痛胸闷症状消失,转入监护病房进一步治疗。近日,王先生已顺利出院,“谢谢你们帮我捡回了一条命。”

造影提示前降支和右冠脉存在重度狭窄,右冠脉近段经溶栓后再通,仍存血栓影。

患者冠脉介入术后,右冠脉及前降支狭窄消失,恢复正常血管直径。
刘巍主任表示,并非每次抢救都会创造生命奇迹,关键在于患者的就诊时间。因此,当身体出现不适信号时,要第一时间到医院就诊,排查问题,才能挽救生命。
目前, 我院在回龙观院区及新龙泽院区均已开通24小时急性心肌梗死绿色通道,有一支技术成熟的冠脉介入队伍,成功挽救了数百位患者的生命,为京北地区心血管急症患者提供了坚实的医疗保障。
供稿丨心内科
编排丨于淼
校对丨于淼 张驰 陈梓凡
审核丨靳晓方