病史:女;年龄:51岁;主诉:头晕伴恶心呕吐7天
图像:




影像描述:
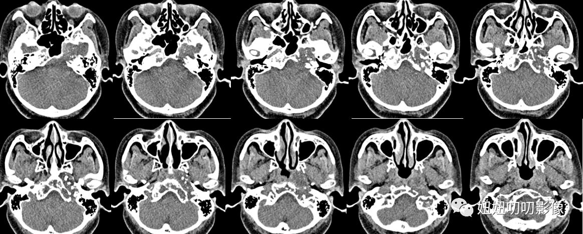
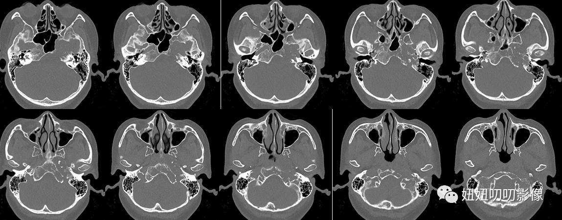
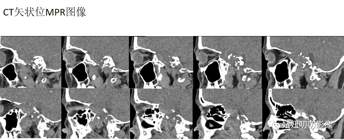
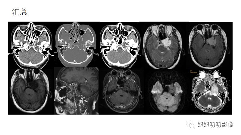
CT:鞍区及左侧岩尖区见不规则形等低密度灶,其内密度不均,可见斑点状致密影,斜坡、海绵窦、颞骨岩部骨质破坏,边界欠清,大小3.6x3.7x4.4m,增强扫描呈轻度不均匀强化,脑桥前缘、垂体、视交叉、左侧颞叶受压移位,左侧颈内动脉、大脑中动脉受压、迂曲增宽。
MRI:鞍区左侧见不规则形长T1长T2信号灶,其内见少许分隔,斜坡、海绵窦、颞骨岩部骨质破坏、吸收,边界欠清,大小3.6×3.7×4.4cm,DWI(b=1000)呈略高信号,ADC图未见明显异常低信号,增强扫描呈明显渐进性蜂窝状、颗粒状强化,脑桥前缘、垂体、垂体柄、视交叉、左侧颞叶受压移位,左侧颈内动脉、大脑中动脉受压、迂曲增宽。双侧额叶、顶叶皮层下、双侧放射冠区、双侧侧脑室旁区见多发斑点状、斑片状长T1长T2信号灶,边界尚清,T2-Flair呈高信号,DWI未见明显弥散受限。脑室形态未见明显异常。脑沟、脑裂未见明显增宽加深,中线结构未见明显移位。
影像诊断:
CT:鞍区占位性病变,软骨肉瘤可能,与脊索瘤等鉴别,请结合病理学检查。
MRI:鞍区占位性病变,考虑恶性肿瘤,软骨肉瘤或脊索瘤可能,请结合病理学检查。
学生发言:
A:你看矢状位CT,这个钙化,迂曲状,这么多钙化,还是考虑软骨源性肿瘤,年纪50多,也可以了,不知道有没有价值,总感觉T1巨低,和动脉瘤都差不多了。
B:我觉得有点像血管瘤,虽然强化不像,跨颅窝,包绕血管,T2均匀,还是挺像的,就是钙化和强化不像。
C:强化也类似脊索瘤,虽然不在中线,也累及斜坡了,就是那么多钙化不像。
老师总结:
①:病理:软骨肉瘤;
②:钙化典型,强化环形,T2巨亮,年龄中老年。