作者:张慧慧 郑州大学第一附属医院检验科
审校:岳保红 郑州大学第一附属医院检验科
作为三大常规检验之一的血象常规检验,是临床上最常用的检验项目,在检验科的地位也是最基础的,通常被检验工作人员认为是最简单的常规工作,自动化的流水线作业,自动审核的LIS系统,会给人以错觉,什么都自动化了,检验技师、检验医师还能做什么?当然还有很多事情要做啦,科技发展的历程无数次告诉我们,当新技术出现解决了一个繁重、机械、重复性劳动的时候,新的职业方向及技能要求必将同时衍生。现代血象常规包含的数字、散点图、直方图以及丰富的研究参数,如果你能够很好的分析和利用,就可以为临床提供快速的诊断依据,包括写出“诊断性血象分析报告”,尤其是血液系统相关疾病。这不,前几天审核报告的时候就遇到一个很有意思的病例,一起来看看吧,患者女,67岁,主诉:“发热、血小板减少”入急诊ICU。血常规检验如下面图1:

图 1 患者血象结果
首先普及一下WBC散点图的知识,WBC分类散点图以SS和FL为参数做图。横轴SS表示侧向散射光,代表了细胞内容物的复杂程度,嗜酸性粒细胞胞质颗粒多,SS大,在横轴的最右侧;淋巴细胞胞质内无颗粒,核型规则,SS小,在横轴最左侧(见图2正常的血常规散点图)。纵轴FL表示荧光强度,代表了细胞内核酸(细胞核DNA+胞质mRNA)的多少,对于一个个体的二倍体细胞来说,DNA量是一致的,因此不同类型细胞的核酸差异在于胞质内的mRNA含量。外周血的杆状、分叶核粒细胞为其生理阶段的终末期,若不是炎症原因处于活化状态几乎再没有蛋白质的合成,所以mRNA含量极少。外周血静息态的淋巴细胞也是类似情况,因此两者的FL纵坐标很低。淋巴细胞一旦活化,特别是病毒感染时CD8+的T淋巴细胞活化后会有大量的蛋白类活性物质合成,此时FL纵坐标会上升到很高位置,看到这样的散点图我们就知道涂片上可能会出现异型淋巴细胞(活化的淋巴细胞)。成熟单核细胞在外周血一直保持有活性因子的合成,即使健康人,其FL在纵坐标也保持高位。原始、幼稚阶段的粒细胞、淋巴细胞、单核细胞因为细胞分裂、发育和成熟的需要有物质的合成,特别是阶段越早的细胞,蛋白质合成任务越重。因此原始、幼稚血出现在外周血,FL就会增强。

图 2 患者外周血散点图和直方图与健康人对比
1.淋巴细胞;2.单核细胞;3.中性粒细胞;
4.嗜酸性粒细胞;5.嗜碱性粒细胞;6碎片及其他
回到该患者的图形,除了数值上贫血,血小板极度减少之外,大家还发现什么异常了吗?WBC散点图和PLT直方图也有异常,我们来和正常的WBC散点图及PLT直方图比较一下,如图2。正常人的PLT直方图为偏态分布的单峰曲线,患者的PLT直方图没有明显峰值形成,提示血小板数量减少,图形与数值结果一致。患者的WBC散点图中红色箭头所指的2单核细胞区域,和区域7的一团“细胞群”为该患者的散点图异常区域。2区域的细胞荧光强度明显比正常单核细胞强得多,提示核酸多(细胞核大或mRNA 极丰富或兼而有之。会是什么细胞的胞核比单核细胞还要大?原始细胞?异常淋巴细胞(肿瘤性)?仪器的报警信息也提示可能存在有这一类细胞,如下面图3。而7区域的物质SS比淋巴细胞还小,荧光强度和淋巴细胞差不多,是什么呢?是细胞吗?大血小板?但是血小板有颗粒,SS应该是比淋巴细胞大的,在淋巴细胞的右边,难道是颗粒缺失的灰色血小板?患者的血小板数量也重度减低,如果是灰色血小板,那患者的血小板就是假性减少,但也不排除患者可能患有白血病,血小板真性减少,但这一群到底是什么呢?各种猜测,最终还是要搬出我们的终极*器武**——显微镜。

图 3 患者标本仪器自动全血CD模式结果及报警信息
于是一连串的动作:推片、染色、镜检,结果让我意外,原来是这种东西,真是涨见识了。如下面图4:

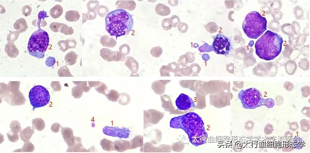
图 4 新 患者外周血涂片镜检结果
1. 浆质体;2.异常细胞;3.正常淋巴细胞;4.血小板
患者的外周血中确实存在有异常细胞,这一类细胞胞体大,类圆形或不规则形,胞质量少到中等,细胞核染色质稍疏松,形态来看不是正常外周血细胞,属于异常细胞,这一类细胞应该是位于2区域荧光强度比正常单核细胞强的细胞,那区域7的物质是什么呢?是胞质脱落或脱离的碎片——浆质体,由细胞形态和颜色推断,这些浆质体是异常细胞的胞质脱落形成的,浆质体中没有颗粒没有核,故SS最小,位于淋巴细胞的左侧,这些浆质体中含有RNA物质,瑞姬氏染色染成蓝色,荧光染色也能发光,FL的强度和正常淋巴细胞差不多。哈哈,仪器还是很智能的,这种浆质体能够单独分出来,并不会影响血小板的计数。但是这会对网织红细胞计数有影响吗?毕竟有些大小和红细胞差不多的浆质体和网织红细胞在瑞姬氏染色的情况下形态还是有些相似的。我们做了手动全血的CDR模式,如下面图5。

图 5 患者血常规标本仪器手动全血CDR模式结果及报警信息
从这个结果可以看出,浆质体的存在并没有影响网织红细胞的计数,而且仪器还给出了一个CD模式没有给出的报警信息,图5中红框所示:“白细胞碎片”。浆质体确实是白细胞碎片,不禁感叹仪器的报警信息如此准确,可惜的是我们很多情况下都把这些信息漏掉了。经过这个案例,提醒我们以后要注意看报警信息。最终备注:“镜检可见异常细胞及浆质体。”电话与临床沟通建议患者进一步进行淋巴瘤/白血病相关检测。
这位患者的外周血浆质体中未见颗粒,嗜碱性强。有文献报道[1-3]骨髓中出现这种形态的浆质体最常见于淋巴造血细胞肿瘤,且更常见于B淋巴细胞来源的肿瘤。当骨髓涂片中出现这种浆质体时,高度提示不能排除淋巴造血系统肿瘤,尤其是B淋巴细胞肿瘤。而且当出现原始细胞样异常细胞时,这种浆质体提示很大可能是淋巴瘤细胞来源。那外周血中出现这样的浆质体是不是也有同样的提示意义呢?这位患者最终诊断为什么呢?患者后续做了骨髓涂片细胞形态学检查和流式细胞术检测,如下面图6。

图 6 患者骨髓涂片细胞形态学检查结果
患者的骨髓涂片中也存在有浆质体,患者流式细胞术检测结果:异常细胞高强表达CD45、CD20,表达B淋巴细胞标志CD19、CD22、CD79a、CD38,表达CD71提示细胞增殖活跃,不表达CD10提示该B细胞为非(淋巴结)生发中心来源。不表达早期标志CD34、CD117,不表达髓系CD33、CD13、CD15、CD11b、cMPO和T细胞的CD3、CD5、CD4、CD8,不表达CD23、FMC7、CD200有助于排除CLL和MCL,不表达CD25、CD103、CD11c有助于排除HCL,胞膜、胞质不表达轻链Kappa、Lambda提示细胞为异常克隆性增殖,FSC值较大提示细胞体积大。结合成熟B细胞白血病/淋巴瘤的表型鉴别诊断流程[4],提示患者为CD5-CD10-的克隆性非生发中心来源的异常成熟的大体积B淋巴细胞肿瘤。
患者就诊经过:急诊ICU——血液内科——呼吸ICU,于住院10天后自行要求出院。出院诊断:1.B细胞淋巴瘤/白血病;2.噬血细胞综合征;3.呼吸衰竭;4.心功能不全,等。
结语:
淋巴浆质体SS小,散点图异常有特点。淋巴左侧区域找,显微镜检能证实。淋系肿瘤好线索,综合诊断最可靠。临床能把病因找,患者诊治能提早。也能促己多思考,查找文献学习好。
思考与讨论:
1.作为检验技师,遇到此血象检验标本,我需要做什么?
2.作为检验医师,遇到此检验结果和病例,我需要做什么?
参考文献:
[1]. Swachi Jain, Smeeta Gajendra, and Ritesh Sachdev. Lymphoglandular bodies in bone marrow aspirate smears[J].Blood Res. 2017 Mar;52(1):7. doi: 10.5045/br.2017.52.1.7.
[2]. Rauh MJ, Good DJ.Bodies of evidence? Lymphoglandular bodies in aspirate smears of bone marrow involved by aggressive large B-cell lymphoma[J]. Blood. 2014 Jun 12;123(24):3695. doi: 10.1182/blood-2014-03-562579.
[3]. Bavle RM. Lymphoglandular bodies[J]. J Oral Maxillofac Pathol. 2014 Sep-Dec;18(3):334-5. doi: 10.4103/0973-029X.151308.
[4]. 中国抗癌协会血液肿瘤专业委员会。流式细胞学在非霍奇金淋巴瘤诊断中的应用专家共识[J]。中华病理学杂志,2017:46(4):217-222。
注:以上血象检验直方图、散点图来自Mindary 6800plus仪器。
*免责声明:文章内容仅代表作者个人观点,与平台无关
