
肝癌晚期常出现门静脉癌栓,严重者广泛累及门静脉系统,导致门静脉高压,从而出现食管胃静脉曲张破裂出血、顽固性腹水、胃肠道淤血等严重并发症。

尤其门静脉主干癌栓形成者,禁忌应用经典的肝动脉栓塞等介入微创治疗,使得患者失去进一步治疗机会。

门静脉癌栓累及范围示意图
门脉分支癌栓者可通过放射性粒子植入有效控制。针对累及门脉主干癌栓者,可采用门静脉支架植入+放射性粒子条植入,不仅开通门静脉有效降低压力,而且通过放射性粒子照射治疗癌栓,达到标本兼治的疗效。

病例1
老年男性,诊断为原发性肝癌并门静脉癌栓形成,前期行肝动脉栓塞+放射性粒子植入治疗控制肝内病灶及门静脉分支癌栓。

术前MRI显示门静脉系统广泛癌栓形成,食管胃静脉曲张明显
近期出现食管胃静脉曲张破裂出血,予以行TIPS分流减低门静脉压力,联合放射性条植入至门静脉内行癌栓近距离照射治疗,到达标本兼治。

穿刺门静脉造影显示粗大胃冠状静脉

栓堵粗大的胃冠状静脉

TIPS术+放射性粒子条植入治疗
术后患者腹水减退,腹胀症状明显缓解,显著减低再次消化道出血风险。也为患者后续治疗争取空间。
病例2
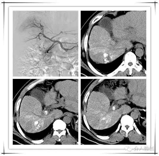
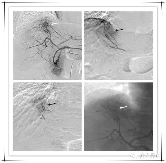
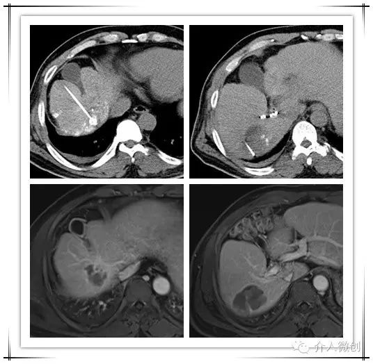
中年男性,诊断为原发性肝癌并门脉右支癌栓,术前甲胎蛋白升高(AFP:484ug/ml)。先予以行肝动脉化疗栓塞术(TACE),术后复查CT提示肝内病灶部分碘油沉积,门脉右支癌栓亦可见碘油沉积。

肝动脉化疗栓塞术

术前术后影像对比
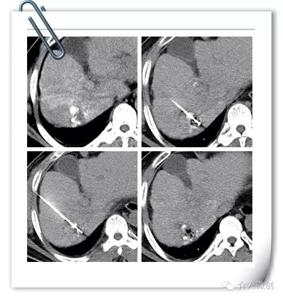
针对病灶碘油沉积欠缺情况,予以行CT引导下射频消融,治疗后病灶中心出现气化。

射频消融治疗
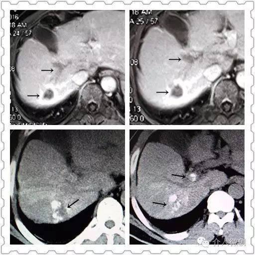
射频消融后1个月复查MRI提示病灶完全消融,边缘可见胆汁瘤,患者无发热、黄疸等不适。但近膈顶部可见2个小结节新发病灶,甲胎蛋白(AFP:244ug/ml)亦未明显下降。

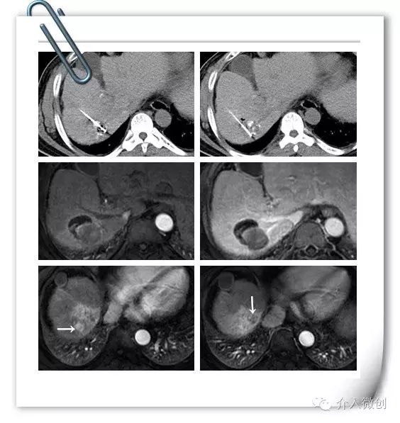
针对新情况,为该患者制定治疗计划:肝动脉化疗栓塞术+射频消融术控制肝内新发瘤灶,并联合碘125放射性粒子植入控制门脉右支癌栓。

DSA造影显示右肝膈顶可见新发病灶肿瘤染色
CT引导下肝癌射频消融术+门脉癌栓放射性粒子植入术,术后2周复查肝脏MRI提示肝内病灶得到有效控制,甲胎蛋白(AFP:14 ug/ml)亦明显下降,术后1个月甲胎蛋白降至正常范围(AFP:3.9 ug/ml)。

射频消融+放射性粒子植入

介入微创帮您守护肝脏