(声明:本文仅用于科普用途,为了保护患者隐私,以下内容里的相关信息已进行处理)
【基本信息】男,31岁
【疾病类型】47慢性牙髓炎
【治疗医院】聊城市人民医院(三甲)
【治疗方案】47根管治疗+冠修复、49择期拔除
【治疗周期】牙体牙髓科门诊治疗
【治疗效果】患者牙齿疼痛明显缓解
一、初识患者
患者男,31岁,诉1月前右下后牙出现自发疼痛,无冷热痛、夜间痛、咬合痛、牙龈肿痛及溢脓,当时疼痛不严重,就未予以重视,没有进行治疗,但牙痛随着时间延长逐渐加重,且自觉牙龈出现肿胀,进食、说话等日常生活都受到了影响,今日为进一步治疗来我科门诊就诊。
我详细询问了患者的既往史,了解到患者既往也出现过牙痛史,但并未重视,通常2-3天就会自行缓解,无高血压、糖尿病等特殊疾病史。了解完患者的病情及既往健康状况后,我对患者进行了口腔检查,发现患者47远中邻面深大龋坏,质软,无探痛及叩痛,牙齿无松动,牙龈缘轻度红肿,根尖区无红肿,冷测敏感。48前倾阻生。结合病史及查体情况,我考虑患者为47慢性牙髓炎。
二、患者的治疗经过
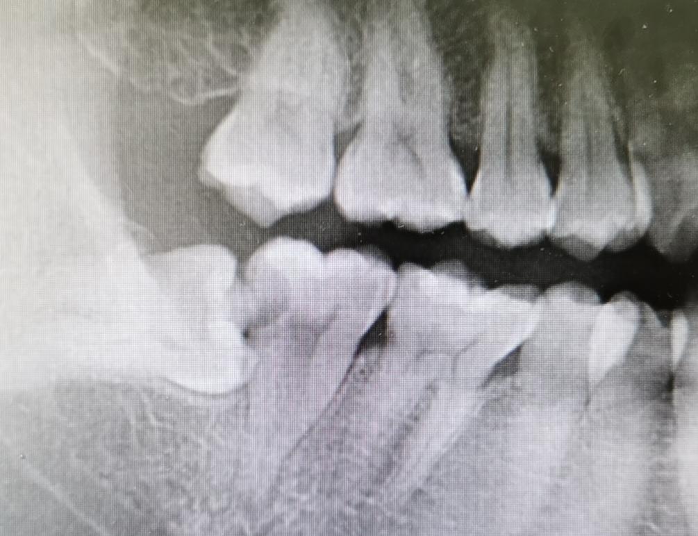
初步考虑患者为47慢性牙髓炎后,我为明确诊断,建议患者进行了x线片检查,检查结果提示:冠部低密度影近髓腔,根管内无填充物影,根尖区无低密度影。

基于上述检查结果,我考虑患者存在牙髓病变,结合患者的症状以及查体表现,诊断为“47慢性牙髓炎”,明确了患者的诊断后,我决定对患者进行47根管治疗+冠修复,并嘱患者择期进行48拔除。具体操作如下:47甲哌卡因神经阻滞麻醉,去腐未净露髓,3%Naclo冲洗,放置Antipulp失活剂,Ceivitron暂封。操作完毕后我嘱咐患者注意口腔清洁卫生,勤刷牙、漱口,避免食用过酸及辛辣食物,以免刺激患牙,可多喝温开水,并且不要用根管治疗的牙咬食太硬的食物,导致牙齿劈裂。
患者48前倾阻生,而阻生牙和覆盖在它上面的牙龈之间很容易藏污纳垢,滋生细菌,引起口臭、龋坏,当身体抵抗力下降时,常常会发生炎症、疼痛,严重时会导致脸颊肿胀、张口困难,甚至全身发热、颌下淋巴结肿大,且阻生牙还会引起邻牙龋坏,松动,牙槽骨吸收等症状。因此我建议患者择期进行48拔除。
三、患者治疗和日常生活中的注意事项

1.治疗后的牙齿对硬物或者是冷热没有任何反应,所以应在饮食上应加以注意,避免食用过硬的食物;
2.注意口腔卫生,坚持早晚或进食后刷牙,饭后漱口,及时清除留在口腔的食物残渣和细菌,选用含氟牙膏对预防龋病有一定作用;
3.对于位置不正的智齿和食物嵌塞的牙齿要及时治疗,不合适的义齿和牙套及时处理;
4.按医嘱复查,并定期进行口腔检查。
四、患者的治疗效果
经过治疗后,患者定期来我门诊进行了复诊,诉未再出现牙齿疼痛,无其他不适,我再次对患者进行了口腔检查:47暂封物在,无叩痛。于是再次对患者进行治疗:去除上次治疗时髓腔内封药,3%Naclo冲洗,然后预备根管,超声荡洗,使用iRoot sp+热牙胶垂直加压填充,拍x线提示恰填,上邻面修复系统,3M Single Bond Universal+流动树脂+3M Filtek P60树脂填充,调和抛光,择日再行冠修复。
最后我再次对患者进行健康宣教,嘱患者定期检查牙齿,避免食用过酸及过硬的食物。

五、医生感悟
牙髓炎是口腔中多发和常见的疾病。当龋齿未及时治疗时,都可能发展为牙髓炎。牙髓炎可发生于各年龄阶段,无性别差异。引起牙髓炎最主要的病因就是感染,当牙体硬组织因各种原因遭受破坏时,细菌就可侵入并感染牙髓,其中龋病是引起牙体硬组织丧失的最常见病因,其他原因包括牙齿发育异常造成的牙体缺损,意外事故造成的牙冠折断、牙髓暴露等,且重度牙周病时,牙周袋深达根尖部,细菌还可由根尖孔或者牙根部的一些细小分支进入到髓腔,引起牙髓炎症。
阻生牙也可以引起牙髓炎(本例患者的病因可能就是如此),因为这类牙齿牙冠周围的牙龈常常会发炎,引起疼痛,严重时可以导致脸颊肿胀,张口困难,甚至全身发热,颌下淋巴结肿大。阻生牙常常还会引起邻牙龋坏,松动,牙槽骨吸收等症状。因此发现自己有阻生牙时应及时就医,由医生判断是否需要拔除或进行其他治疗。
慢性牙髓炎的临床症状并不典型,一般不发生剧烈的自发性疼痛,但有时可出现阵发性隐痛或每日定时出现钝痛,部分患者的患牙还伴有咬合不适或轻度叩痛。当慢性牙髓炎急性发作时可表现为急性牙髓炎症状(牙未受到任何刺激的情况下突然发生剧烈的尖锐性疼痛、疼痛夜间加重、温度刺激下疼痛加剧、疼痛不能自行定位等)。
发现口腔内有龋齿、阻生牙(智齿)、牙齿有洞或出现温度刺激痛或牙痛时,应尽早就诊,避免牙髓坏死,增加治疗难度。
姓名:白广亮
单位:山东聊城市人民医院
科室:牙体牙髓科
职称:主治医师