“
近日,我院神经外科在手术麻醉科、放射科、病理科等兄弟科室的密切配合下,成功开展一例脑干占位性病变立体定向活检术,完成了对复杂疑难颅内占位病变的定性诊断,为后续精准治疗提供了可靠依据。
小蕊入院前10余天无明显诱因出现复视症状,视物重影,左眼向内斜视,说话时吐字不清。妈妈说:“孩子除了以上症状外,偶尔喝水的时候会呛咳、恶心,但是没有呕吐,近来走路也有一点不稳了,我们在当地医院做了CT检查,考虑占位性病变。医生说孩子情况比较复杂,当时我们心里也很着急。经过多方打听,得知首都医科大学三博脑科医院的刘长青主任、孙玉明主任现在长驻在重庆三博江陵医院,我们这才带着孩子前来求医。”

刚入院时的小蕊(化名)
9岁2个月大
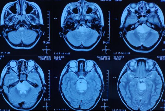
到院后,刘长青主任接诊,仔细询问了孩子的病史,并安排检查,根据检查结果:头颅CT提示脑干低密度占位。MRI提示脑干区占位,最大截面约4.4cm×3.1cm。诊断:脑干占位性病变,考虑胶质瘤可能。

为明确病变性质,实现精准治疗,三博癫痫与脑功能性疾病诊疗中心重庆分中心刘长青主任组织神经内外科开展了病历讨论,并征得家属同意后,决定行脑干占位性病变立体定向活检术。

为确保手术成功,刘长青主任提前与团队反复模拟,使团队成员完全掌握手术目的、意义、操作步骤和安全注意事项等技术要领,为顺利完成手术做好了充分准备。
手术前,需做头颅MRIT1、T2、增强T1的无间隔扫描,将数据融合后确定手术靶点。

手术当日,在全麻下为小蕊上头架,前往CT室,行头颅CT轴位的无间隔扫描,经测量、融合,确定坐标值及靶点。

返回手术室将定向框架与外科手术头架相连接

消毒

根据测得坐标值调整、 导向器(半弧形 弓架)及*位器定**。

一切准备就绪,刘长青主任采用横窦下、乙状窦后为穿刺进针点,常规切开、钻孔、电凝并打开硬膜。用活检针在同一部位不同方向取出3块病变组织。术中冰冻结果提示:高级别胶质瘤。术后病检结果提示:弥漫性H3K27M突变性中线胶质瘤(WHO Ⅳ级)。
立体定向活检术是明确颅内深部病变组织病理学诊断的安全、有效方法。既弥补了影像学诊断对病变定性的不足,又避免了开颅手术导致的神经功能损害。
专家在线
刘长青
博士、副主任医师
首都医科大学
副教授
硕士生导师

教育及工作经历
2008年毕业于华中科技大学同济医学院,获得神经外科硕士学位;2012年毕业于首都医科大学,获得神经外科博士学位,师从著名功能神经外科专家栾国明教授。2013年赴美国克利夫兰Case university hospital跟随国际著名癫痫病专家luders教授学习,2014年赴加拿大蒙特利尔Montreal Neurological Institute学习。从事功能神经外科13年,收治癫痫及功能神经疾病患者2400余例,参与完成癫痫切除手术及功能疾病的神经调控手术1500余例。
科研及教学
主持国家十二五课题、精准医学课题、首都卫生发展专项、首都临床特色应用研究等国家级、省部级课题8项,科研经费100余万;在Journal of neuro-oncology、Oncotarget、中华神经外科杂志、中国微侵袭神经外科杂志等SCI及核心期刊发表学术论文26篇;参与编写著作4部;带教进修医生50余名,带教研究生10余名;多次参加国际功能会议、亚洲及太平洋癫痫大会、亚洲癫痫外科大会及国内功能会议,并做大会发言。
擅长
癫痫、帕金森、肌张力障碍、原发性震颤、抽动秽语综合症、舞蹈病、脑性瘫痪、面肌痉挛、三叉神经痛、顽固性疼痛、痉挛性斜颈、糖尿病足、植物人促醒等功能神经疾病及功能区脑肿瘤的外科治疗。

重庆三博江陵医院
技术 品质 服务
高端技术服务普通大众
首都医科大学三博脑科医院(总院)
卫生部国家临床重点专科(神经外科)
中国抗癫痫协会临床实践与培训基地
重庆市城镇职工医保、城乡合作医保
工伤、生育、商业保险定点医院
特病鉴定医院
咨询:023-67933011
18084015766(24小时)
医保:023-89231080
急救:023-67930120
医
院
地
址
江北区大石坝街1号
官 网:www.sbnkjl.com
公众号sbjlyy
猛戳有惊喜