最近接诊了一位王女士,四十多岁,几年前无意中在骶尾部发现了一个小包块,软软的,跟个小枣一样大小,不疼不痒,在当地医院找医生看了看,说是一个小囊肿,良性病,没多大问题,王女士也就没放在心上。时间就这样不经意间一天天过去了,这个包块也一天天地慢慢大了起来,王女士在平躺的时候已经感受到了轻微的疼痛,到医院做了一个彩超,提示是一个边界清晰的囊性包块,外科医生建议她做个简单的小手术,因为熟人的关系找到我,希望我来给她做这个手术。
门诊检查的时候,发现这个包块位于骶尾部,也就是我们平常说的尾巴骨的地方,大小有10厘米,与周围分界清晰,局部没有红肿,肿块按起来软软的,有轻微的疼痛,可以忍受。自觉这个包块太大,担心与肛门有关系,我建议她住院做个磁共振检查明确一下,再说手术的事儿。

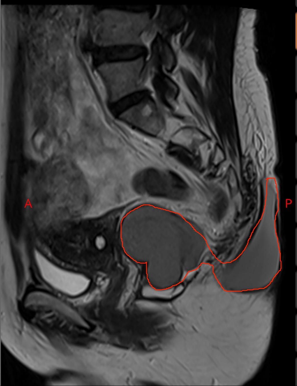
骶尾部皮下囊性占位
做完磁共振,看完片子,我心里暗暗庆幸,还好当时没有在门诊给她手术,否则就很难收场。
从磁共振上看,这个包块有两部分,像个亚油葫芦一样,肚子里面一半,外面一般,外面的那一半像是从尾骨里面挤出来的一样,与肛门周围的肌肉和直肠的关系非常密切,已经不是一个简单的门诊囊肿切除的小手术了,这个一个非常特殊的骶前发育性囊肿。

磁共振显示为葫芦样囊肿

我耐心地解释给她听,骶前囊肿多见于她这个年龄的女性,因为囊肿位置比较深,又常常没有症状,所以早期很难诊断,等到囊肿非常大的时候有些患者会出现肛门周围的坠胀或者疼痛,合并感染的会出现发热、脓肿破溃、窦道形成等表现,像她这样的类似葫芦样的表现更是比较少见,所以她也是幸运的,如果不是外面的这个囊肿,可能还不会发现肚子里面的那一部分。
骶前囊肿虽然是个良性的疾病,但还是要积极的手术治疗,这是因为骶前囊肿本身有一定的恶变几率,囊肿本身无自愈的可能,随着囊肿的增大,容易继发感染,导致囊肿与盆底的肌肉和直肠分界不清,术中容易损伤,将大大增加手术的难度。很多医生在手术过程中因为担心损伤直肠和肛门括约肌,出现肠瘘和肛门*禁失**,术中未能将囊肿壁完整切除,导致术后复发和感染,伤口长期不愈合,给患者带来很大的痛苦。因此,术中完整地切除囊肿壁至关重要,同时还要尽可能保护肛门周围的结构和直肠,避免出现损伤。
最终,我们为王女士完整切除了骶前的这个囊肿,因为准备充分,术中很好地保护了直肠和肛门周围的肌肉,术后也恢复得非常好。