初见黄婶是18年底,她和我原先手术过的一个病人关系非常好,所以这次生病以后,在当地医院检查基本确诊以后就从东北跑来找我。
黄婶年青时就有肝炎病史,并且肝炎最后发展成了肝硬化及肝萎缩,这次发病是因为腹部胀痛,去当地医院做的检查,腹部彩超、增强CT均考虑为肝癌,化验检查甲胎蛋白明显增高,所以根据肝癌的三部曲:肝炎~肝硬化~肝癌,不幸在黄婶的身上完全应验了。
黄婶的肝硬化非常厉害,已经达到了肝萎缩的地步,并且伴有严重的肝功能不全,在肝功能的分级中是最差的一种了,C级,其实这样差的肝功能做什么治疗风险都是非常大的。

肝脏

正常肝脏CT片

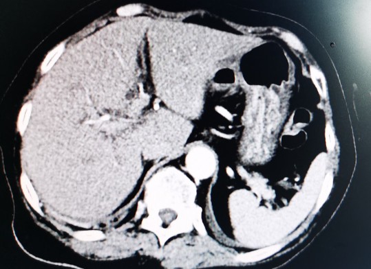
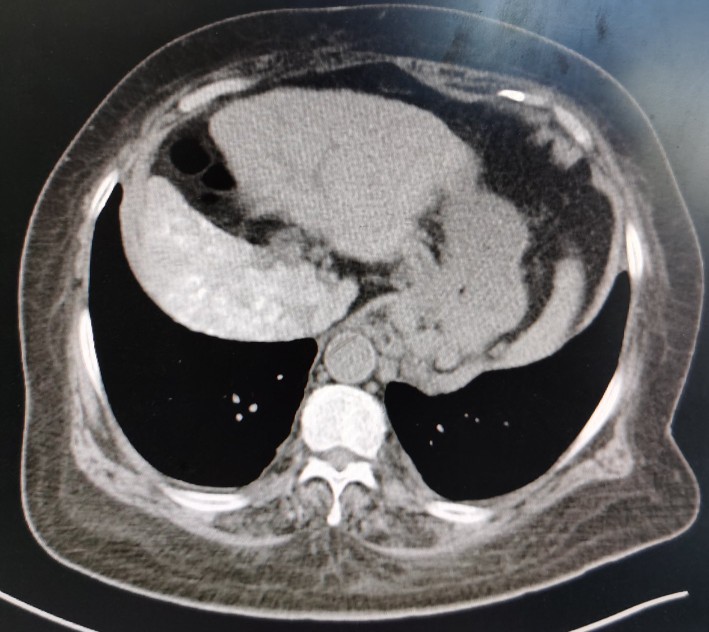
黄婶的肝脏,左右分明,左右肝均萎缩,脾大

萎缩的右肝发展成了肝癌

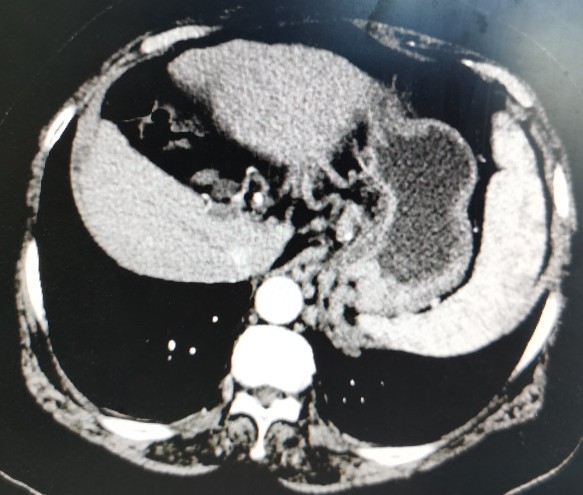
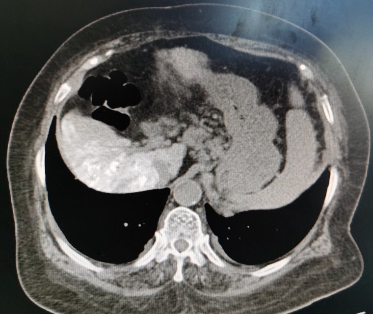
肝癌向下生长
萎缩这么严重的肝脏,是无法承受手术打击的,做肝移植吧家里又没那么多钱,由于凝血功能太差对射频消融治疗她也存在诸多顾虑,所以最后选择了肝动脉导管栓塞化疗术,我的任务就变成了保驾护航。

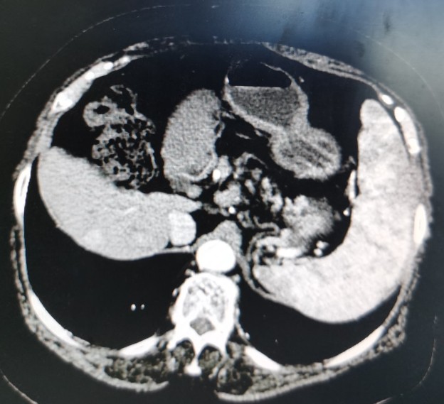
栓塞后的影像图
第一次肝动脉导管栓塞化疗术后,黄婶出现了严重的高热、腹胀和肝肾功能不全,经各种治疗后大概1周左右病情基本稳定。这次保驾护航成功以后,黄婶每次治疗都来找我,哪儿都不去,弄得我压力山大。
此后黄婶三个月做次彩超,并监测甲胎蛋白,当肿瘤开始进展增大的时候,就过来做一次介入治疗,大约半年左右做一次,每次都是生离死别的考验,但经过精心的护理和治疗都挺了过来。目前肿瘤总体控制还算可以,从发现肿瘤到现在黄婶也三年多了,平时生活基本上可以自理,精神上也特别的放松,没有那么大压力,用她老人家的话说就是:现在活一天就是赚一天,死了也值了。看来她是彻底看淡生死,大彻大悟了。

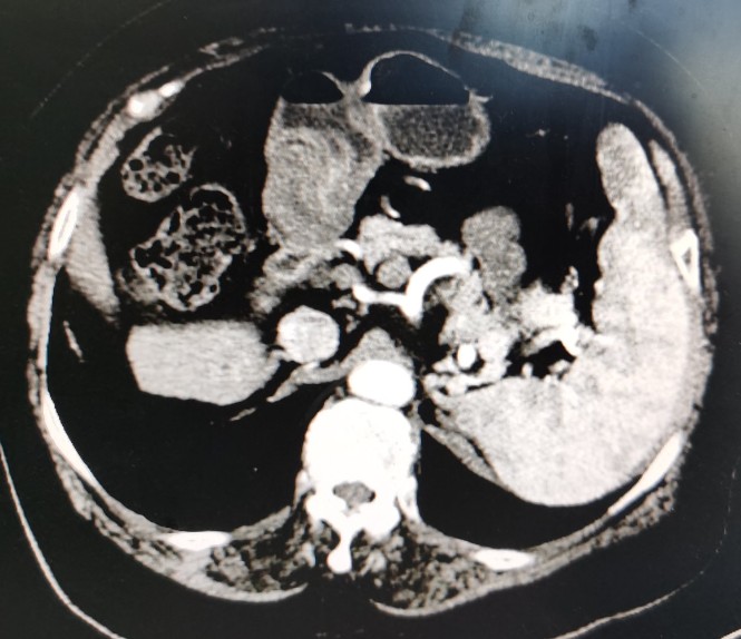
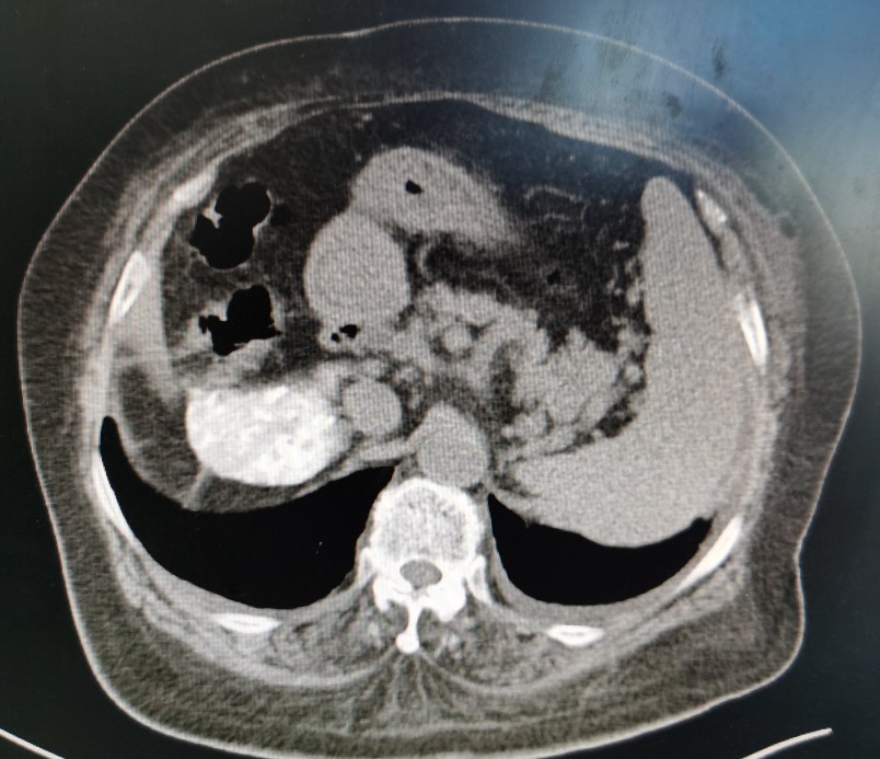
栓塞后复查的CT

栓塞后CT

肿瘤栓塞良好
肝癌的治疗方法很多,一般得根据肝癌的分期,肝硬化程度和肝功能状态,全身情况及家庭经济状况综合考虑及决定治疗方案,应该强调个体化治疗,适合自己的治疗就是好的治疗。
肝癌的治疗方法:
1.手术治疗:肝癌早中期首选手术切除;
2.血管介入栓塞:适用于早期、中期、晚期肝癌。导管直接送入肝癌病灶局部,灌注化疗药物或化疗药物与栓塞剂的混合剂,将肝癌病灶进行栓塞,减少肿瘤病灶血供,达到长时间抑制肿瘤生长的目的;
3.消融治疗:分为热消融和冷消融。热消融包括射频消融、微波消融。冷消融包括氩氦刀、冷冻消融。根据肿瘤病灶部位不同,选择不同的治疗手段,肝包膜附近或肝门附近肿瘤多选择冷冻消融,其他安全部位可以选择热消融;
4.放射治疗:临床应用目前越来越广泛;
5.靶向治疗:索拉非尼、仑伐替尼等靶向药物治疗;
6.肝脏移植治疗:肝移植可以彻底的清除肝脏微小转移病灶和具有恶变可能的硬化肝脏,是唯一可能彻底治愈肝癌的手段之一。肝癌肝移植的米兰标准:①单个肿瘤直径小于等于5cm;②肿瘤个数小于等于3个,每个肿瘤直径小于等于3cm;③没有肝内大血管浸润,无肝外远处转移。
7.中医中药治疗:贯穿于肝癌治疗的全过程,适用于早、中、晚期肝癌,可缓解肝癌引起的并发症,如腹水、黄疸、疼痛或消化不良、食欲下降等。