
9个月宝宝双侧臀纹不对称
3岁宝宝走路像鸭子一摇一摆
22岁女孩长短腿、跛行

问号脸,
这到底都是咋回事儿?

原来都是
先天性髋关节发育不良
惹的祸!


那怎样才能纠正呢?

宝宝臀纹不对称 小心髋关节脱位

很多宝妈带宝宝体检时,会发现宝宝腿纹或者臀纹不对称。医生通常会建议家长带宝宝进一步做检查。
很多家长对此会比较焦虑,担心宝宝有问题。
其实宝宝九成以上的臀纹不对称只是单纯的婴儿肥,但这并不意味着家长可以掉以轻心。
因为臀纹或大腿皮纹不对称是髋关节发育不良的主要症状之一!
9个月大的糖豆(化名)就不幸中招!

糖豆妈妈带糖豆做儿保时,被医生发现臀纹不对称,建议做进一步筛查,经过B超检查后确诊为发育性髋关节发育不良。
幸运的是发现的非常及时。

△蛙式石膏固定
“髋关节脱位越早治疗越有效,1岁内是宝宝髋关节发育最快的时候,是治疗黄金阶段,及早矫治,大部分宝宝可以完全正常发育。如果能在宝宝1岁以内发现先天性髋关节发育问题,通常采用通过手法复位、支具固定治疗,可以使宝宝的髋关节保持正确位置、正常发育。”骨科三病区主治医师李达告诉小编。

宝宝走路一摇一摆 要当心了
对比9个月大的糖豆,3岁的睿睿(化名)就没那么幸运了!

睿睿妈妈发现他走路总是一摇一摆,像小鸭子一样,小时候家人觉得可爱,也没在意。
但随着年龄增长,睿睿走路的姿势越发奇怪,而且经常走路不稳、垫脚尖。这下可给家人急坏了!

来院后,经过体格检查、走路姿势观察、X光片等,确诊了睿睿也是发育性髋关节发育不良,但是由于错过了最佳治疗时机,孩子只能做截骨手术。


术后
←术后固定
原来通过截骨矫形,把发育不正的髋臼给它矫正到正常位置上来,这样就避免了进一步异常损害。如果任其发展不干预,孩子可能会终生残疾!
“该年龄段的患儿髋关节已开始受力,脱位程度多已加重,骨与软组织的继发改变加剧,保守治疗较难,多采用手术治疗。须通过一系列骨盆和或股骨截骨手术和软组织松解手术,把股骨头安全置入髋臼内,术后联合石膏固定、功能锻炼治疗,能取得比较理想的效果。”骨科三病区副主任医师张保龙说。

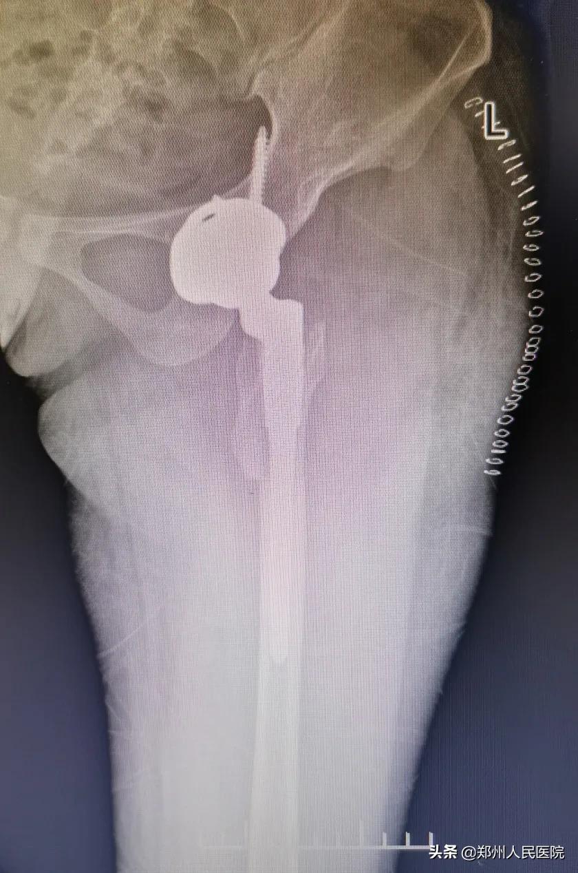
22岁女孩 全髋关节置换
如果说,先天性髋关节发育不良及早发现、及早医治,对于后续生活的影响不会太大,那么已经成人了还有方法改善吗?
22岁的文文(化名)行走跛行、长短腿、活动受限、髋部疼痛已经20年了。
因为小时候家庭条件比较差,文文一直没有医院看过、也没做过治疗。

近些年,她的左髋关节疼痛越来越明显,已经严重影响了她的日常生活。经人介绍,她来到我院骨科三病区就诊。
“从小我都走路一瘸一拐,受尽嘲笑,真是非常痛苦!”文文说。
骨科三病区主任医师尹万乐为其查体后发现,文文患肢肌肉萎缩严重、双下肢粗细不一、长短不一、患肢缩短约6cm,骨质发育异常,髋关节磨损加重。

由于文文的髋关节发育不良,且髋关节磨损加重,建议其进行髋关节置换手术。

术前

“患者的情况已经不适合截骨手术,也就是保髋治疗。需要进行髋关节置换,放进一个人工的髋臼杯,再将股骨颈、磨坏的股骨头截掉,换上人工的股骨柄和股骨头,这样就形成了一个新的人工髋关节。通过手术可以解除患者髋关节的疼痛、改善走路一瘸一拐的症状。”尹万乐主任医师告诉小编。

骨科三病区主任尤笑迎提醒: 髋关节脱位,应及时诊治。因为有少数脱位会合并髋臼骨折,早期复位容易,效果也较好。陈旧者,多数要手术复位,效果相对不好。此外,治疗不当会引起股骨头缺血性坏死,严重地影响关节功能。
专家介绍

尤笑迎
郑州人民医院
骨科三病区(骨关节外科)主任
主任医师
分别在北京大学关节中心、第二军医大学长海医院骨关节科、香港大学玛丽医院矫形及创伤学系关节置换外科及德国汉堡INDO-CLINIC(欧洲关节中心)进修学习骨关节专业。从事关节病诊疗多年,擅长全膝关节表面置换术、全髋关节置换术、复杂的膝髋关节翻修手术及各类关节镜手术。
联系电话:13607648500
坐诊时间:周三上午

尹万乐
郑州人民医院
骨科三病区(骨关节外科)主任医师
擅长各种骨关节疾病、创伤的诊治,如膝、髋骨性关节炎、类风湿关节炎、股骨头坏死、股骨颈骨折及股骨转子间骨折等;关节创伤如半月板损伤、韧带损伤、肩袖损伤等;种类型的肿瘤及关节病,周四全天坐诊。
邮箱:Yinwanle@126.com
联系电话:15803839201

张保龙
郑州人民医院
骨科三病区(骨关节外科)
副主任医师
对骨关节疾病有扎实的理论基础和临床经验,擅长各种骨关节疾病、股骨颈骨折、全膝关节表面置换术、全髋关节置换术交叉韧带和半月板损伤、颈椎病、腰椎间盘突出的诊治和关节镜手术治疗。
邮箱:Blzhang111@126.com
联系电话:13598416326
坐诊时间:周一全天

李 达
郑州人民医院
骨科三病区(骨关节外科)科室秘书
主治医师
硕士研究生,毕业于郑州大学,主攻髋膝关节疾病、颈椎病、腰间盘突出症、腰椎管狭窄症、腰椎滑脱症、胸腰椎骨折、各种骨折、各种关节镜微创等骨科疾病,尤其擅长关节和脊柱疾病的诊断和治疗,具有良好的手术操作技能,对骨科病例的围手术期处理及术快速康复有较深入研究,国家级文章15余篇。
邮箱:Lida777@126.com
联系电话:15937121911
坐诊时间:周三全天