

近日,州人民医院神经内科团队创新性应用颅内血肿微创技术为一例重症脑脓肿患者进行了微创治疗,避免了开颅手术的巨大创伤和风险,取得了良好的治疗效果。
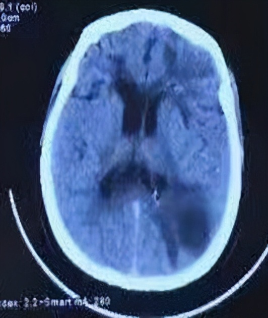
患者为一23岁青年女性,因头痛10天,加重伴发热、恶心2天入院,入院时精神萎靡,体重仅35公斤。头颅MRI检查后发现患者为重症颅内感染,继发形成2个脑脓肿,大脑深部较大者43mmx50mmx37mm,脓肿量约40ml,较小者26mmx23mmx24mm,脓肿量约7ml,严重压迫周围脑组织(图1),随时有脑脓肿破裂和脑疝发生风险,严重危及生命。同时检查发现患还有先天性完全性心内膜垫缺损,属于严重的较少见心脏病,合并3级心力衰竭、肺动脉高压、重度营养不良,病情十分危急。
神经内科迅速成立专病治疗小组,组织心内科、神经外科、麻醉科、营养科等专家进行多学科疑难病例讨论,分析病情,拟定诊疗方案。专家组讨论后一致认为患者2个脑脓肿病灶位置深、开颅手术风险极大,术后发生瘫痪的风险很高,心脏功能差,开颅手术和全麻醉不能耐受,因此,患者身体状况不能承受开颅手术。主管医生积极与家属沟通病情,家属表示拒绝到省级医院治疗,同时要求由神经内科主任医师马任飞为患者行微创手术治疗。专家组讨论后最终决定采取“微创颅内血肿穿刺碎吸术”方法进行治疗。
利用院内先进的512排CT对脑脓肿病灶进行三维立体定位,选择最佳穿刺部位,多次进行术前模拟训练,并制定风险预案。一切准备就绪后,在日间手术室局部麻醉下进行微创穿刺脓肿引流术(图3)。因为术前准备充分,手术很顺利,仅用60分钟完成,手术穿刺针进入脑内约50mm,引流出浑浊脓液25ml(图4),用生理盐水缓慢冲洗置换出微浊液体300ml。术后患者恢复良好,无肢体麻木无力等神经功能损害,头部CT复查提示手术治疗脓肿病灶脓液引流非常干净,脓肿病灶完全消失,小脓肿病灶经抗炎治疗,病灶缩小(图2)。

图1

图2

图3

图4
州人民医院神经内科微创颅内血肿穿刺术已开展20余年,是省内第一个应用该项技术治疗脑内出血的医院,2005年获得临夏州科技进步一等奖。该项技术定位准确、神经创伤小、血肿清除干净、费用低,多年来救治高血压性脑出血、慢性硬膜下出血患者数百例。本次成功应用于脑脓肿穿刺引流治疗,是该项技术适应症的新拓展,是州内首创。