近日,安庆市立医院心胸外科联合麻醉科急诊为一位大出血伴失血性休克患者成功切除了胸腔内直径约20cm、足球般大小的肿瘤,将命垂一线的患者从鬼门关拉回。

肿瘤几乎占据了左侧胸腔
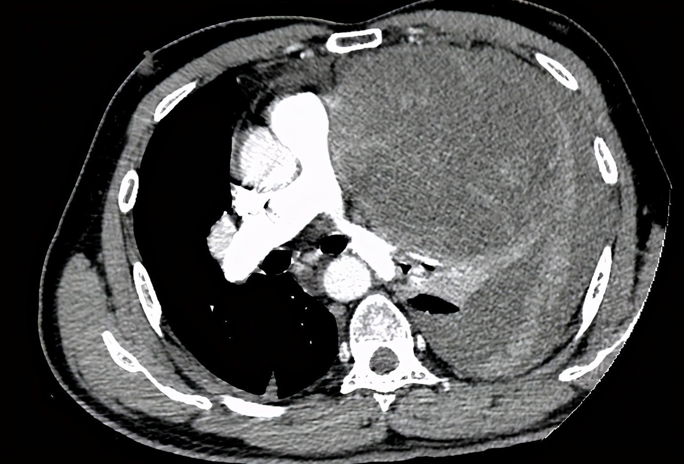
几天前,家住枞阳的方师傅因感觉左侧胸闷及呼吸困难前往当地县医院就诊,经检查发现有一直径约20cm的巨大实质占位伴少量胸腔内积液,几乎占据了左侧胸腔,将心脏都挤压到右侧。由于患者病情复杂,当地医院建议转到上级医院救治。
转到安庆市立医院时,患者呼吸困难明显加重。该院心胸外科陈剑主任医师结合入院前后两次CT以及相关检查结果,诊断患者为左侧胸腔内巨大肿瘤破裂伴左侧胸腔内大出血,合并失血性休克、心肌损伤。“如此大的肿瘤在临床上非常少见,我也是第一次遇见”陈剑表示,当时肿瘤已经破裂出血,合并失血性休克为手术带来了巨大的风险,只有急诊手术切除肿瘤才有可能抢救患者的生命。”征得家属同意,与麻醉科、输血科充分沟通后,陈剑决定为方师傅做最后一搏。
方师傅被送至手术室时,再次出现极度呼吸困难,心率达到160-170次/分,血压在升压药物的维持下仅能维持在80-90/40-60mmHg,稍微移动都有可能导致心脏呼吸骤停。在充分补液、维持内环境的基础下,麻醉科徐四七副主任医师决定在患者保留自主呼吸的情况下进行气管插管。经积极的抗休克治疗,稍稍稳定下来的方师傅才被小心翼翼送上手术台。
术中,患者胸腔内大量不凝固暗血性液体涌出,在吸出2600ml血液和400g血凝块后,一足球大小的肿瘤清晰的暴露在陈剑眼前。瘤体与左上肺叶融合为一体,侵犯了左侧心包和肺门,如同一块石头陷在凝固的水泥中一样纹丝不动。质地脆弱的肿瘤上有一约4mm破口伴活动性出血,导致缝合止血十分困难,面对包裹着大量增粗异常血管的瘤体,陈剑在有限的手术视野下,避开心脏大血管及肺门血管等重要结构,一边小心翼翼分离瘤体,一边用大量干纱布填塞压迫出血点,逐步分离至肿瘤根部,最终将重达5斤的肿瘤完整切除。

术后,方师傅被转入重症监护病房进行监护治疗,一天后便转入到普通病房。目前,方师傅生命体征稳定,呼吸困难消失,如释重负的他即将康复出院。