近日,西安市红会医院神经外科别小华主任医师团队顺利完成了一例颅内动脉重度狭窄的血管介入手术。术后患者恢复良好,现已顺利出院。
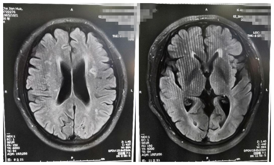
患者男性,今年56岁,平素有高血压病、糖尿病、高脂血症病史。入院前两天活动时突感头晕不适,伴右侧肢体无力,不能站立行走。休息后肢体无力症状好转,仍有头晕不适。于是到医院神经外科门诊就诊,别小华主任认真检查过患者后考虑短暂性脑缺血发作可能。行颅脑MRI提示“左侧基底节区陈旧性脑梗死,左侧顶枕叶急性腔隙性脑梗死”。

核磁共振检查
进行MRA检查后,提示左侧大脑中动脉接近闭塞。大脑中动脉是脑内很重要的血管,一旦发生血管闭塞,会出现肢体瘫痪、失语等表现,严重时会导致昏迷,抢救不及时甚至会危及生命。患者及家属对此很是担心,因为作为家里的顶梁柱一旦瘫痪倒下,整个家庭将陷入巨大的危机。别小华主任向他们讲述了病情及治疗方案,告知可以通过血管介入手术治疗。患者家属怀着忐忑的心情办理了入院手续

入院后完善相关检查,给予抗血小板聚集、调脂、控制血压血糖等治疗,患者病情逐渐稳定。住院期间查颅脑核磁灌注扫描提示“左侧大脑中动脉供血区域低灌注”。

核磁灌注成像提示左侧脑组织血液灌注较右侧明显减少
术前检查完成后,神经外科介入团队于6月14日在局麻下给患者行全脑血管造影检查提示“颅内多发动脉粥样硬化伴狭窄,左侧大脑中动脉M1段重度狭窄”。左侧大脑中动脉仅余一线,狭窄率接近99%。考虑患者反复出现脑梗死与左侧大脑中动脉狭窄有关。且其它血管对左侧大脑中动脉供血区域基本无代偿,一旦发生大脑中动脉闭塞将发生严重后果,有明确的手术指征。与患者及家属沟通病情后决定行颅内动脉狭窄血管内介入治疗。后改为气管插管全身麻醉,术中严格控制血压。因患者血管迂曲,神经外科介入团队使用多种技术手段最终成功到达狭窄部位。行左侧大脑中动脉狭窄球囊成形术后,观察30分钟后仍有残余狭窄,给于置入颅内动脉支架一枚。复查血管造影提示狭窄血管完美修复。

术前造影提示左侧大脑中动脉重度狭窄,术后血管完美修复
麻醉复苏后患者意识清楚,语言流利,四肢活动自如。术后安全返回病房。术后第1天即可下地活动,未诉不适症状。复查颅脑CT未见出血及新发梗死,术后第2日告知注意事项及复查时间后安排患者出院。患者及家属入院时的忐忑不安烟消云散,非常感谢神经外科血管介入团队对他的精心治疗,表扬了医生们的精湛技术和认真负责的精神。
颅内外动脉狭窄是缺血性卒中的重要病因,在亚洲人群中高发。目前对于颅内外动脉狭窄的药物治疗未能达到理想的疗效。随着技术的进步,血管成形和支架置入术因其安全、可靠、损伤小、疗效肯定的优点,成为治疗颅内外动脉狭窄的有效手段。
近年来西安市红会医院神经外科以本院脑卒中中心建设为契机,在别小华主任的带领下,神经外科血管内治疗团队顺利独立开展了颅内动脉瘤栓塞、脑血管畸形栓塞、颅内外动脉狭窄支架成形术、急性脑血管闭塞取栓术等血管内介入治疗,填补了我院的多项技术空白。

神经外科介入团队在手术中

颅内动脉瘤单纯弹簧圈栓塞治疗

颅内动脉瘤支架辅助栓塞治疗

脑动静脉瘘栓塞治疗