一、腺样体
- 腺样体是一团淋巴组织,出生后即存在,随年龄而增生,6岁左右最大,以后逐渐退化,一般10岁以后开始萎缩。
- 表面有4~5条成前后方向的纵行深沟,细菌易存留。
- 它与两侧的咽鼓管扁桃体、腭扁桃体以及前下方的舌扁桃体所组成咽淋巴环(Waldeyer环)。
- 虽是淋巴组织,但无淋巴穿流,其表面覆盖的淋巴样粘膜上皮具有免疫屏障作用,它能产生T淋巴细胞和B淋巴细胞,是呼吸道第一道防御门户。
二、 腺样体肥大
腺样体因炎症的反复刺激而发生病理性增生,引起相应症状者,称腺样体肥大,多见于儿童(3-5岁),常与慢性扁桃体炎合并存在。
常见症状
鼻塞,打呼,张口呼吸。
阻塞耳咽管开口,并发中耳炎,中耳积液。
阻塞呼吸道,造成睡眠呼吸暂停。
检查
1、腺样体肥大是儿童时期常见的上呼吸道疾病之一,目前临床上对于腺样体肥大常用的检查方式是经口腔间接鼻咽镜检查和鼻内镜检查。但由于小儿咽腔狭小,咽部刺激重等原因,患儿难于配合,检查相对困难。
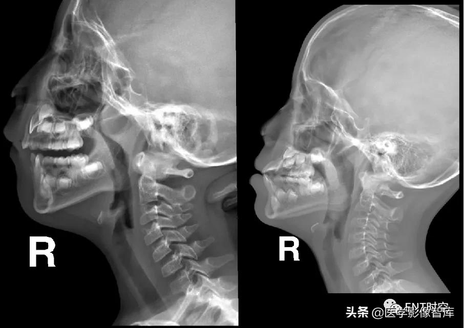
2、故鼻咽部侧位X片可作为首选方法。
三、 鼻咽部侧位摄片优势:
1、能够很好的显示鼻咽腔宽窄情况
2、通过测量
腺样体(Adenoid,A)厚度
鼻咽腔(Nasopharyngeal,N)宽度
后气道间隙(Pharyngeal Airway Space ,PAS)
3、用腺样体-鼻咽腔比率A/N值及PAS宽度评估腺样体大小与鼻咽腔阻塞情况,为临床诊断和治疗腺样体肥大提供可靠的依据。
四、 鼻咽部侧位X片的摄片方法
患儿端坐或站立侧位,下颌略抬高,以减少下颌支与鼻咽腔重叠,眶耳线平行于地面,头颅矢状面与摄片架平行,中心线通过外耳孔前下方约2cm处,嘱患儿闭口用鼻吸气并摄片,防止软腭抬高造成鼻咽腔变窄的假象。



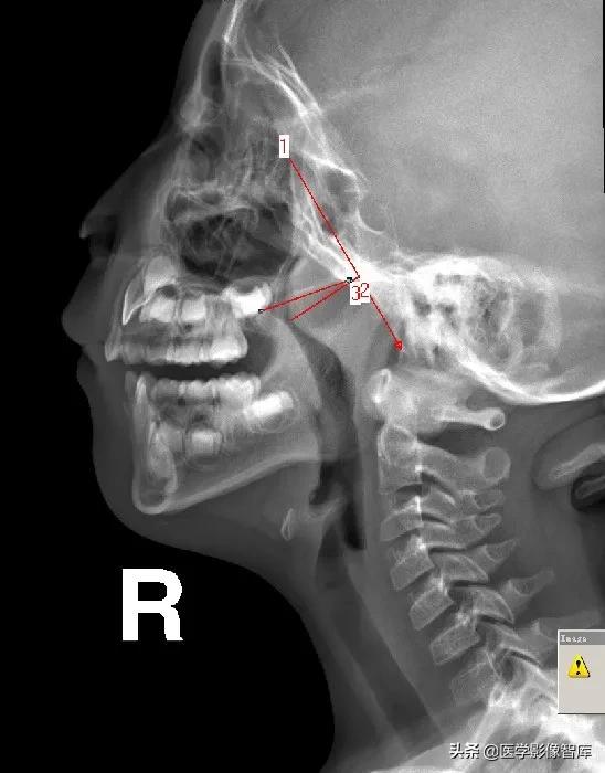
鼻咽侧位片的测量方法(一)
腺样体-鼻咽腔比率A/N值:
腺样体厚度(A)的测量:
腺样体最突点至枕骨斜坡颅外面的垂直距离
>13mm,就会出现鼻咽腔气道变窄,甚至闭塞。



*2长:2.31cm
(1)1987年Elwany提出鼻咽腔的宽度(N)测量方法:
硬腭后端--翼板与颅底交点间距



*1:长:2.61cm

2:长:2.29cm
*3:长:2.72cm
(2)鼻咽腔的宽度(N)测量方法:
N为腺样体最凸部鼻咽腔的宽度,即垂线的反向延长线与硬腭后端或软腭前中部上缘的交点和枕骨斜坡颅外面切线的垂直距离。


1:长:1.82cm
*2:长:2.71cm

1:长:1.82cm
*2:长:2.57cm
A/N参考值:
- 儿童在2~12岁腺样体有生理性肥大,故腺样体在儿童生长的不同年龄的生理变化,提出
- A/N比值:
- 0.5-0.6 正常
- 0.61-0.70 中度肥大
- >0.70 病理性肥大
- >0.80 显著肥大
鼻咽侧位片的测量方法(二)
鼻咽后气道宽度(PAS)
软腭表面与腺样体表面最凸点之间有效气道宽度
作为PAS宽度 (图中a’),是鼻咽最小气道宽度

PAS宽度参考值:
- >10mm 属正常范围
- 6~10mm 腺样体生理性或中度肥大
- ≤5mm 腺样体重度肥大
- PAS≤3mm 患儿多有张口呼吸
- 有文献报道认为当A/N值≥0.71,PAS≤3mm可作为手术指征。
鼻咽侧位片的测量方法(三)
腺样体长度的测量
- 使用平行曲线法,沿C3椎体前软组织前缘向上划与颈椎相平行的直线,上行至软腭后下缘,水平转折向前向上划与软腭后上缘平行的弧线至硬腭后部,此线与突入鼻咽腔的腺样体后、前缘相交为b、a两点,ab间距为腺样体长径。
- 临床上应用较少。

鼻咽侧位片的测量方法(四)
Cohen and Konak法
测量硬腭下1cm处软腭厚度和软腭与腺样体间气
道宽度之比
研究发现比较4种X线平片测量方法中,此方法
与临床内镜观察一致性最强,但应用不多。

五、 总结
腺样体厚度(A)的测量尽管能了解腺样体肥大的程度,但不能正确反应气道阻塞程度,PAS测量气道阻塞的程度,但不能反应腺样体肥大的程度,并且易受人为因素的影响。
A/N比值的测量方法是目前临床上最常用的一种方法,能良好的反应腺样体大小,及腺样体占鼻咽腔气道的程度。
来源:ENT时空