周末门诊来了很多6-7岁的小朋友,他们的共同现象是门牙的后排又长出了新牙,父母们都比较担心,因为她们那个年代是没有这种现象的,这种牙齿我们医学上称之“双排牙”,莫非“双排牙”要重现江湖?

双排牙
那么什么是“双排牙”呢?
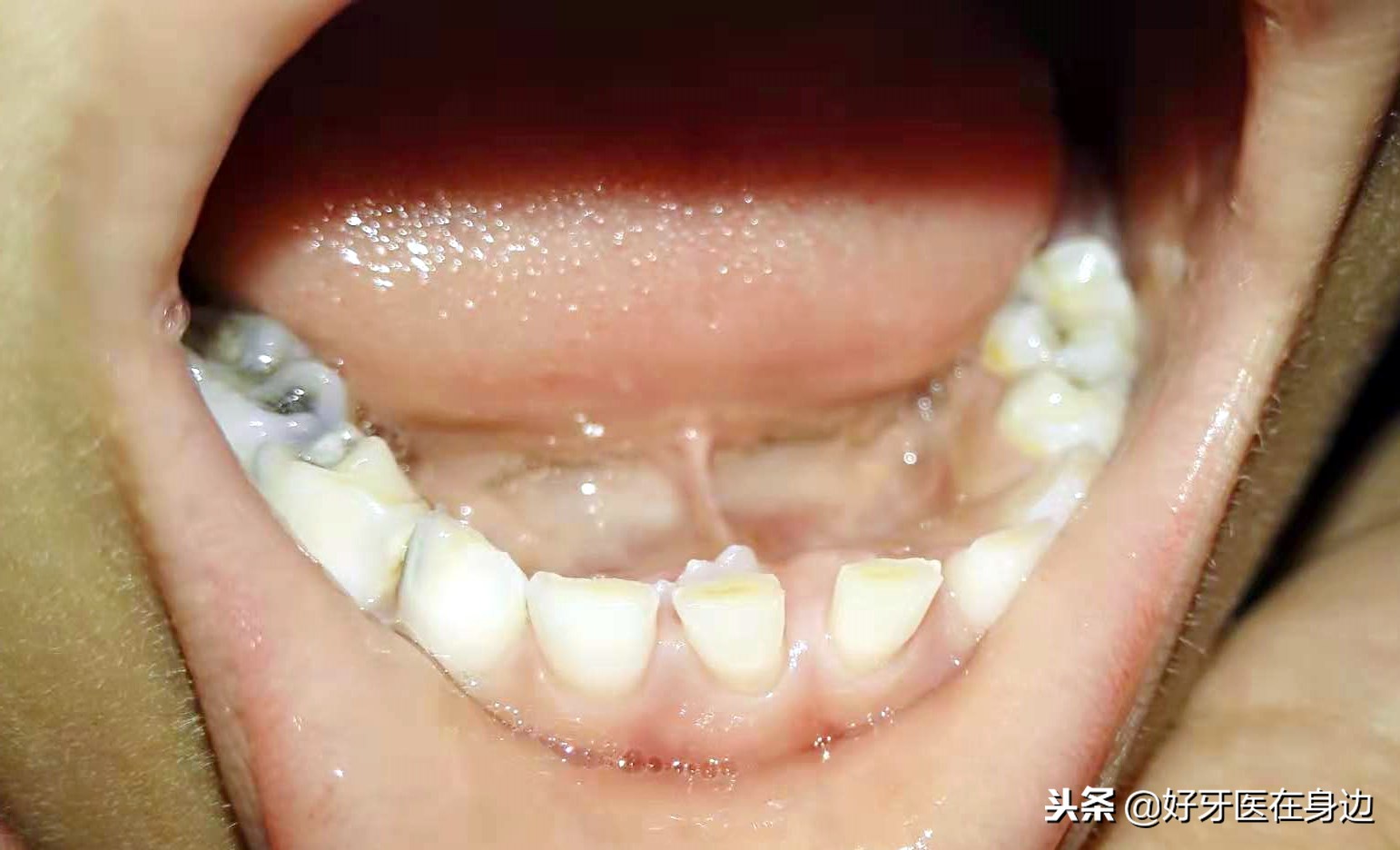
“双排牙”是指在牙列上同时长有两排牙齿,常见于儿童换牙期间,由于乳牙未脱落,而新牙已经萌出,在牙列上呈现两排牙齿!

双排牙
为什么“双排牙”会重现江湖呢?
随着物资文化水平的提高,崽女都是家里的1个宝,饮食上都以面包、牛奶、糖果等精细食物为主,粗粮粗饭基本看不见,因此换牙期间,牙齿和骨头得不到足够的力量刺激,乳牙牙根不吸收,颌骨不发育增宽,新牙等不到乳牙掉落就提前长出来啦!
“双排牙”有什么危害?
“双排牙”出现后卫生很难清洁,容易嵌塞食物,导致龋齿的发生,另外一个最重要的影响就是牙齿不齐,牙齿错颌畸形以及面部畸形!

牙齿不齐
如何预防“双排牙”的发生?
1.宝宝5-14岁期间要多吃粗粮,多咬硬东西如红薯皮、干果、豆类等食物,以促进乳牙的吸收和颌骨的发育!

红薯干
2.换牙期间一定要带宝宝去做一下的牙齿的体检,拍片子了解牙齿的发育情况,并及时进行干预处理!

全景片可以看到牙胚的情况
