
今年67岁的梁大爷
在8月初带孙子游玩的途中
忽然感到胸口疼痛、气短乏力
一瞬间 头晕眼 花

刚开始,梁大爷并未在意
以为是游玩劳累所致
后来又发生了两次这种状况
甚至还出现了晕倒的情况

梁大爷在家人强烈要求下来到了南京市第一医院心内科,我院周陵主任医师接诊后,询问了老人的基本情况,初始诊断为房颤,然后让家属带着老人去做动态心电图检查。

上图为左心耳封堵术示意
检查完一看果然是房颤,周主任根据梁大爷的病情,决定实施左心耳封堵术。

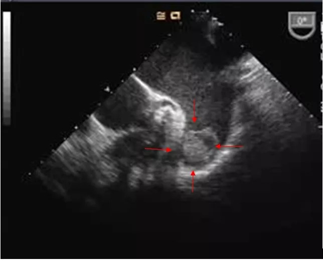
上图中红色箭头所指为左心耳血栓
左心耳封堵术是指医生将封堵器放置于血栓起源点左心耳,封堵左心耳开口,避免心耳内形成血栓,从而大大降低中风的发生概率。左心耳封堵术是微创介入手术,无需开刀,穿刺患者大腿,建立手术通路输送封堵器到左心耳。

上图为左心耳封堵器植入术后(左:造影图像,右:经食道超声图像)
手术一个小时顺利完成,患者术后恢复良好,此次手术是周陵主任医师团队完成的第50例左心耳封堵手术。 目前该手术量在南京地区排名第一。

我院周陵主任医师凭借着丰富的经验和过人的手术技巧,被“美国波士顿科学”公司授予 江苏省首位左心耳封堵手术的全球带教专家!
房颤除可引起各种不适症状外
最大的危害是引发卒中
也就是老百姓通常说的“中风”

在我国有1000万例的房颤患者
卒中患者1300万例
其中缺血性卒中约900万例
房颤引起卒中的比例高
且症状重,致残、致死率高

容易复发,严重威胁患者生命及生活质量
预防脑卒中是房颤治疗最重要的目标之一

目前,口服抗凝药物是临床上预防房颤血栓栓塞最主要的治疗方法。研究发现90%以上的非瓣膜性房颤患者的血栓来源为左心耳。近年来,多项临床研究显示经皮左心耳封堵术可显著减少心房颤动血栓栓塞的发生率。

左心耳封堵术过程中不会有特殊不适,操作将在60分钟之内完成。术后恢复仅需24小时。手术成功后,房颤患者就不需要终身服用抗凝药物,避免了抗凝药物长期使用的出血风险和肝肾功能损害,同时有效预防中风!
专家提醒:
周陵主任医师提醒大家:
房颤造成高卒中风险,但中国抗凝药物的使用率远低于西方国家,左心耳封堵作为一种有效的治疗方法,除了有效降低卒中风险,还能降低出血事件的发生。近年来,左心耳封堵术在全球范围内广泛开展,临床疗效获得越来越多的肯定。左心耳封堵手术是预防非瓣膜性房颤病人脑卒中的利器。

南京市第一医院拥有全省最有经验的房颤治疗团队,左心耳封堵术解决了绝大多数房颤病人卒中的干预问题。得了房颤莫慌张,来南京市第一医院找周陵主任医师,个性化定制治疗方案,有效预防中风。
专家门诊时间:

周陵
医学博士、主任医师
专家门诊时间:
周二上午
擅长:先天性心脏病的介入诊断与治疗,左心耳封堵预防心房颤动导致的中风。

谢渡江
副主任医师
专家门诊时间:
周三下午
擅长:先天性心脏病的介入治疗。冠心病、高血压病、心肌病、瓣膜性心脏病、心律失常及心功能不全的诊疗。