小福(化名)昨天下午打了一场篮球比赛,整个比赛酣畅淋漓,三分、三步上篮、盖帽、秒传样样不少,至今回味起来还是意犹未尽。不曾想,小福早上起来喉咙有点不舒服,也许昨天打篮球太疯狂了,疲劳加受凉诱发喉咙发炎了。

这么点小问题,以往小福肯定不当一回事,多喝点水睡一觉说不定就好了。想着过几天,要期末考试了,放心一点,还是去医院看看。
疫情期间,比起以前熙熙攘攘、人山人海的场景,现在医院可是冷清多了。挂好号,很快就轮到小福了。
医生听了听心肺,看了看咽喉,对着小福说道:“心肺听着没什么问题,喉咙也还好啊,这样吧,化验个血看看。”
小福心想查查放心点,点头说道:“好的。”
不久,结果出来了。血常规+超敏CRP:超敏C反应蛋白:3.2mg/L;白细胞计数:7.2×109/L正常;中性粒细胞分类:69.3%;淋巴细胞分类:21.4%;血红蛋白量:153g/L;血小板计数:182×109/L。
医生拿着单子说:“没啥大问题,急性咽喉炎了,先吃点药看看吧。”
服药后,喉咙不适反而更加严重, 真的是“急性咽炎”吗?
小福拿着一瓶清咽滴丸安安心心地回家了。不曾想,可这药没什么效果,到了晚上小福感到呼吸不畅,难受地连饭都不想吃了。
家人一看这情况,赶紧陪着小福再次来到医院,急诊医生再次仔细检查了咽喉,看了单子,问道:“最近有没有吃鱼?”
小福是纯粹的“肉食动物”,很少吃鱼,连忙否认。
急诊医生看着小福暗自嘀咕到:“喉咙看着也不红,心肺听着也好的,血象看着也正常的,会是什么问题呢?”

“对了,你刚才说打篮球后受凉了出现喉咙难受的是吗?”
小福点点头。
“有没有胸闷、胸痛、胸口不舒服?”
小福用心感受了一会,模棱两可地说:“好像有那么点不舒服。”
患儿伴有胸闷、胸痛,会是什么引起?
除了喉部不适外,小福还伴有胸闷、胸痛,这到底由何引起?急诊医生快速在脑海里回顾了小福的病例特点:
1、 被确诊“急性咽炎”,但服药无效;
2、 小福运动后出现的喉部不适;
3、 有胸闷、胸痛、胸口不舒服。
依据上述病例特点,急诊医生心里有了一点想法,再次进行了查体。在触诊胸部时,医生有捻发以及握雪团的感觉,对,就是这种感觉——“握雪感”,急诊医生确认了心中的想法,剩下的就是通过辅助检查明确诊断。
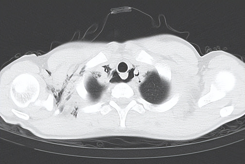
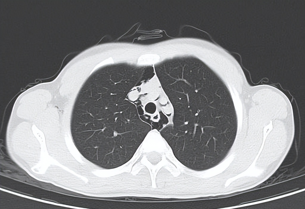
“小福,去查个胸部CT吧,有可能纵隔气肿了。”急诊医生没把话说得太满。
不久,小福拿着单子回到诊室,果然不出急诊医生所料。急诊医生安排小福住院治疗。
胸部CT检查:纵隔及颈部气肿,右侧胸壁软组织积气。


事后,急诊医生不禁暗自对自己反复强调要重视体格检查!
纵隔气肿的临床诊治
1、定义
纵隔积气也称纵隔气肿,是指纵隔中有空气或其他气体。纵隔积气可分为自发性(SPM)或创伤性。创伤性纵隔积气的原因包括胸部钝挫伤或穿透性损伤,或医源性损伤(如胸部手术引起的损伤)。机械通气是气压伤和纵隔积气的常见原因。
2、发病机制
当有小肺泡破裂,气体泄漏至周围的支气管血管鞘中时,即发生SPM。偶尔,气体也可由于管腔内压力升高或壁完整性受损而从上呼吸道、胸内气道或消化道(如食管穿孔)漏出,导致纵隔积气。
因为纵隔内的平均负压总是低于肺实质内的负压,所以游离气体通常沿着血管鞘向中心移动,呼吸的泵作用也有助于气体移动。气体向肺门渗透并扩散进入纵隔,或通过松弛的纵隔筋膜扩散至胸部、颈部和上肢的皮下组织。
3、并发症
• 大多数情况下,气体会流入皮下组织,避免了纵隔内压力升高。有时,气体会进入心包腔或腹腔,分别导致心包积气和气腹;
• 极少情况下,胸膜腔内压力蓄积,引起气胸或压迫邻近胸腔内结构(张力性纵隔积气或张力性心包积气)。这些并发症可能由纵隔压力突然升高诱发;
• 大多数张力性纵隔积气病例与接受机械通气时出现大量纵隔积气有关,有些伴胸部创伤。据报道,张力性心包积气最常见于接受机械通气的新生儿;
• 气体也可能泄漏至椎管中,这种现象称为椎管积气,可能伴有相关的神经系统体征(通常较轻且为自限性)。

4、临床表现
有系统评价概述了纵隔积气最常见的主诉症状及其大概发生率:
胸痛(55%)
呼吸困难(40%)
咳嗽(32%)
颈痛(17%)
吞咽痛(14%)
吞咽困难(10%)
胸痛通常位于胸骨后,为胸膜炎性疼痛(深吸气时加重),可能放射至颈、肩和手臂。其他常见主诉包括头晕目眩和无力,一些患者会出现颈部肿胀、斜颈、发音障碍、腹痛(尤其是上腹部)或背痛。其他症状出现后几小时,可出现低热。
5、体格检查
多达30%的单纯性SPM患者的体格检查正常。
提示纵隔积气的体征包括:
- 皮下气肿(30%-90%的患者)–颈部或心前区有捻发音对诊断SPM的敏感性为中等,但特异性高;
- Hamman征(12%-50%的患者)–即在心前区闻及与心跳同步的气泡破裂音,主要在收缩期出现,尤其是患者处于左侧卧位时,且很多情况下伴有心音遥远模糊;
- 呼吸困难(30%-60%的患者)–可能原因包括引发SPM的基础肺病(如哮喘)或胸痛,尤其是伴气胸的胸膜炎性胸痛。
6、治疗
SPM的治疗取决于有无并发症。
• 单纯性SPM
单纯性SPM可在门诊进行保守治疗,包括镇痛、休息和避免增加肺内压的动作(Valsalva动作或用力呼气,包括肺量计检查)。视情况治疗哮喘或其他基础肺病。
• 复杂性SPM
(1)气胸伴发纵隔积气的治疗方法与单纯性气胸相似;
(2)食管穿孔(Boerhaave综合征)伴继发性纵隔积气时,需强化内科或外科治疗;
(3)对于张力性纵隔积气,可行局限性纵隔切开术,以排出纵隔积气;
(4)SPM偶尔伴发心包积气,治疗时需警惕心包填塞的可能性。
仅供学习交流使用。