三毛说:生一个孩子容易 担一生一世的心,光是牙齿,长得早了、迟了、歪了、长小黑点了都会让家长担心不已。然而有一些现象,却时常容易被家长忽略,比如牙齿出现白色斑点、变黄变透明……

这其实是牙齿脱矿的症状,也是蛀牙(龋齿)的前兆,那究竟什么是牙齿脱矿呢?
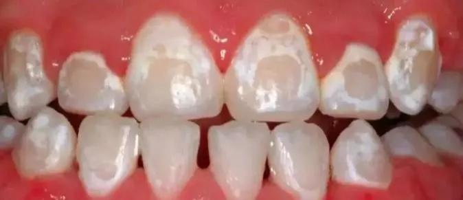
什么是牙齿脱矿?
这个要从牙齿的结构说起。我们都知道,牙齿zui外面一层是牙釉质。牙釉质表面有一层“钙磷”,可以保护牙齿免受伤害。

当你长期不注意口腔卫生,不按时刷牙清洁,口内的细菌就会不断堆积,和食物残渣、细菌等发生反应,从而产生酸溶解掉这层“钙磷”。

而“白斑”,就是这层“钙磷”被溶解后呈现的惨状。
牙齿有白斑是蛀牙吗?
有人可能会说:“牙齿有白斑只是难看点而已,问题不大”,那你就太天真了。牙齿表面就像城墙一样,如果出现了破损,那么细菌就很轻易的攻破城门,破坏牙齿的结构了。


从牙齿表面看白斑,只是颜色有变化。
但在显微镜下观察,牙齿的下方已经在偷偷改变了坚实的结构(牙釉质的结晶——羟基磷灰石的溶出),这是牙齿发生蛀牙的噩梦起源。

所以家长们一定要记住牙齿脱矿发展的三个阶段
1、牙齿表面出现白斑
2、牙面逐渐变黄
3、牙齿成块脱落,变短

到了第三阶段,其实就是蛀牙了。因此,牙齿出现脱矿后,要及时处理,不然很容易发展成蛀牙。
宝宝牙齿脱矿怎么办
01、补牙
孩子如果愿意配合,可以带孩子去补牙,防止蛀牙进一步加深。
02、涂氟
牙齿涂氟,就是用一种含氟的物质,对每一颗牙齿表面进行氟化处理。

这是一种预防蛀牙的非常有效的方法,在国外已经开展多年,是一种常规的儿童牙齿保健方法。

孩子在涂氟过程中,是不会有疼痛和不适的。并且,现在的氟剂有各种好吃好闻的口味,配合度好的孩子们甚至可以把涂氟看作是一种特殊的「吃糖」活动。牙医建议,儿童从3~4岁开始,每半年涂氟一次。
医生通常会根据每个孩子的年龄、配合程度等具体情况,选择合适的氟化剂。当然,还没发现孩子牙齿有白斑的家长,更要做好预防工作。
怎样预防孩子牙齿脱矿?
01、注意饮食
控制摄入甜食,食用完后要漱口;
减少饮用碳酸饮料,不得已要喝,也尽量用吸管;
02、注意口腔清洁
建议使用含氟牙膏
教会孩子使用正确的刷牙方法——巴氏刷牙法

培养孩子养成“早晚刷牙,饭后漱口”的好习惯
很多孩子一开始可能都不愿意刷牙,这时候父母也不要半途而废,可以利用玩小游戏,读绘本,激励等方式来帮助孩子养成习惯。