随着智能的普及手机与工作和学习习惯的改变,颈椎病变得更加普遍,并且有越来越年轻化的趋势。在传统观念里,颈椎病是一个不能手术的疾病,因为在颈椎椎骨里有我们人体最重要的神经组织,同时周围有很多人体内很重要的血管组织和通道组织(气管、食管),所以一直被老百姓们认为是一个不能随意碰触的区域,一旦手术,就会引起灾难性后果。但随着医学科技的逐步进步、疾病机制的逐渐认识以及人们对生活质量要求的逐层提高,外科医生也在不断进步和不断研究中,不仅逐一攻克以前不能进行手术的疾病,同时也将手术治疗的效果和方式在进行不断改进。
近日,黔南州中医医院脊椎外科完成一例颈椎病人前路手术,是目前为止最新改良手术方式之一,为全省第一例手术案例。
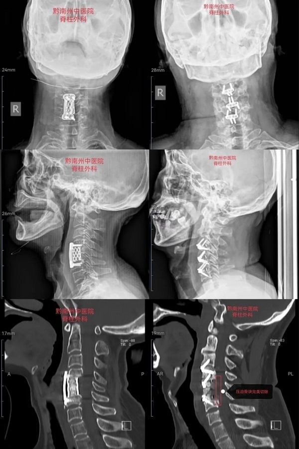
患者男性,49岁,因颈肩部及右上肢放射痛1+月入院。入院后对患者进行了详细的病情问诊、细致的体格检查以及整合患者所有影像学检查,诊断为神经根型颈椎病。同时患者还因为存在颈椎第5节后纵韧带骨化而导致脊髓收到了明显压迫。对患者进行系统保守治疗后,患者仍感到颈肩部及右上肢放痛没有明显缓解,因此向患者告知手术治疗方案。经过和患者及其家属详细交流病情后,患者和家属表示要求通过手术治疗,不仅缓解右肩部和右上肢的疼痛感,同时可以缓解脊髓的压迫,避免出现脊髓损伤而导致瘫痪的风险。


在患者和家属要求手术治疗后,脊柱外科病区主任程刚副主任医师立即组织全科室进行病情讨论,认为根据该病人的病情、影像学检查结果来看,符合目前为止最新改良颈椎前路手术术式之一的“颈前路椎体X型截骨融合术”,并且引导全科对手术实施过程进行了严密的设计。一切准备就绪后,对病人实施了该项手术。

术后第二天患者及表示右肩部疼痛的症状完全消失,对手术效果十分满意。
颈前路椎体X型截骨融合术(Anterior cervical X-shape-corpectomy fusion,ACXF),是颈椎前路传统手术术式之一的颈前路椎体次全切融合术进行的改良。该术式通过将病人自体切除的骨块进行回植重建,避免使用异体金属物质进行重建,从而减少了金属物质所产生的相关术式并发症(如金属形状不合适、金属位置改变、金属钢板断裂),提高了骨融合率,同时避免切除太多骨块导致的疼痛、出血和感染等手术并发症。
原术式术后影像 改良术式术后影像

黔南州中医医院脊柱外科,顺应专业发展趋势,在继续巩固原有治疗优势的情况下,不断学习国内甚至国际最新的治疗理念和治疗方式,不断提高专业内疾病的诊治技术,不断在地域内创造一项又一项辉煌!!!
(来源:黔南州中医医院 作者:班博恒)