点击右上角立即关注,更多健康内容不再错过,不定期惊喜送给你
脑溢血和脑堵塞大家应该听过这些疾病的。要知道的是,这两种疾病是有可能同时发生的。很多的人可能都不太清楚这两种疾病发病时的症状。那么为了可以让大家的详细了解一下,在这里与大家分享一下。

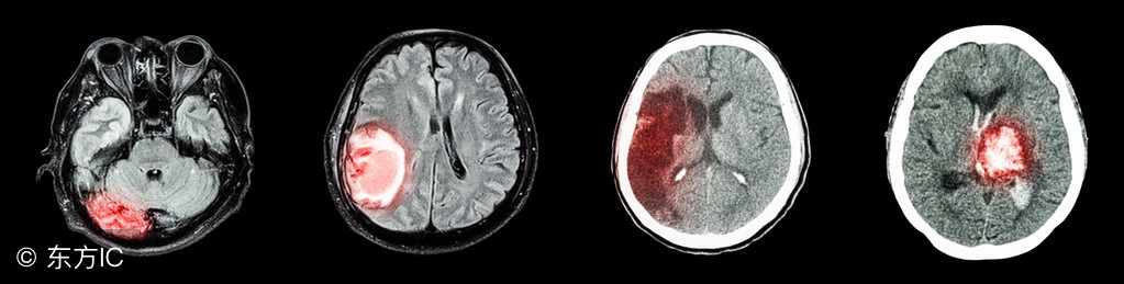
脑梗塞和脑溢血发病时的症状
脑堵塞发病时会产生偏瘫半身不遂、肢体麻木、偏盲、失语的症状。有时候也会产生语言障碍,而且还会造成记忆力下降的现象发生。很多的脑堵塞的患者还有口眼歪的症状。而脑溢血产生多是在情绪比较激动的情况下发生的。脑出血发病比急,可能在几个小时内就会造成患者的死亡。脑出血在发病前一般是没有什么先兆的。
脑出血病人发病后常有头痛,呕吐,血压高的现象,一些患者也会出现一些意识上在的障碍现象。还有比较简单的观察方法就是,脑出血的患者在发病的时候,眼部会有比较大的变化。有些患者会出现双瞳孔缩小和眼球同向偏视的现象。所以当身边的人突然的出现以上这些症状的时候要引起重视,应该马上让病人平躺下来打120或者是直接送医院,避免错过最佳的治疗时间。

如果患者同时发生了这脑出血有脑堵塞疾病的话,是要先治疗了脑部出血症状的。因为脑部出血是比较危险的,如果不能得到及时的治疗的话,流出的血液很容易积压在大脑里面,对生命产生威胁。造成脑溢血的病因有几种,病因不同治疗的方法也是不同的。如果是高血压引起的脑出血,首先是要先控制患者的血压。预防再次出血。如果是蛛网膜下腔出血,那就要排查是否有动脉瘤。等到控制血溢血现象后,后期可以通过中医的针灸进行排除脑部的淤血。
脑部出血一但得到治疗后,应该积极的着手进行治疗脑堵塞。脑堵塞不及时的进行治疗的话,大概发病一年后就进行到了一个后遗症期再治疗就不好治疗了。脑堵塞的患者可以吃一些抗血小板聚集类药物。这样可以活血化瘀。同时也可以吃一些芳降脂抗凝类药物可以使患者远离复发减轻后遗症。
对于这类的疾病还是有预防方法的。一般情况上有高血压,高血脂和高血栓的人是比较容易得这类的疾病的。所以在日常的生活中,应该要注意身体的锻炼,并且要合理的饮食。上了年纪的人平常应该每半年就检查一次身体,这样可以早发现早治疗。

有一款粥是适合这两种疾病的患者服用的,就是用大枣梗米煮粥来服用。煮的时候先把黄芪生、生姜、桂枝、白芍用水煎好,把渣去掉。然后重新用新水再煮大枣和粳米。等到粥煮好后,把之前煎好的药水加入进行拌均匀后一起服用就可以。每天服用一次,可以起到益气通脉温经和血的效果。而且还可以治疗脑堵塞的后遗症。
注:文中图片来自网络,如有侵权请联系删除