患者:马某,女,32岁,汉族,农民
现病史:患者约1 h前无明显意识不清,无恶心呕吐,无发热、抽搐,无大小便*禁失**等,未进行任何治疗,由家属送来我院,急诊给予建立静脉通路、吸氧等抢救措施,并急查颅脑CT后,以“脑血管意外”为诊断收住我ICU病房。发病以来,神志朦胧,未进食水,大小便未排。
既往史:7年前发现“血压增高”,收缩压最高达200 mmHg(未治疗,未监测血压),否认“冠心病、糖尿病”等慢性病史。否认“肝炎、结核”等传染病病史及密切接触史。否认外伤、手术史,否认输血及献血史,否认药物及食物过敏史,预防接种史随当地。
体格检查:体温:36.3 ℃;脉搏:85次/min;呼吸:20次/min;血压:220/108 mmHg。
发育正常,营养中等,神志朦胧,自主呼吸稍急促,急诊平车推入病房,被动平卧位,查体不能合作。全身皮肤黏膜无黄染,全身浅表淋巴结未触及肿大。头颅无畸形,眼睑无水肿,球结膜无水肿,结膜无充血,巩膜无黄染,角膜反射灵敏,双侧瞳孔等大等圆,双侧直径约2.0 mm,对光反射均迟钝。双侧鼻腔及外耳道无出血及异常分泌物。口唇无紫绀。颈软,气管居中,颈静脉无怒张,甲状腺未触及肿大。胸廓对称无畸形,两侧呼吸运动度一致,两肺叩诊呈清音,双肺听诊呼吸音粗,双肺未闻及干湿性啰音。心前区无异常隆起,未触及震颤,心率85次/min,律齐,各瓣膜听诊区未闻及病理性杂音。腹平,腹肌软,未见胃型及肠型蠕动波,肝脾肋下未触及,移动性浊音阴性,肠鸣音正常。脊柱及四肢发育正常,双下肢无水肿。肛门及外生殖器未见明显异常。神经系统检查:四肢查体不合作,脑膜刺激征阴性,双侧巴氏征未引出。
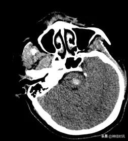
CT检查
脑干可见片状高密度影,测其最大层面约18 mm×15 mm× 20 mm,CT值约65 HU。脑室系统未见明显扩大及变形,脑沟脑裂显示清,中线结构居中。结合CT计算脑干出血量约3 ml。

急诊CT
初步诊断:1.脑干出血;2.高血压病3级 (很高危)。
诊断依据:青年女性患者急性起病,意识不清。颅脑CT示:脑干出血。
鉴别诊断:脑干海绵状血管瘤,CT显示边界清楚的圆形或类圆形高密度影,常伴钙化,CT结果可排除脑干海绵状血管瘤。
患者入院后告病危,完善相关辅助检查,给予止血、脱水降颅压、营养神经、改善循环、抑酸护胃、消炎化痰等药物应用,加强翻身拍背、机械振动排痰、雾化吸入等床边护理手段,维持内环境稳定,维持水电解质平衡,保护重要脏器功能,加强对症支持治疗,在ICU重症监护。在ICU治疗5 d后转入普通病房。
治疗期间于入院后第3天开始给予脑血疏口服液进行治疗(10 ml,tid)。

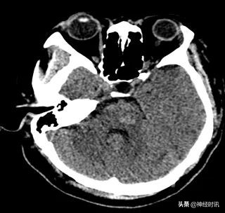
入院后第1天复查CT:与入院时对比,出血未明显增多

入院7 d,脑血疏口服液用药5 d后复查CT:脑干出血,较入院时片状密度影减低

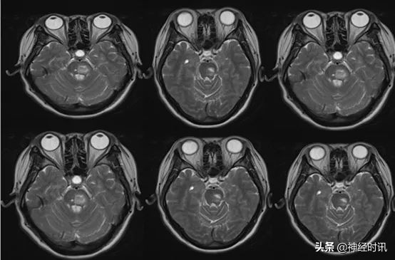
住院9 d,口服脑血疏口服液7 d,患者转入普通病房后复查颅脑MRA+SWI:桥脑出血(亚急性期)
影像结果:桥脑左份可见片状短T1、长T2信号,黑水像呈高信号,周围可见低信号环围绕。左侧基底节可见斑片状等T1、长T2信号,黑水像呈高信号,DWI高b值呈稍高信号,左侧基底节、双侧外囊可见条形长T1、长T2信号,黑水像呈低信号,双侧外囊病变DWI低b值可见低信号环绕。脑灰白质分界清。脑室系统形态、结构及信号未见明显异常。脑沟、脑裂及脑池未见增宽及加深征象。中线结构居中。垂体、视交叉及双侧听神经干未见明显异常。
结果回示:1、桥脑出血(亚急性期),请结合临床。
2、左侧基底节腔梗(急性或亚急性期),请结合临床。
3、左侧基底节陈旧腔梗;双侧外囊陈旧出血。
4、脑MRA:右侧大脑后动脉P1段局限狭窄。
5、脑SWI:双侧基底节、外囊及桥脑异常信号,考虑含铁血黄素沉积。

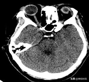
住院2周,口服脑血疏12 d复查CT:脑干出血治疗后改变,出血基本吸收
原发性脑干出血是一种特殊类型的脑出血,常发生于伴有高血压的患者,且伴有高血压的脑干出血患者病死率更高。在所有脑出血中,原发性脑干出血占5.0%~10.0%,而80%的脑干出血发生在脑桥,延髓出血为5%,中脑出血占15%。脑干出血发病迅速,病情危急,并且因为脑干的特殊性,其内不仅有各种感觉、运动传导束,以及由灰质团块组成的视听觉反射中枢,更有人体呼吸、循环的生命中枢,所以此部位出血在脑血管疾病中属于危重疾病,病死率可达70%~80%,80%患者在发病较短时间内即死亡。
据统计,出血量<2 ml者,保守治疗的有效率达100%;出血量为2~5 ml者,患者病死率为16.7%~33.3%;出血量为5.1~10 ml者,患者病死率>75%;而出血量>10 ml的极重型患者的病死率接近100%。目前,阻断一系列恶性病理变化使其向康复方向逆转的最重要的环节和措施就是对脑干血肿完成早期清除。但因其部位的特殊性,以及病情进展快,并有高致死、致残率,手术技术难度大、风险高,所以目前国内外对脑干出血治疗一般采取保守治疗为主的综合治疗。
该病例患者为青年女性患者,急性发病,入院时意识朦胧,给予重症监护,出血量达3 ml,ICU治疗5 d后,神志由朦胧转为嗜睡,意识好转,经口服脑血疏口服液治疗9 d后神志转为清醒,12 d后血肿基本完全吸收。生命体征平稳,总住院天数2周,患者出院。
脑血疏口服液是临床上唯一获批用于脑出血急性期及恢复早期的独家颅内清瘀剂,大量基础及临床研究已证实其具有显著的加速血肿吸收的疗效,填补了脑出血后颅内清瘀用药治疗空白,此外还可减轻脑水肿、保护神经元促进康复,并已进入卫健委脑防委《中国脑卒中合理用药指导规范》《中西医结合脑卒中循证实践指南》《高血压性脑出血中西医结合诊疗专家共识》《脑出血后脑水肿管理专家共识》等权威文件。本例病例中,患者通过口服脑血疏口服液显著加速了原发性脑干出血的血肿吸收,促进患者恢复,减少住院天数,减轻了患者的痛苦的同时也为患者节省了治疗费用。

齐刘喜
主治医师,毕业于新乡医学院,现就职于新郑市人民医院人民路院区外一科,擅长颅脑常见多发疾病的诊断与治疗,对颅底疾病有一定的临床与基础研究。
—END—