(文中有手术标本展示,点击阅读请注意)
手术病例分享:


前言: 现在全国各地的城市要说某楼盘好,必要宣传周围医院、学校、商场如何如何方便,意思就是小孩读书近、看病也方便、购物更便捷。那么查出肺结节要手术,是不是到附近的医院就可以了呢?显然结友们却又不是这么想的。肺手术不管怎么说都是全麻的大手术,一般要找当地最大的医院,或者到当地省城大医院,更有到北上广最著名的医院确诊和手术的。但偏偏有越来越多的外地结友不远千里专程来到杭州,也不是到省级浙一、浙二或邵逸夫等最为有名的三甲医院,而是来到西湖之滨、吴山脚下的杭州市肿瘤医院门诊和手术。这是为什么?今天分享一位专程从辽宁来我们医院找我手术的结友的病例,来揭示这个问题。
(一)此次入院病史信息

结友发现肺结节已经5年许(病史中不够确切,因为结友2018年已经被告知有查出肺部结节,当时是说有点问题,嘱其每年要复查CT),临床症状不明显。
(二)入院前的来龙去脉
2020年第一次网络问诊:

2020年时的影像展示与分析:

左下叶有磨玻璃结节,有明显高密度成分成线条状与环形,磨玻璃密度部分轮廓较清,不太规则。

病灶中间有空腔,空腔较圆,部分囊壁密度略高。

我当时的回复是认为纯磨伴空腔,原位癌可能性大,也可能是不典型增生,仍可再随访。大概当时认为密度过高部分像纤维增生或慢性炎,而磨玻璃部分的本身还没有实性成分,囊壁也基本上是磨玻璃密度的。
2023年5月初第二次网络问诊:
主诉:
发现左肺空洞3年半。
现病史:
患者于2018年年底在北京某医院做的甲状旁腺腺瘤手术,出院后医生告知右肺外侧有微小磨玻璃结节,让一年后再定期做检查,因2019年疫情未去,2020年5月在某医科大附属二院做了个CT检查,当时告知左肺下页有薄壁空洞0.8毫米,右肺有微小结节0.3毫米,随之就是每半年的复查胸部CT;2023年3月再次复查时大夫告知左肺下叶那个空洞0.7mm有实性病变,需手术切除。
希望获得的帮助:
请主任帮忙分析一下我这属于肺部的哪种疾病?(囊腔性腺癌吗?)本人也挺纠结的,如是不好的病灶,是否是早日手术切除,以免后续发展再切除为时已晚,还是后续再观察,请主任给分析分析把把关。手术是段切还是楔形切除,切除后愈后,还需要药物干预吗?
影像展示与分析:

病灶轮廓清,中间有实性成分,磨玻璃部分瘤肺边界清,表面也不平,考虑肿瘤可能性大。

病灶仍是囊腔型,壁不均,表面不平,部分囊壁密度略高。
我的意见:
左下这个囊腔型病灶进展是没有明显进展的,但确实有磨玻璃成分、有血管进入,整体轮廓较清。感觉恶性的可能性大些,反正位置好,在边缘部位,单孔局部楔形切了化验也可以的,也比较稳当些。
结友 再询:
叶主任您好:辛苦了~那么晚还再看片,感谢!根据您以往的经验,我现在手术切除呢还是再等等?您建议“单孔局部楔形切了化验“,是仅仅局部病灶切了化验,判断是恶性?还是良性?还是一次性将病灶全部切除后再进一步化验?同时,术后还需其进一步放化疗吗?手术前还需做三维重建吗?
我的想法 :
按它发展速度,即便是恶性,也是恶性程度不会高,局部完整切了个人觉得就可以,或者淋巴结采样一下。
最后结友再三考虑,决定来杭州找我手术。
(三)住院后我们的决策思考
结友提早与我联系,从辽宁专程来杭州,提前住到医院附近的宾馆里,次日办理住院手续。
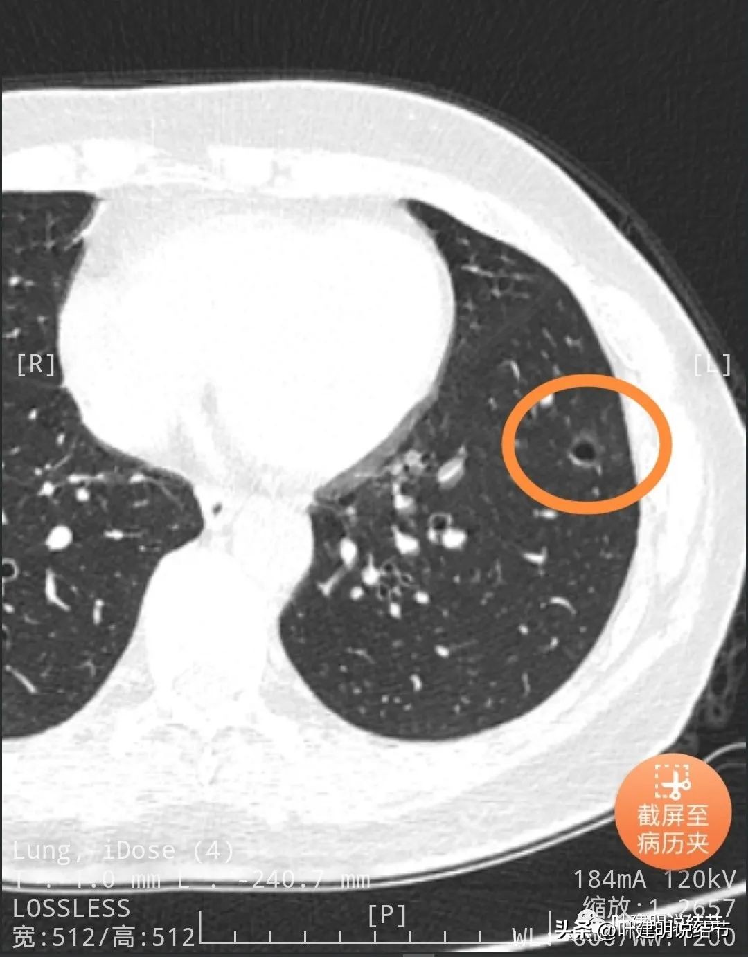
我院影像:
为了了解更多病灶细节信息,我们仍为其申请了薄层扫描加靶扫描重建,得到了更多影像细节:

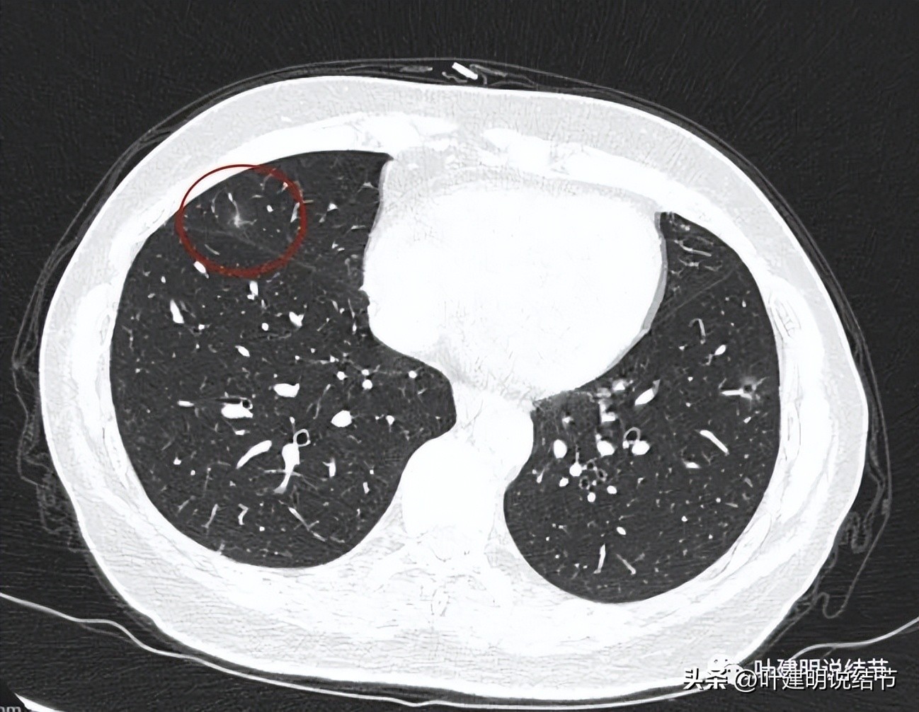
上图是右中叶的病灶,边缘偏模糊的磨玻璃影。因为最早于2018年时是报了右中叶有小结节,所以此处也要注意一下。

此灶中间有偏高密度,磨玻璃部分边缘不太清楚,显得瘤肺边界欠清。

灶内条状偏高密度可见。

叶间胸膜感觉略有点牵向病灶,但不厉害。

边缘区是磨玻璃成分,更靠胸膜处似乎还有卫星病灶。
右叶单按此次的影像来看,感觉倾向慢性炎些,毕竟收缩力弱、有卫星灶、轮廓虽清,但瘤肺边界欠清,磨玻璃部分密度较低,中间实性部分密度偏高但呈条状。

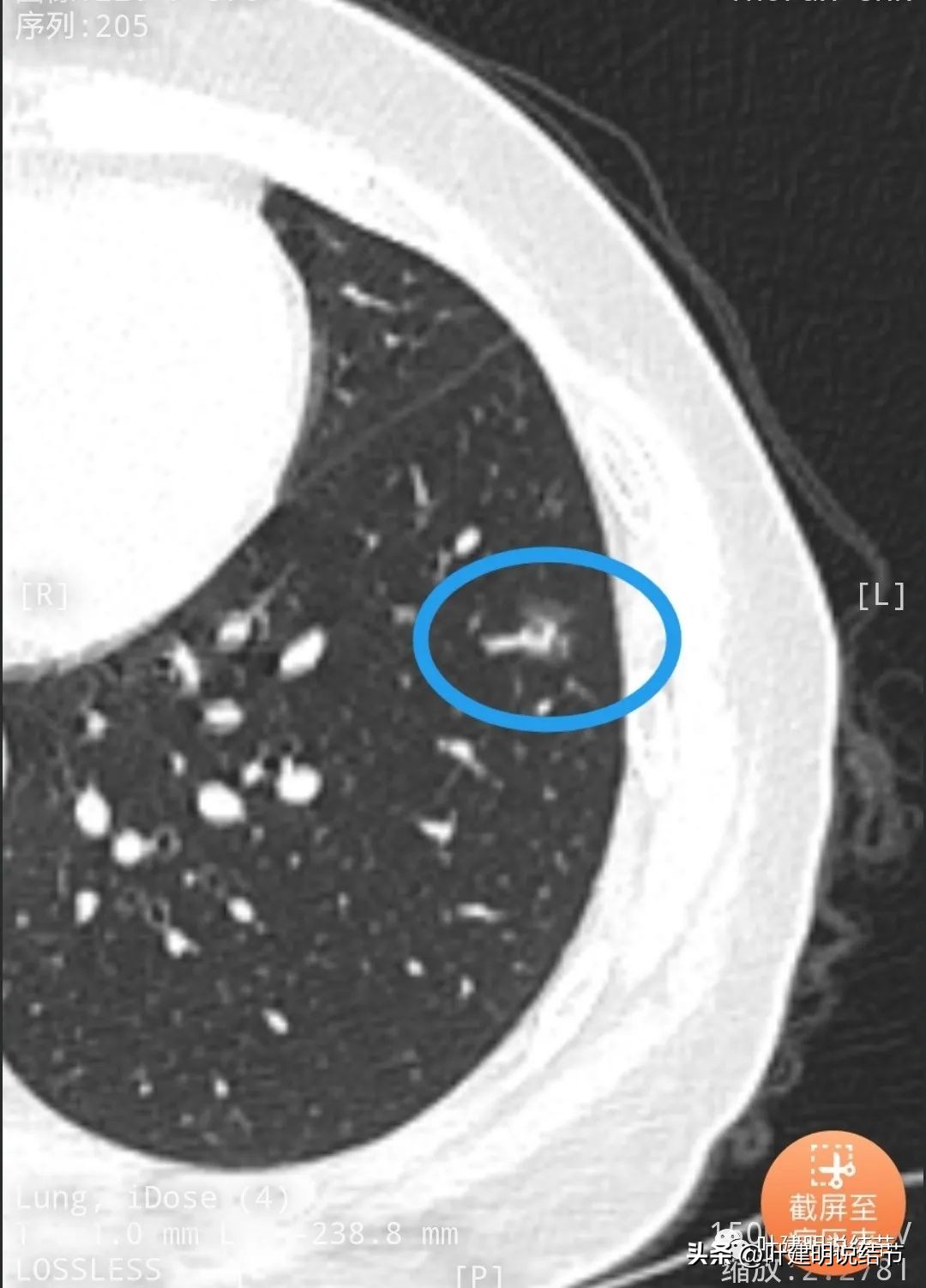
再看左下叶的主病灶,此层见其是磨玻璃密度,轮廓较清,内部密度欠均匀。

有明显血管征,血管进入后有分支发出,病灶表面显得有毛刺样。

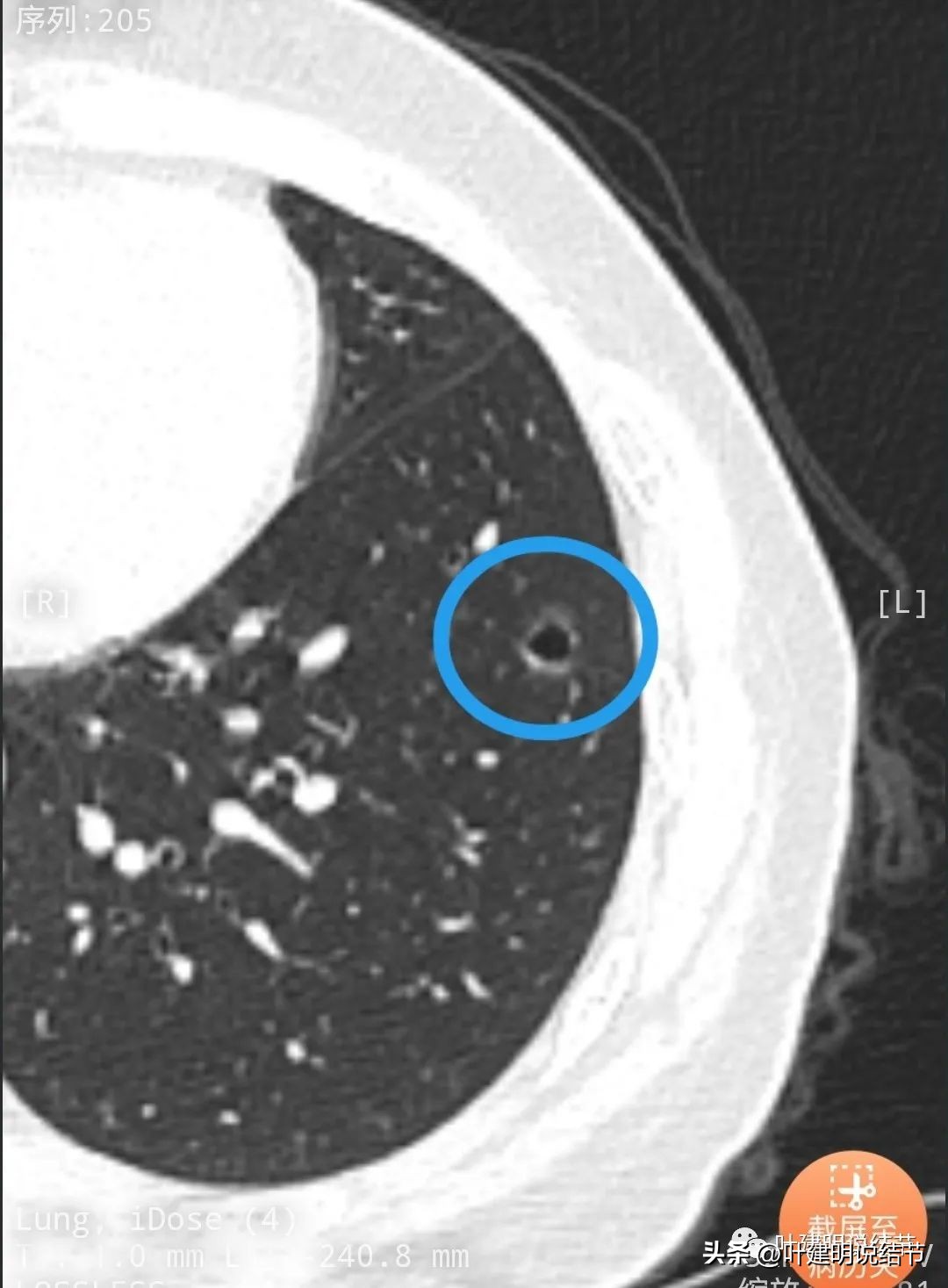
病灶中间有空腔。

囊壁较薄,但不均匀,有的地方还是显略厚了点的。

似乎见微小血管走向病灶。

微小血管征确实有。

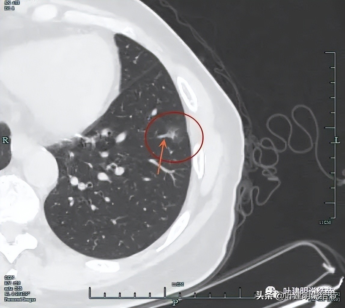
靶重建后发现病灶囊腔型,桔色箭头示进入的血管有异常增粗,而且壁显得毛糙;黄色箭头示空腔;红色箭头示整体轮廓较清;绿色箭头示有磨玻璃成分,虽然密度较低;蓝色箭头示病灶略有胸膜牵拉影响,只是力较弱而已。

上图显示了病灶轮廓与瘤肺边界其实还是清楚的。

部分边缘有毛刺征可见。

显示明显的血管征与血管异常增粗和壁毛糙。

上图显示病灶轮廓较清,有锐利细毛刺征,灶内有弯曲血管穿行。

囊壁有少许是偏实性成分的,如粉色箭头所示。

血管增粗进入并散开来。

血管在病灶内发出分支。
影像考虑与决策思路:
有了靶扫描重建后的影像细节信息,我们可以认为左下这个病灶基本上要考虑是恶性的,而且大概至少是微浸润性腺癌,也说不定已经是浸润性腺癌了。因为它有滋养血管进入,血管异常增粗并在病灶内发出分支,有的层面见血管穿行。即使磨玻璃部分密度仍不高,但也有一定风险,再不处理干预可能会致不良后果。唯一有点不太符合的就是磨玻璃成分密度感觉低了点,如果慢性炎伴肺泡上皮增生或许也可类似。但鉴于病灶位置好,能楔形切除,即使没到微浸润性腺癌,甚至是良性的,手术创伤也不大,随访多年无吸收好转的,切了也不亏。另外还有需要考虑的是右中叶的病灶到底是良性还是恶性?因为从影像上来看,右中叶的病灶也是有血管进入,也是磨玻璃成分密度较低,也是持续存在。如果左侧切了后病理是良性的,那么右中叶的大概率也是良性的;若左侧切了是恶性的,那么右中叶的病灶影像形态类似,只是小点、密度低点、血管细点,风险不如左下的,但性质应该也是恶性的。所以左侧病灶的切除病检也有从侧面来判断右中叶病灶性质的作用。
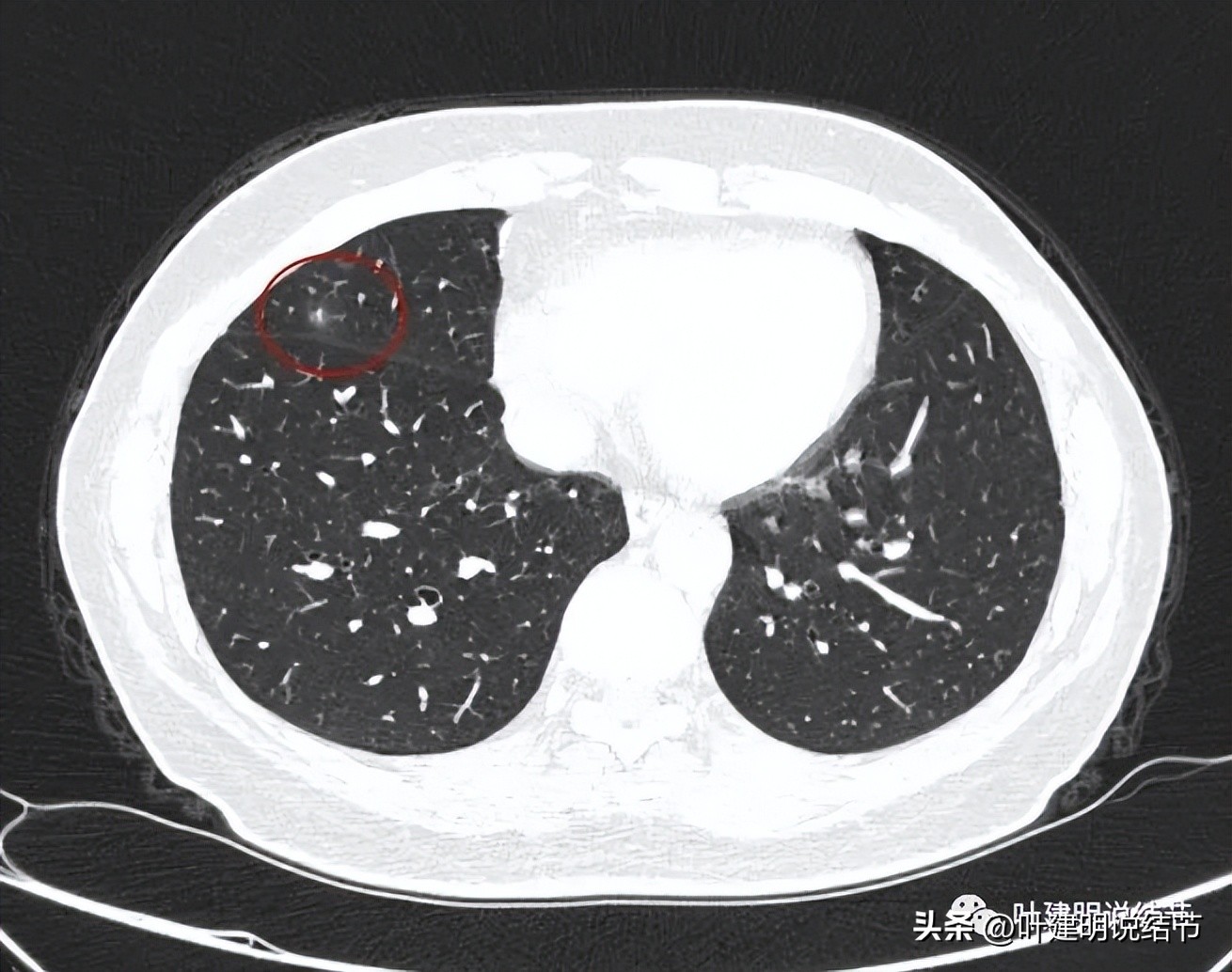
中叶病灶前后对比:

上图是2020年5月时的

上图是2021年12月时的

上图是2023年3月时的
可见持续存在并无好转,似乎略有进展,当然不是太明显。形态真的与左下的类似,只是左下的有空腔,它没有。
(四)最后结果
术前经过充分沟通,考虑病灶随访3年多并无显著进展,即使恶性,也至于有高危亚型,加上右侧还有病灶,且左下病灶位置这么好,楔形切除能解决问题,切除更大范围肺组织,当病灶确实没有扩散转移时是可惜的。所以敲定“单孔胸腔镜下左肺下叶部分切除术”。

病灶切面灰白,质较硬,肉眼看像恶性的。

术中病理报告:浸润性腺癌,范围0.6*0.4厘米,腺泡及贴壁型,切缘阴性。由于标本切下后肉眼观察切缘距离肿瘤较近,后来往深部又切一点送切缘,均为阴性。

术后常规病理示:浸润性腺癌,范围0.6*0.4厘米,腺泡型占20%,贴壁型占80%。未见STAS现象,也无脉管侵犯或脏层胸膜累及,切缘阴性。Ki67只占2%阳性。

淋巴结采样结果第7组、第8组、第9组以及第10组均阴性。
这样的话,右中叶病灶基本上考虑也是肺癌的,但目前实性成分不明显,仅进入的血管显得密度偏高,肿瘤有形成分仍是磨玻璃密度。但仍需关注的,如果随访中有进展,也要局部楔形切了才行。
感悟:
这个病例即使在网络咨询过程中,我们的意见也是楔形切除就可以,或者加淋巴结采几颗(当然是不可能会有转移的,否则哪会近5年了还没有明显进展?),手术非常简单,也没什么难度,但为什么结友不远千里专程跑来杭州市肿瘤医院接受手术呢?因为通过前期的沟通与了解,学习了我们许多的病例分享,她确信: 杭州市肿瘤医院的医生团队会真正从病人的切身利益角度来考虑,不单是手术方案的选择,还是相关检查检验费用等方面。花最少的钱、切最少的肺、得最好的效果! 许多大医院却并不总是这样,虽然名气更大、病人更多、设备更高级,但原位癌、微浸润性腺癌或贴壁为主型的浸润性腺癌这种预后非常好,能楔形切除部位的做了肺段切除多了去了,还有鼓动病人做机器人辅助下肺段、肺叶切除的。上次甚至有问诊病人双侧原位癌楔形切除,在医生的鼓动下做机器人辅助的,老百姓挣4、5万块钱不容易,完全自费的呀!楔形切除单孔就可以,总费用2-3万,有的甚至不足2万,也完全不必机器辅助,机器人辅助孔还更多,费用在原来基础上要加上自费的4、5万!微浸润性腺癌距离胸膜才1厘米左右的,在国内极著名的医院做“机器人辅助肺段切除术”,花费11.5万,也是单孔楔形就可完美解决的事。今天分享的这位结友如果不在我们这里手术,不同医生选择楔形切除、肺段切除、肺叶切除以及机器人手术的都有可能,而且都是符合肺癌诊疗指南的,但被切除的肺组织多少与医疗费用的花费那是完全不同的。 结友相信我们是真的在践行能楔不段、能段不叶,基因检测与否依指南、术后辅助治疗不教条而个体化。用心用情做结节!

(此处已添加医疗卡片,请到*今条头日**客户端查看)