
| 生活 | 人物 | 文化 |
从这里感知美好梁平


“你有没有洗牙的习惯?”
“我觉得……我刷牙挺干净哒!”
呵呵,天真
要知道牙齿上总有些脏东西
是我们刷牙刷不掉的!

不注意洁牙的话
长此以往下去会出现
牙龈炎、牙周炎、出血、口臭、牙齿黄…
咦…想想都可怕
再也不能露出迷人的微笑了

劲松牙科

位于梁平区名豪商贸区
你的变美之旅就从这里开始~

采用西格进口设备
一次性口腔器械盘
一次性口腔用品
用专业悉心呵护你的口腔健康!

集牙齿美容、种植、修复治疗、正畸等
一体的全方位、专业的医疗机构

进店的第一感觉就是温馨、舒适、干净
整体基调的白色环境显得宽敞明亮
暖色的茶几、柔软的沙发、绿植
都让你的心情变得放松!

专业的团队+先进顶尖设备+舒适的环境
为你打造一个舒心、放心的洁牙体验~

随便上X团看看
一次洁牙护理就要168元~
看这价格,只想说:贵!

别急,联联为大家带来了超值福利!
不到1折的家庭口腔护理套餐惊爆亮相
29.9抢购门市价895元的洁牙护理套餐!
单人超声波洁牙口腔护理+中老年口腔护理+儿童口腔护理
全家的口腔健康,劲松承包了
超全面的牙齿护理
还你洁白健康牙齿,助你绽放完美笑容~

限时抢购
>>>>劲松牙科家庭口腔护理套餐
抢购价: 29.9元
抢购日期:即日起- 2019.04.15
发码日期:即买即发码(短信通知)
使用日期:收码预约后-2019.5.31前到店激活(详情咨询商家)
预约日期:至少提前1天致电商家预约
套餐内容:
一、单人超声波洁牙口腔护理
超声波全口洁牙 一次
牙釉质抛光护理 一次
全景片 一次
正畸方案设计 一次
一次性口腔用品 一套
二、中老年口腔护理
一次性口腔用品 一套
全口牙齿体检 一次
活动义齿(拜耳活动假牙)一颗
三、儿童口腔护理(6-15岁)
儿童乳恒牙发育检测 一次
全景片 (6岁以上) 一次
儿童全口涂氟 (6-10岁)一次
正畸方案设计 一次
一次性口腔用品 一套
如何抢购
点击文案底部“阅读原文”即可参与预定

如果你是商家
如果你有好的产品提供
请咨询:17723631725
超声波洁牙护理
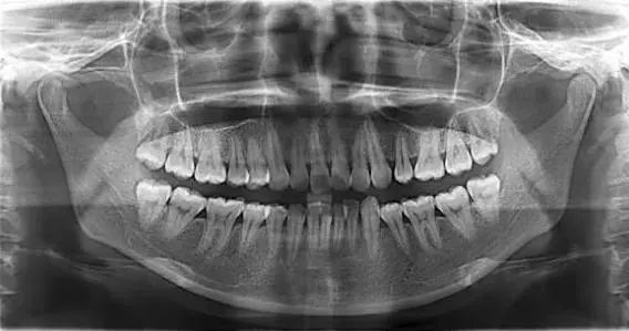
-韩国怡友vatech全景片-

用全景机为牙齿拍一张全景片,可将口腔内部所有细节清晰呈现在医生眼前,每颗牙齿的问题、骨骼的排列和轮廓,甚至连每一根血管和神经都清晰的毫发毕现,如同GPS定位系统一般,一切尽在医生掌握中。

这样极大加强了手术安全性、提升手术效果。
-超声波全口洁牙-

牙龈与牙根面之间不是紧密附着,而是存在一条0.5—2mm的浅沟,称龈沟。龈沟内易积存食物碎屑,附着菌斑,而且龈沟是难以彻底清洁的区域。

一般在刷牙之后的半小时内即会有新的菌斑形成,久而久之即成为牙结石,这些细菌会引起牙龈炎、牙周炎、出血、口臭,最终引起牙齿松动,甚至脱落。

而洗牙,是借由各种器械来去除这些附着于齿颈与牙龈沟之间的牙结石及牙菌斑,可以减轻牙龈炎、牙周炎的炎症状况。
-牙釉质抛光护理-

牙釉质是牙齿最外层的组织,又是我们身体里坚硬的组织之一。它帮助我们抵御外界对牙齿的入侵,对牙齿起到保护的作用。可以说,它是牙齿的一道保护屏障。

洗牙后还要进行抛光,使牙齿的表面保持光洁如初。从而减缓菌斑及色素的附着和牙石的生成。并且抛光是不会对牙齿造成损伤的哦。
儿童口腔护理
-全口涂氟-

把宝宝的蛀牙扼杀在摇篮中是每个宝妈的梦想。然而残酷的现实告诉我们,我国10个孩子中有7个都是蛀牙宝宝。

所以为了保证宝宝的牙齿健康,除了每天2次认真刷牙,控制甜食摄入之外,孩子全口牙齿涂氟也要重视起来,儿童每6个月至少涂氟1次。

牙齿涂氟,就是用一种含氟的物质,对每一颗牙齿表面进行氟化处理。这是一种预防龋齿的非常有效的方法。千万不要有“乳牙坏了没关系,迟早都要换”的想法,这样只会坑苦了孩子。
-正畸方案设计-

地包天、龅牙、双颌前突等都是牙齿畸形问题,这些问题会成为人展现美丽笑容的枷锁,需要通过牙齿矫正来恢复露齿自信,但并不是每个父母都会关注到孩子的牙齿状况,导致孩子错过牙齿矫正的黄金期!

很多父母认为牙齿矫正仅仅只是改善面容而已,但其实并没有那么简单。牙齿不齐、畸形还往往可能造成其他健康危害。

所以正畸这一步还是很重要的,在拍完片之后,医生会根据孩子的牙齿状况,提出正畸意见,帮助你拥有一口好牙。
-乳牙恒牙发育检测-

当孩子步入6周岁左右的时候他们迎来了人生的新里程,乳恒牙替换即将开始,在这个时期,家长一定要注意孩子的乳牙发育情况。

我们一定要做好日常的护理和检测,孩子换完的时候一定要要进行一次全面的口腔检查,出现问题要做到早发现早治疗!
中老年口腔护理
-全口牙齿检测-

老年人要定期检查牙齿的形态及颜色是否正常,牙龈有无肿胀、增生、萎 缩,有无牙龈出血、溢脓等。避免出现牙周病。

为你的口腔带来一个全面检查,因为早期的牙周病症状可能不明显,或毫无症状。所以要更加专业的医生对你的牙齿做一个健康评估。特别是老年人,更是要保护好自己的牙齿。
-活动义齿-

老年人免不了会有缺牙,这时候就涉及到要戴假牙了,活动假牙可以拿下来清洗,避免口腔炎症的发生,并且对基牙的损害小,磨除牙体组织少。

劲松牙科的活动义齿采用德国产的拜耳假牙,一种复合树脂材料的假牙,是利用塑料或金属做基托,靠粘膜,骨组织作支持,靠义齿的固位体和基托固位,可自由取戴的一种修复体。

质量相对普通的树脂材料的牙齿要更好、更耐磨一些。

快来‘劲松牙科’
洁完牙,露出自信微笑
你就是这条街最靓的崽~

『如果你是商家,如果你有好的产品提供
请咨询:17723631725』
交通指南
地址:梁平区梁山街道名豪商贸区27栋1,2号门市
电话:023-53230887

(以上交通路线仅供参考)
如何抢购
点击文案底部“阅读原文”即可参与预定
如果你是商家
如果你有好的产品提供
请咨询:17723631725