享受得了舞台上的灯光和掌声,
也必定要承受相应的努力与汗水。
为舞台而生,也因舞台备受关注,
在舞台上每一个表情都被放大解读,
那么如果牙齿不完美,可怎么办?

患者昵称:缘缘
患者年龄:8岁
主诉:前牙反
缘缘是一个“放大镜”女孩,因为她美好得就像为舞台而生。
偌大的舞台,绚烂的灯光下,我的小小人儿或是唱歌或是舞蹈,追光灯聚焦在她身上,台下的掌声随着落幕响起来,这就是缘缘的生活。掌声不是与身俱来,在天赋的基础上加之她不竭的努力与汗水。
缘缘从小就活泼可爱,参加兴趣班原本是为了圆我的一个梦想,结果她表现出超强的兴趣和表演天赋。上学了,只要有上台表演的机会,老师们总会推荐缘缘,她也是学校人人兼知的小小主持人。她很努力,同时也对自己很严格,因为她知道舞台和灯光就是个“放大镜”,会帮着观众审阅每一次表演。如果想一直接受掌声,就要力求每一次的表演都尽善尽美。

我的缘缘长得清秀腼腆,会唱会跳,很多家长都羡慕我有这么一个漂亮懂事的女儿。但是我一直很在意缘缘的牙齿,她的牙齿不是很好看,门牙反,之前我带她检查过,当时医生建议她12岁换完牙后再来矫正,连续跑了两家都得到相同的回答。在我快要放弃的时候,我朋友推荐了一家口腔诊所,我们抱着忐忑的心去了。
到了诊所进行检查后,医生说可以做早期矫正能得到不错的效果!在我犹豫的期间,医生跟我们进行多方面的沟通,包括反会导致牙齿发育、美观、性格以及孩子未来的人际交往与工作等方面的影响,还给我们看了很多已完成的案例,有些孩子年纪甚至比缘缘还要小,但是整体配合治疗下来都得到了很好的效果。因此,我们决定给缘缘做早期矫正!


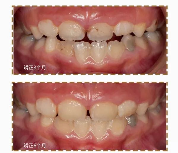
我们选择是早期矫正,白天佩戴矫治器2个小时,晚上佩戴8个小时,就可以慢慢将牙齿反矫正过来。我们选择的一款早期矫治器比较软,缘缘带着没有很强烈的异物感,所以还算适应。
日子总在不知不觉中流逝,一个月后我们去复诊,医生将缘缘的前后口内照进行对比,看到牙齿有了明显的变化,缘缘开心的给了医生一个大大的拥抱。有了这个变化后,我和缘缘更加遵循医嘱,每天睡前会加练一些口操,变化就更大了。现在已经矫正6个月了,缘缘牙齿整齐了很多,在生活中变得更开朗自信了,拍照的时候也敢露出牙齿了。
真不敢相信,缘缘的牙齿有了这么大的改变;也很庆幸,如果没有听从朋友的建议过来做矫正,就会错过最佳矫正时间,让孩子自卑多几年。

案例叙述:缘缘妈妈
案例文字整理:华喜口腔杨丹

(此案例归华喜口腔、通通爱牙所有,未经授权切勿私自转载)
覃露露医生
柳州华喜口腔
前牙反是临床很常见的错类型,并且前牙反若不矫正会越来越严重,因此早期矫治尤为重要。
早期矫治效果理想,并且有利于颌面部正常发育,大部分的功能性牙性反因纠正不良习惯后矫治成功,不易复发。牙齿错畸形建议早预防,早发现,以便及时进行干预矫治,一般3-5周岁的孩子都可以积极配合治疗,这在临床也是经过实践证明的。而且矫正时间只需几个月,孩子不太会有逆反心理和影响。
