
2月6日,王某从广东打工返乡,分别一年后,再次和家人团聚,一家人其乐融融,喜迎新年。怎料天有不测风云,正在筹备年货的王某突然感觉手脚麻木,随即瘫痪,四肢无法活动。
家里人立即将他送往当地医院,医院考虑其病情复杂,病情危重,建议他转上级医院治疗。一时间一家人不知所措,陷入困境。正在一家人不知如何是好的时候,王某的邻居告知他们遵义市中医院骨伤科擅长此类疾病的治疗,遂立即转入。
王某入院时已经是大年二十九,他的家人十分不安,担心过年期间医生们会不会都放假了?如果等过完春节,他的疾病会不会错过了最佳时间?以后还能站起来吗?
但很快,王某和家人所有的疑虑都被医生打消了
转院后,市中医院副院长、骨伤科主任医师孔维军和骨伤科主任陈在飞第一时间查房看望王某。在排除颅脑疾病的前提下,检查发现他患有严重的脊髓型颈椎病,颈脊髓损伤严重,并且颈椎椎管狭窄,脊髓被压扁变形,几乎只剩一条细缝,需要尽早手术解除压迫,如果压迫不解除,可能会终身瘫痪。
王某受压迫的部位距离脑干很近,手术难度和风险不小,稍有不慎,都可能出现严重的危险

术前MRI
为了保证手术成功,大年三十当天,孔维军亲自为王某主刀,在骨伤科医生团队及多部门通力协作下进行手术。为了这台手术很多人错过了年夜饭,即便大年三十不能够跟家人欢聚一堂,他们也无怨无悔,默默坚守。
所幸,术后第二天,新年第一天。大家都收到了最好的一份新年礼物,王某肌力恢复正常,四肢活动明显好转。

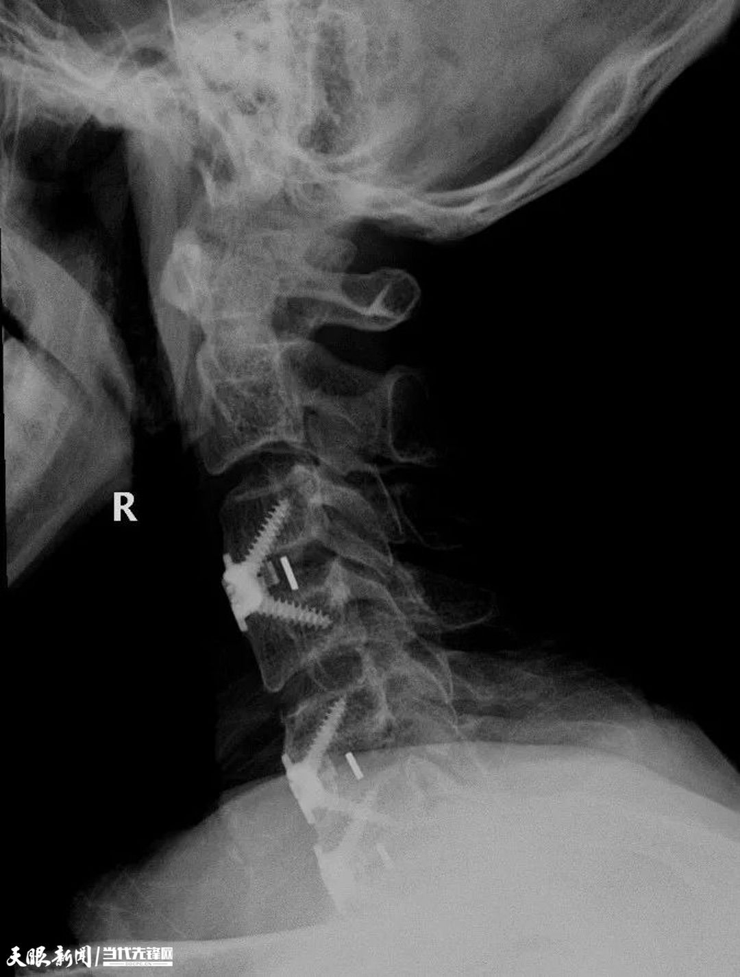
术后X片
年后,王某已经能够在家属的搀扶下正常下地行走,开心的他直呼太神奇了,“太感谢市中医院的医生了,是你们大年夜的辛苦付出让我重新站了起来!”
“很多人认为颈椎病无非是颈背疼痛,没什么了不起。其实,颈椎处于人体神经中枢的重要部位,有些病情严重或拖延过久的患者,可能引起严重后果。”孔维军介绍,在颈椎病中,以脊髓型颈椎病后果最为严重,它多发生于40岁以上患者,一旦确诊多数需手术治疗,主要表现为四肢无力、麻木,行走困难,易跌倒,脚有踩棉花之感觉,严重时可发生大小便功能障碍,甚至卧床不起生活不能自理。
脊髓型颈椎病是因为颈椎椎体和相邻软组织退化,造成对脊髓的直接压迫,加上剧烈的运动或长期的不良姿势等影响,导致脊髓受压或脊髓缺血,继而出现脊髓的功能障碍。
“脊髓型颈椎病具有很强的隐匿性,加上不同个体间差异较大,发病的表现也会很不一样,不容易被察觉。有些可能已经发展到很严重的程度,也只是有些手指麻木的轻微症状,加之多数患者对该病认识不足,都是瘫痪或是外伤导致骨折,才到医院就诊、接受手术。”孔维军表示。
来源 遵义市中医院
编辑 吴浩宇
二审 邱胜
三审 唐正平