西安网讯 (通讯员 *党**亚正 安萌)肺癌是源于肺部支气管黏膜或腺体的恶性肿瘤,发病率和死亡率增长最快,对人体健康和生命威胁最大的恶性肿瘤之一,而中晚期中央型肺癌在肺癌患者中的比例高达约75%,往往在发现时就已不具备手术条件,传统放疗有一定效果却难以达到局部根治,虽然伽马刀局部根治率高,但也仅限小于3cm的病灶,过大或处于超中央区都容易造成气管血管食管严重损伤,成为放射治疗的“禁区”。
面对这一难题,西京九八六医院肿瘤诊疗中心根据不同病灶特点,采用立体定向放射治疗(SBRT)和放化同步(CRT)治疗,为非手术患者带来希望,可达到等同于手术的局部根治效果。

西京医院放疗科赵丽娜主任在九八六医院查房
来自山西的患者陈先生今年3月突发咳嗽、痰中带血,入院ct检查后发现肿瘤处于肺门紧贴心脏及主动脉,手术风险很大。西京九八六医院肿瘤诊疗中心放疗团队经过讨论研究,考虑为他进行伽玛刀治疗,严格控制临近气管、大血管及心脏的放射剂量,提高病灶*伤杀**的同时,最大限度保护正常组织。目前,患者病灶全部消退,状况良好,在维持治疗和随访中。
治疗前后对比图:

图中提示左肺门鳞状细胞癌,治疗前病灶大小为4.1×3.8cm伴部分少量胸腔积液
治疗结束后2个月,复查病灶基本消退,积液消失

在确保肺组织安全同时提高肿瘤中央区的剂量,达到局部根治的效果
放疗作为肿瘤主要治疗方式之一,通过射线杀灭肿瘤,使不可手术的肿瘤得以控制甚至治愈,延长患者生命,改善患者生存质量。近年来,西京九八六医院肿瘤诊疗中心在中央型肺癌治疗取得了良好效果。
77岁的辛老先生咳嗽咳痰半年多,还出现偶发性咳血,来到九八六医院检查发现肺中心区域有肿瘤(中等),属于中期偏晚,后来病灶有所增大,进入心脏血管受压(流入心脏血液的血管被压),无法耐受化疗。放疗团队决定为其进行肺部原发病灶及区域淋巴结同步放化治疗(CRT),一个月后开始PD-L1免疫单药维持治疗,患者至今病灶全部消退,临床治愈。

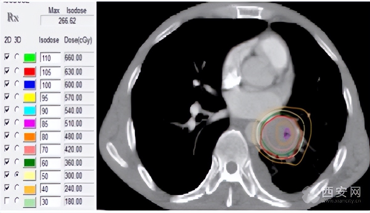
图1 调强适形放疗计划图显示右肺门病灶大小及放射治疗的范围和剂量分布。

图2 右肺门病灶治疗结束1月后复查,不同层次的CT显示病灶全部消退。
超级伽玛刀,是将头部伽玛刀和体部伽玛刀治疗系统整合一起,开发出具有世界领先水平的大型头体一体立体定向全身放射治疗设备。可无创治疗头部三叉神经痛、胶质瘤、脑膜瘤、听神经瘤、垂体瘤、颅咽管瘤等;对小于3cm的肺癌、肝癌、胰腺癌、肾上腺肿瘤、肾癌、纵隔肿瘤、腹膜后肿瘤及盆腔肿瘤可达到局部根治效果。对于大的甚至巨大的肿瘤,西京九八六医院肿瘤诊疗中心*党**亚正团队开发出“分区阶梯剂量”治疗模式,大幅提高了局部的控制率,该技术荣获2021年陕西省科技进步二等奖。2022年6月,他们又对设备及计划设计系统全面升级,尤其将多模态的影像提示的生物免疫信息融入计划设计中,对大病灶采用“分区阶梯剂量”治疗模式,在杀死癌灶的同时,可激活患者的抗癌能力,提高治疗效果。

西京医院放疗科石梅教授在九八六医院指导
为提升学科建设和诊疗水平,在空军军医大学和西京医院的指导帮带下,西京九八六医院积极推行融合强院战略,秉承院际融合理念,拓展学科建设思维、打破传统专业壁垒,率先成立西京九八六肿瘤诊疗中心,推进患者诊断、评估和治疗一体化,手术、免疫和放化疗一体化,医教研学科发展一体化。团队成员主要有:西京医院放疗科主任赵丽娜教授、MD.anderson癌症中心访问学者,师从国际肺癌立体定向治疗领军人张玉蛟(Joe. y.chang)教授,牵头成立*队军**第二家Ⅲ期肺癌多学科诊疗中心,在肺部肿瘤放射治疗方面有丰富的临床经验和学术造诣;九八六医院*党**亚正教授的放疗团队,长期从事肺部肿瘤的伽玛刀技术治疗研究,临床经验丰富;刘秦元教授的核医学团队,可提供精准的肺中央区影像,针对中央型肺癌发病率高,手术治疗难度大,老年患者早期不能耐受手术、中晚期不能手术的特点,开展精确放疗研究和临床实践;陆婉玲主任的肿瘤内科团队,结合靶向、化疗、免疫等疗法开展系列研究,可达到局部根治、全身控制的优化治疗,临床疗效明显。多学科团队相互协作,充分发挥各专科自身优势,将进一步提升我院肿瘤综合诊治水平,为肿瘤患者提供最优化的诊疗方案,达到最佳的临床疗效。