本文转自:环球科学
微信号:huanqiukexue

含糖饮料的危险,不仅是长胖这么简单。(图片来源:pixabay)
含糖饮料让人长胖,并且诱发一系列心血管疾病——糖对人体健康的多种危害已经深入人心。但刚刚发表在《科学》杂志上的一项研究却告诉我们,含糖饮料的危害远不止这么简单。每天摄入一定的高果糖玉米糖浆,在没有导致肥胖的情况下,也加速了小鼠肠道中的肿瘤生长与恶化。而试验中用到的高果糖玉米糖浆,正是多种含糖饮料的重要成分。
撰文 | 吴非
加速肿瘤生长
这项研究由贝勒医学院和康奈尔医学院共同完成,康奈尔医学院的Lewis Cantley与贝勒医学院的Jihye Yun是本文共同通讯作者。为了观察高果糖玉米糖浆对肿瘤生长的影响,研究人员敲除了一批小鼠的APC基因。APC基因是一类结直肠癌抑制基因,控制着肠道细胞的生长。APC基因被敲除后,小鼠正常的肠道细胞会失去控制、开始无限生长增殖,形成息肉,也就是良性的早期肿瘤。
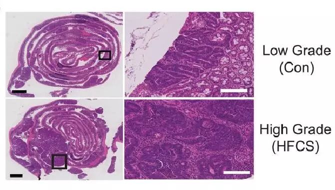
在随后的两个月内,研究人员每天向这些小鼠注射0.4毫升25%的玉米糖浆,这种糖浆中葡萄糖与果糖的比例为45:55。按体重换算,试验中的糖浆摄入量,相当于成年人每天喝一罐含糖饮料(例如可乐)。两个月后,研究人员发现,每天摄入的少量糖浆不足以导致小鼠肥胖或代谢紊乱,但相比于对照组,它们肠道内的肿瘤明显增大,且恶化程度更迅速。这意味着,长期摄入即使是少量的高果糖玉米糖浆,也加速了小鼠肠道肿瘤的发展。

实验组(右)的肿瘤大小明显超过对照组(左)
为什么试验中的玉米糖浆会与肿瘤生长扯上关系?研究团队在进一步分析中发现了其中的机制。
在这些“喝”了两个月糖浆的小鼠体内,研究人员发现,其肠腔内与血液中的葡萄糖、果糖含量均明显升高。对肿瘤细胞来说,葡萄糖不仅是重要的能量来源,还能直接指导脂肪酸的合成。而后者是肿瘤细胞构建细胞膜、信号分子的重要原料。

实验组(下)与对照组(上)肠道中的肿瘤生长情况
那么,果糖又对肿瘤细胞产生了怎样的影响?研究人员通过同位素示踪发现,肿瘤细胞中的一种果糖代谢酶(KHK)将果糖降解为果糖-1-磷酸。随后,果糖-1-磷酸可以通过进一步反应激活糖酵解过程,并为葡萄糖合成脂肪酸提供能量。
在进一步的研究中,研究人员分别敲除了小鼠中编码果糖代谢酶(KHK)与脂肪酸合成酶(FASN)的基因。这时,小鼠尽管缺少了APC基因,但它们在被长期注射玉米糖浆后,肿瘤生长并没有加速。这意味着,果糖被肠道中的肿瘤细胞用作“燃料”、加速生长。而抑制果糖代谢或脂肪酸合成过程,都能有效控制肿瘤的发展。
危险的含糖饮料
上世纪70年代的美国,高果糖玉米糖浆开始进入食品市场。其最初、也是最主要的使用场合,就是用作含糖饮料的甜味剂。1984年,两大可乐品牌相继用玉米糖浆完全取代了白砂糖。此后,玉米糖浆在多种饮料,以及果冻、果酱、面包、蛋糕等食品中广泛使用。(小编在楼下超市随机翻看了20种主流含糖饮料的标签,其中14种都用到了高果糖玉米糖浆。)

(图片来源:pixabay)
这些含糖饮料是否会加速人体肿瘤的发展,目前还难以断定。毕竟这项研究只是小鼠试验,我们需要更多的研究来证实,这一结论对人类是否具有普适性。一旦成立,它不仅会对我们的饮食选择造成深远影响,还可能为近年来结直肠癌发病率的上升提供新的解释。肠道息肉在中青年人群中并不罕见。正常情况下,肠道息肉需要二三十年才可能发展成恶性肿瘤。而随着含量饮料的长期摄入,这一癌变周期可能会大幅缩短。长期饮用含糖饮料,可能是饮食结构变化之外,结直肠癌发病率上升的另一个原因。
不过,这项研究带来的不仅是坏消息,它还有可能为癌症治疗提供新的思路。此前,一些人提出,可以通过减少葡萄糖摄入来“饿”死肿瘤细胞。但问题是,葡萄糖对人体活动来说同样是必需的,可能肿瘤细胞还没饿死,人就先倒下了。“与葡萄糖不同,果糖不是生存与维持正常细胞生长的必需品。因此,对果糖代谢的研究有可能带来新的治疗手段。”Jihye Yun解释道。论文也指出,抑制果糖代谢酶或GLUT5(一种葡萄糖转运蛋白),或许能选择性地抑制肠道肿瘤细胞的生长。
但无论如何,考虑到肥胖、心血管疾病以及潜在的癌症风险,我们都有无数多的理由少喝含糖饮料。
写完文章,小编被饮料的危害吓了个半死,于是去楼下超市买了瓶最爱的XX可乐压压惊。毕竟,对肥宅来说,快乐就完事了。(*╹▽╹*)
原始论文:
High-fructose corn syrup enhances intestinal tumor growth in mice
DOI: 10.1126/science.aat8515