不知道大家有没有这样的经历,平时刷牙吃东西的时候挺正常的,就是偶尔用力一吸牙龈就出血,然后“一口老血”吐出来,血红的一滩看起来还怪吓人。

不仅如此,还常常伴有口臭的症状,虽然最近大家都戴口罩,别人闻不到,但是自己却被熏的够呛。如果你也出现过以上情况,那么很可能是患了牙龈炎!
牙龈为什么发炎?

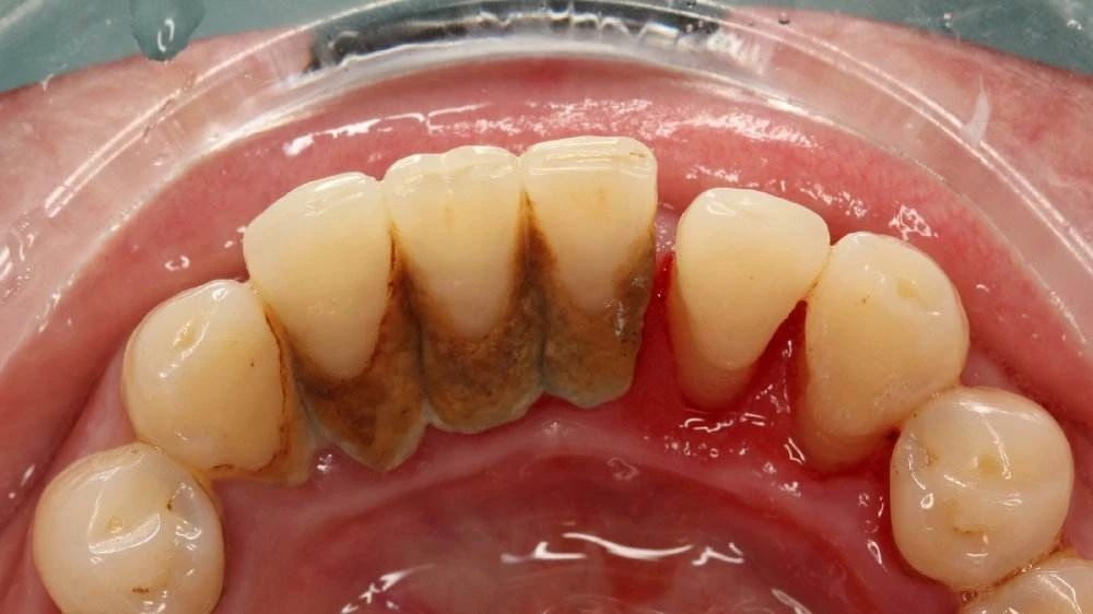
如果你在吮吸、刷牙、咀嚼较硬的食物时出现牙龈出血,那么可以初步考虑为牙龈炎了。牙龈出血正是因为牙龈下有炎症导致的,牙龈发炎的主要因素就是食物残渣残留在牙缝间,平时清洁不到位,时间一长就形成了更难清洁的牙结石,从而给细菌提供了最佳的环境,牙龈组织受细菌感染发生炎症,随后就会有出血的表现。
牙龈出血的根本原因

牙龈出血的根本原因实际上是牙龈发生轻微的萎缩。当口腔中的牙菌斑在牙齿表面形成后,如果不及时清除,便会沉积越厚,最后形成牙结石,而一些较硬的牙结石对牙龈长期产生刺激作用。当正常的牙龈受到炎症的刺激,牙龈的毛细血管增多,开始充血,牙龈颜色随之变暗,一旦受到刺激,就很容易出血。
牙龈炎根本不用管?

很多朋友可能还不知道,牙龈炎其实是牙周炎的早期表现,如果长时间不清除牙齿里的牙结石,缓解牙龈的炎症,就容易演变成牙周炎。牙周炎的危害就不用小编多说了吧,搞不好可能连牙齿都保不住,所以症状还不严重的朋友们,疫情后赶紧去正规口腔医疗机构检查处理下。
温馨提示
如果牙龈出血有一段时间,建议到正规口腔医疗机构具体检查下,确诊为牙龈炎可以口服维生素C和人工牛黄甲硝唑胶囊治疗,此外还应该定期进行洁治处理,清除掉牙齿上的牙结石,缓解出血症状,平时注意饮食清淡,避免辛辣刺激食物和饮酒。
另外,由于疫情特殊时期,洗牙又是一种特殊的操作,很多口腔门诊暂时还不开展洗牙项目,所以建议出血症状较轻的患者可延后就诊,如果症状较重,让医生结合实际情况进行斟酌处理,待疫情后再进行洁治。今天就分享到这儿了,如果还有更多牙齿相关的问题,欢迎后台咨询~
齐心抗疫,与你同在~
【本文来源子和口腔官方公众号:cdzhkq】