
这是 达医晓护的第2320 篇文章

对大多数孩子而言,到了换牙的年纪,乳牙脱落,恒牙萌出,不过是一件司空见惯的小事。运气稍差点的,也无非就是出牙晚点,或者牙齿长歪了。但不管怎么说,留得青山在不愁没柴烧,有牙,一切都好办!
然而对有些孩子来讲,换牙之路真的就太不顺利了。不但乳牙没有按时脱落,而且恒牙也迟迟不肯露面。家长本想去医院寻求一个解决办法,得到的却是令人猝不及防的真相——孩子的X线片(全景片)清晰地显示,颌骨里竟然少了几颗牙齿。

凭空“人间蒸发”的那些牙齿去了哪里?牙齿“失踪”之谜又该如何破解?
“失踪”牙齿去哪了
人们都知道,要想生娃,得先怀胎。同理,要有牙,也得先有牙齿的胚胎——牙胚。人的胚胎是在母亲的子宫里发育,而牙胚则是在颌骨里发育。

失踪的牙齿其实是“未曾有过”,因为颌骨里根本没有牙胚。没有牙胚,又如何长得出牙齿呢?这个答案是不是既在意料之外,又在情理之中呢?
牙齿“失踪”为哪般
牙齿失踪是因为发生了“少牙”。少牙属于牙齿发育异常中牙齿数目异常的一种类型。
在牙齿发育过程中,可能出现很多种异常情况。这些异常既可以表现为萌出时间的异常,也可以表现为牙齿数目的异常,甚至还有牙齿形态和结构的异常。
牙齿数目的异常,也就是与正常牙数相比非多即少。而少于正常牙数的情况,又有2种不同的程度表现,即“少牙”和“无牙”。“少牙”一般表现为缺少一颗或几颗牙齿,症状较轻;“无牙”则通常表现为缺少半口或全口牙齿,危害较大。
牙齿“失踪”不少见
其实,生活中存在“少牙”情况的人并不少见,只是因为缺牙的数目不多或者位置不太要紧,对生活影响较小,因而被人们忽略了。很多牙齿都可以发生“少牙”现象,尤其是恒牙。
最常见的“少牙”,就是那个令人头痛的“智齿”。由于智齿是退化牙,对正常咬合的贡献几乎可以忽略不计,所以缺少智齿已经被视为正常了。
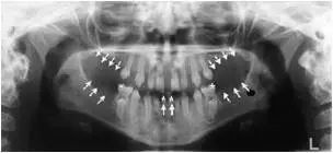
除智齿外,较易缺少的牙齿是上颌侧切牙,就是紧挨着正中门牙、和正中门牙相似但个头较小的那颗牙齿。侧切牙可以是双侧缺失,也可以是单侧缺失。后一种情况必然使得牙列分布呈现不对称性,最终造成牙列中线发生偏移,即左右门牙之间的牙缝偏向一侧。

箭头所示为双侧上颌侧切牙缺失
不过这些都是小意思,最要命的是“无牙”。“无牙”患者,不仅有半口牙或全口牙缺失的问题,而且还可能有身体其他方面的问题,比如汗腺缺乏。此时的病因是X染色体隐性遗传。

值得注意是,乳牙很少发生“少牙”现象,因此恒牙发生“少牙”很难预知。不过如果乳牙期即发生少牙,恒牙一般也在劫难逃。
遇到“少牙”怎么办
恒牙没有按时间长出来,究竟是因为萌出阻力太大,还是因为颌骨里压根就没有牙,影像学检查可以一锤定音!
“少牙”也属于牙列缺损和缺失的一种情况,只不过是由于先天性的原因罢了。缺少的牙齿,医生也没有办法让它长出来,只能通过人工手段(修复治疗)加以弥补了。
与后天原因(非发育性因素)相比,少牙导致的牙列缺损和缺失更易造成颌骨的发育异常(正常情况下,牙齿萌出以后可以通过行使咀嚼功能发挥促进颌骨发育的作用,但显然假牙很难发挥与真牙一样的功能),这一点切莫被忽视。
今天牙齿“失踪”之谜就破解到这,正所谓牙齿失踪不是谜,牙胚缺少是前提,长牙有难也有易,有牙更该去珍惜。
作者:上海市卫生和健康发展研究中心
富饶
这些口腔疾病,居然“偏爱”女性!
慧眼识 “艾”情,让您见识牙医的“另一面”!
“小鲜肉”受欢迎,连牙齿里都有?
蛀牙治疗有原则,您误解过吗?

部分图片摘自网络,如有侵权请告知,予以删除。
所有人名和地名均为化名,如有雷同,纯属巧合。