
介入栓塞联合靶免治疗
TACE是中晚期HCC的常用局部治疗手段,通过栓塞肿瘤的肝动脉血供来阻断肿瘤的营养物质,同时注入化疗药物以达到肿瘤坏死、体积缩小。免疫+靶向治疗时代下的肝癌该如何治疗?

但是单用TACE治疗有一定的局限性,对HCC整体转化效率有限。随着免疫治疗的兴起,已经有不少临床研究报道显示:TACE联合免疫治疗后作为一线治疗中晚期HCC,有望进一步提升临床疗效,且安全性可靠。同时已有多项相关临床试验正对其疗效进一步确认!因此,通过联合治疗方式可能更好地提高中晚期HCC的生存率,并显示出靶免联合介入治疗广阔的应用前景。

一线靶免治疗方案
- 免疫治疗联合抗血管生成药物:阿替利珠单抗联合贝伐珠单抗中位总生存期(mOS)可达到 19.2 个月,中位疾病无进展生存期(mPFS)达到6.9个月,客观缓解率(ORR)为30%。该方案作为一线治疗方案得到国际上各个专家共识或指南的认可与推荐!在中国亚组人群更具疗效优势,联合治疗组OS达到24个月!2023年肝细胞癌免疫联合治疗进展

一线免疫+靶向治疗方案
经典病例介绍
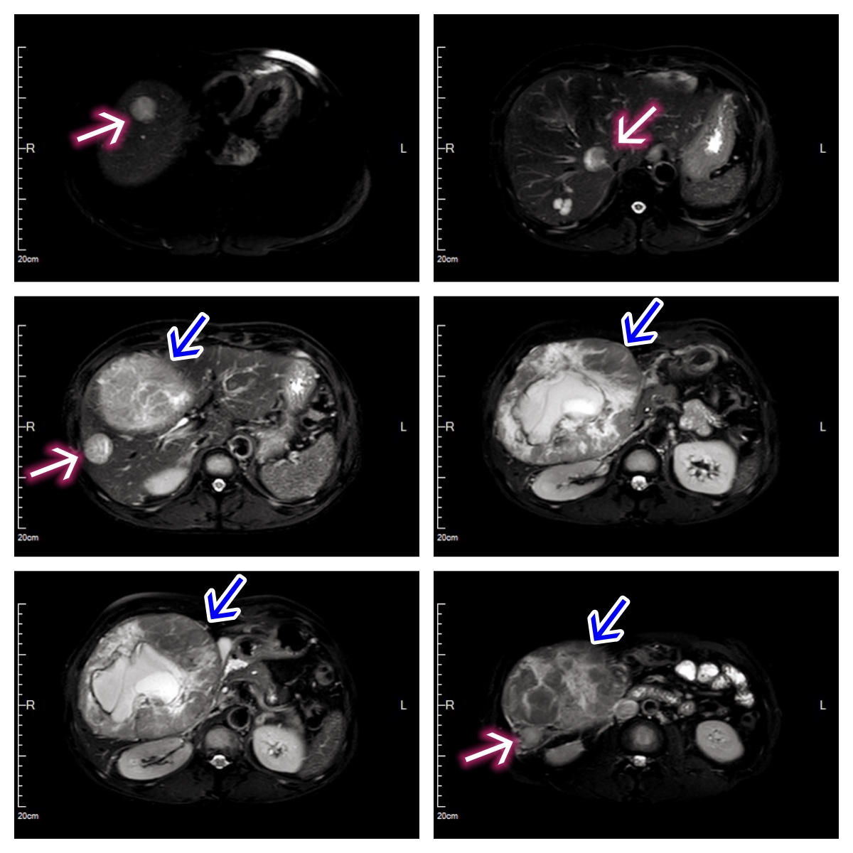
中年男性,右腹部胀痛3月余。MRI检查提示右肝巨块型肝癌并肝内多发子灶(4个),同时合并多发骨转移瘤。临床诊断分期:肝细胞癌(Ⅳ期)

MRI横断面

MRI冠状位
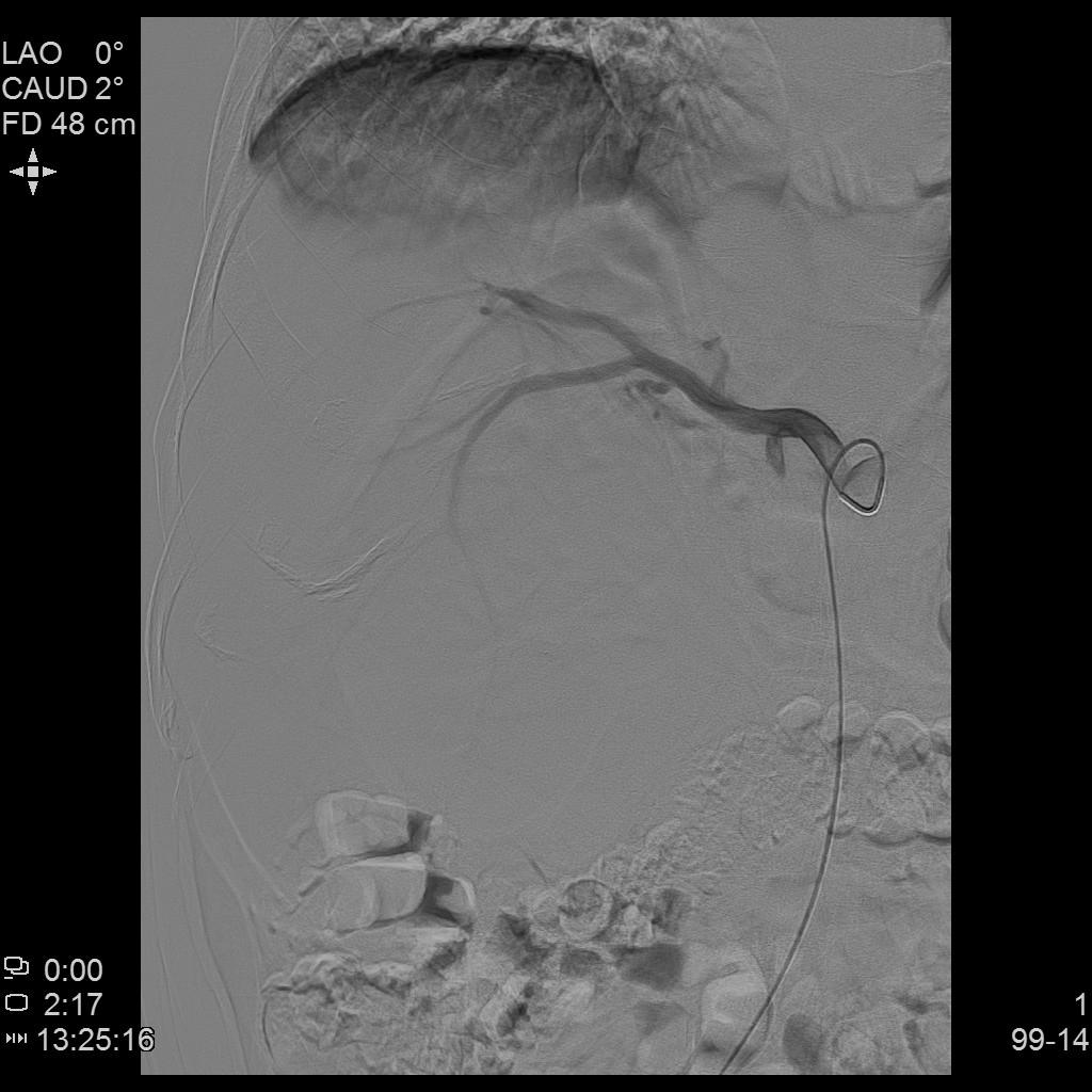
治疗方案:免疫+靶向药物治疗(T+A方案),同时配合局部肝脏介入治疗以一进步提升肝脏病灶控制率。
- TACE:考虑肝脏病灶巨大,分次栓塞治疗以提高患者耐受性及安全性。采用碘油栓塞联合载药微球栓塞肝内病灶。原发性肝癌介入栓塞利器——载药微球栓塞治疗(D-TACE)

DSA1

DSA2

DSA3
患者通过靶免联合介入治疗快速有效控制病情,方可能转化为生存期的有效延长!

欢迎关注与点赞,更多肝癌微创介入治疗干货等你哦!