俗话说
“嘴上没毛、办事不牢”
但这“毛”要是长在了腰背上
你可要担心了
你的身体可能出现问题了!

福州男子小郭
就出现了这样的状况
赶快跟着福小卫来看看
到底是什么情况

40多岁的福州男子小郭,5年前突然感觉双腿麻木,原先一直以为是腰椎间盘突出引起的症状,没做任何系统的检查,依靠推拿、按摩等保守治疗方法,几年下来效果时好时坏。
不料,今年年初以来,小郭的症状加重了,下肢疼痛加剧,走路一条腿力量弱,肌肉出现萎缩。
这下,小郭心里发毛,来到福州市第二医院神经外科就诊,接诊的是神经外科主任医师刘盛泽。
“经过检查发现,他的腰背部有一撮浓密毛发,这个体征表象,通常是提示患脊髓栓系综合征的可能性较大。”刘盛泽说。

原来从小就长在小郭后腰上的一撮毛发竟然早已提示了病情,而他却多年没有关注。
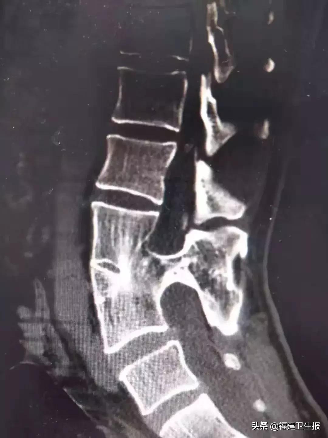
通过CT和MR检查,清晰发现小郭不仅患有脊髓栓系综合征,同时还合并有脊髓分裂症。
脊髓栓系和脊髓分裂症通常都是幼儿时期就出现症状并得到治疗,一个成年人同时出现这两种疾病临床上极其少见。

刘盛泽解释,脊髓栓系综合征患者幼年通常出现尿床、行走障碍、下肢肌肉萎缩甚至畸形等症状,并且会随着年龄增长而病情加重,加上背部通常伴随丛生毛发,因此很容易被发现并得到治疗,只有很少数患者由于症状轻微不易察觉才会没有及时进行综合诊治直到成年症状加重才去诊治。

出现脊髓栓系综合征六大症状要注意
1.疼痛:通常是腰骶部痛比下肢常见,疼痛局限于腰背部、腹股沟、会阴区和臀部,有时可以放射至下肢,腰骶部的活动尤其是屈伸运动将会使这些症状加剧。
2.感觉运动障碍:下肢运动障碍,表现为进行性下肢无力和步行困难;感觉障碍,表现为鞍区即骶尾部麻木及感觉减退。
3.泌尿系症状:表现为紧张性、充盈性尿*禁失**,尿频,残余尿增多并引起反复尿路感染。
4.直肠功能障碍:结肠、直肠蠕动功能减弱,失去正常的排便反射;表现为便秘,排便困难。
5.肢体畸形:常见的脊柱畸形有脊柱侧凸和脊柱过度前凸;下肢畸形,可见锤状趾、高弓足、马蹄足、足内翻。
6.腰骶部皮肤异常:患者常常会出现局部皮肤凹陷、毛发丛生、皮下脂肪瘤、色素沉着及皮肤血管瘤,神经营养性溃疡罕见等。
此外,小郭还同时患有成年人中较少见的脊髓分裂症。刘盛泽说,这类患者通常在胚胎时期就出现脊髓或者椎管发育畸形,病情随着年龄增长而发展,脊髓逐渐被分裂成两半。
随后,在给小郭的手术中印证了他的看法,术中发现,小郭椎管中的畸形骨片把脊髓分裂成2瓣,并把脊髓神经挤压成薄片状。正常椎管内径约2厘米,骨片已经占据椎管1.3厘米。

3节椎骨畸形、异常骨片导致脊髓分裂
“这一段的脊髓被骨片压迫成扁平状,一旦骨片继续生长甚至完全阻断椎管,患者随时会出现瘫痪症状并无法逆转。”幸得手术及时,小郭术后症状消失,恢复良好,十天左右即出院回家。
他提醒,出现腿部麻木,行走困难症状的原因比较复杂,切不可单纯误以为是腰椎间盘突出问题,而应该进行系统的检查,明确病因,避免误诊漏诊。
END
编辑:乔一
福建卫生报记者:张帅
通讯员:朱玉