不要总认为,做了烤瓷牙就能一劳永逸,尤其是过去几年做了烤瓷牙的朋友,要知道那时的材料大多是金属内冠,再加上技术可能不完善,在使用的过程中很容易出现问题。在这里真诚建议大家,当你的烤瓷牙出现以下一系列问题时,千万别犹豫,尽快去口腔医疗机构拆除。
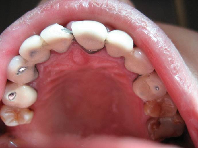
引起牙龈黑线

引起牙龈黑线的,这也是佩戴烤瓷牙后最常出现的情况。其因价格低廉在一定时间段曾备受欢迎,但是在长期佩戴的过程中会出现牙龈发黑的现象。这是因为非贵金属烤瓷牙在口腔内氧化成灰色氧化物,时间久了沉淀于牙龈,造成牙龈黑线,此时若不赶快拆除,很容易出现牙龈炎,牙周炎甚至牙齿脱落。
烤瓷牙崩瓷

一般崩瓷都是由于意外,比如不小心磕到一个米饭里的小沙粒,还有就是本身比较爱咬硬的东西,如蟹壳,花生,长期在这种咀嚼作用力下,崩瓷的几率会比较高。另外就是有些人晚上爱磨牙,夜磨牙会对瓷层有一定的作用力,长期持续下去,会导致牙齿崩瓷。
烤瓷牙崩了会怎么样呢?要知道崩瓷边缘较尖锐,会造成舌头,唇部粘膜创伤,而且崩瓷后金属会外露,在长时间的食物摩擦及唾液的作用下更会发生化学反应。所以,面对以上症状,最好的解决之道就一个字——拆!
未治疗好牙周疾病的情况下

一些牙医和患者在做烤瓷牙的时候比较着急,对于牙龈牙周没有一个详尽的评估,比如本身有牙龈炎症,牙龈红肿,萎缩等情况,这些病症若没有得到治疗就安装烤瓷牙很容易引发一系列问题,这时为了避免引起身体的更多不适,应马上去拆除!
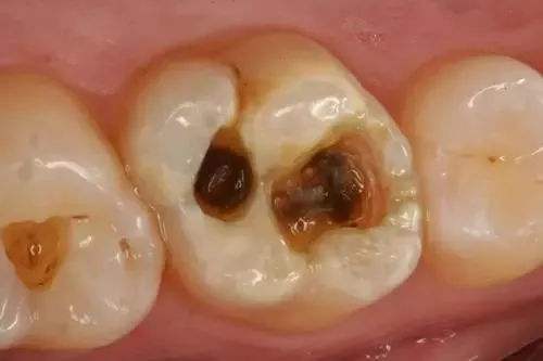
引起真牙蛀牙的

如若医生备牙不合格,牙齿模型不够精致,烤瓷牙加工技术又不到位,佩戴后可能会出现边缘不密合的情况,这时便会给细菌提供繁殖的温床,这些细菌进入牙冠后又出不来,我们就只能眼睁睁的看着牙齿慢慢被“腐蚀”最后“溃烂”,岂不是得不偿失,赔了夫人又折兵。所以,遇到此种情况,一定要尽快拆除!
牙体准备失败

医生不懂如何磨牙该怎么办呢?也需做许多颗烤瓷牙?将你的牙齿磨的像锥形牙,老鼠牙,甚至牙髓外露,还得做根管治疗,这样做下来,一般人都会疼的难以忍受,而且烤瓷牙在老鼠牙上戴不住,会反复脱落,这又该如何解决呢?全部连起来?!结果好好的牙磨没了,烤瓷牙还总会掉,你说这还能不拆除吗?
烤瓷牙重做会伤害真牙吗?

重做烤瓷牙之前需要检查,看看基牙是否完好,需不需要再做休整,然后再按照之前所做烤瓷牙的方法取模等待重装。如果出现了上述的这些问题,一定要抓紧时间看医生,尽快更换新的烤瓷牙。在医生技术有保障的情况下,个人建议选择全瓷牙,如若经济不允许,就建议选择性价比较高的贵金属烤瓷牙,当然后期的保养也非常重要。
所以在做烤瓷牙前一定要考虑全面,也要明白烤瓷牙并非随便做的,并不是什么问题都可以用烤瓷牙来解决,如果使用不当必然会带来不良后果。
文中图片均来源于网络,如有侵权,请联系朗朗口腔予以删除。
现在关注【朗朗口腔】可以免费获取更多的口腔知识!