作者:郑于臻
我是一个医生,主业是治肺癌。
今天我正在办公室看书,规培生小A风风火火闯了进来,道,“郑老师,你好像很久没带我做病例讨论了”
气氛略尴尬,我咳嗽了一声,搜罗了一下住院患者,道“好,今天给你讲一例我们最近做的患者”
小A道,“哦,他有什么特殊的呢?”
郑医生故作神秘道,“恩,因为这个病人的心肺功能太不给力了”
1、基本情况及第一次术前评估
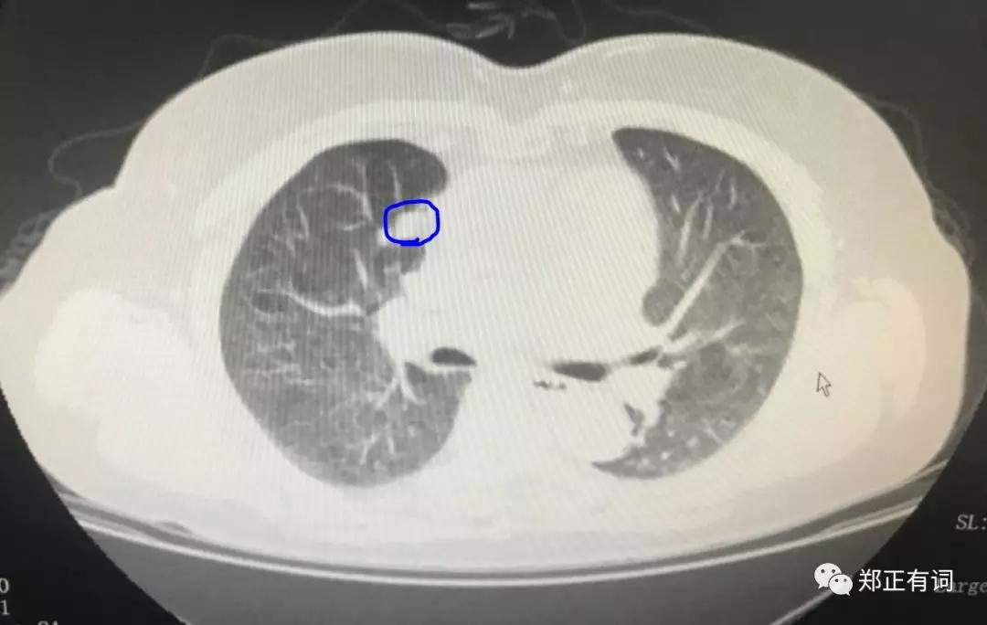
这是一个海南籍的病友,听说广医肿瘤看肺癌不错,就经由熟人介绍过来求诊。入院以后完善CT检查,发现这个病人右上肺近纵隔面存在一个最大径约16mm的实性结节;

而与此同时,右上肺尖段还有一个混合实性结节,疑似恶性。

入院后积极完善相关检查,未见明显转移征象,妥妥的可手术切除适应症。但与此同时,我们又发现了一些问题。
问题一:患者合并高血压心脏病。

在术前检查过程中,我们发现患者的心胸比例异常,在平片上可见靴形心的典型影像学表现,而这正是高血压心脏病的典型表现。
而患者长年高血压病史(十余年)及密集的高血压家族史(多位直系亲属罹患),也进一步支持了这种判断。
因此,尽管其自诊断之日开始就积极口服多联降压药控制血压,但有理由相信,患者应该在更早的时间内就发生了高血压,只是自己不知道罢了,而心脏也在这个漫长的过程中,发生了心肌重构,即左心室肥大,并产生了靴形心的典型表现。
但在心脏彩超中,则未见明显的收缩功能异常(射血分数 65%)。
小A道,“恩,心肌重构,但心脏彩超射血分数异常,如何理解呢?”
郑医生道,“可以理解为,心肌代偿性扩大,还处于代偿阶段”
即心肌收缩力正常,但储备能力下降的一个阶段

问题二:患者合并肺弥散功能异常。
围手术期检查过程中发现,患者肺通气功能正常,FEV1 2.3L,占预计值114.6%;但在接受血气分析的时候发现,氧分压比较低,不吸氧状态下仅仅为 68.1mmHg,而即便在吸氧3L/min 3h以后,氧分压也仅仅升到了75.5mmHg。这说明患者肺组织弥散功能较差,影响了氧气的交换。
基于此,在赵健教授的主持下,全科进行了病情讨论。考虑到患者能登5层楼,尽管合并一些基础疾病,但应该可以耐受手术。最终,在2019-8-20第一次推进了手术室。
但在诱导麻醉以后,患者出现心率下降,且经异丙肾上腺素无明显好转。
最终,没有接受手术治疗。
2、还有问题没有发现?
小A懵懂,"恩?这个患者心脏还有别的问题呢?"
“Bingo~这个病人还有合并窦房结功能异常”
窦房结系心脏自动节律性最高的起搏点。位于右心房上部,靠近右心房与上腔静脉交界处终沟的心外膜下,呈马蹄状,全长约15mm,宽约5mm,厚约2mm。窦房结中含有许多具有自动节律性的细胞,称为起搏细胞。
如它发生病变,可使心率发生改变,叫窦性心率失常。临床常见有窦性心率过速、窦性心率过缓、窦性心律不齐。
患者初诊心电图提示窦缓(50次/分),同时合并频发室早。

24小时动态心电图示全天室早仅631次,属于可接受的范围。

阿托品试验(+),2mg 阿托品注射后,心率升至90次/分,也达到了及格线。

阿托品试验是鉴别病态窦房结综合征(Sicksinus-syndrome, SSS)的常用方法之一,首先描计心电图作为对照,然后静注阿托品1.5-2mg,注射后即刻1、2、3、5、10、15、20min分别描计一次Ⅱ导联心电图。
用于窦房结功能测定:如窦性心律不能增快到90次/分和(或)出现窦房阻滞、交界区性心律、室上性心动过速为阳性;如窦性心律大于90次/分为阴性,多为迷走神经功能亢进所致。
小A问道,"郑老师,这个病人不是阿托品有反应呢?怎么说是窦房结功能低下呢?"
“恩,这个问题问得好”
临床有很多东西是难以用教条化的标准来衡量的,必须有更多的思考才行。
这个患者注射阿托品2mg后,心率最高只达到了90次/分,而没有更高,属于一种边界性的状态,即“窦房结功能边界性地好于不及格或边界性地差于及格”;
而在此基础上,患者出现术中对异丙肾上腺素无有效反应,因此我们认为其窦房结功能低下。
3、手术,做还是不做?
紧接着,我们犹豫了。
一方面,肺部病灶临床评估恶性可能性大,且临床评估未见明显肿大淋巴结,手术获益较大;
另一方面,患者检查中反应出来的高血压心脏病、心脏节律异常以及肺弥散功能异常,都让这个患者的手术风险大大增高
手术,做还是不做?
4、慎重抉择
为此,我们再次把麻醉科、重症监护室主任请来,在科室内进行多学科会诊。
考虑到以下因素,认为尽管手术风险较大,但依然可以尝试进行:
1. 患者尽管出现了心肌重构,但射血分数尚可;
2. 患者尽管血气不佳,但登楼可上5楼,心肺联合评估过关,也提示患者可能在长期的过程中,已经逐渐耐受了这个相对乏氧的内环境;
3. 患者尽管节律异常,但可以通过放置临时起搏器纠正。
而同时,患者家属的态度也给了我们莫大的信心和勇气。
“医生,我们想做手术,接受风险,也相信你们”
5、二次手术
第二次手术,终于在2019.8.22,由廖洪映主任主刀进行。
廖主任在患者的右上肺叶中找到了术前提到的两枚结节,经诊断均为恶性,因此,予以标准的右上肺叶切除及纵隔淋巴结清扫术,手术十分顺利。

术后的石蜡病理也进一步证实手术的必要性和有效性。
手术清扫淋巴结34枚,其中,纵隔清扫达29枚!
全部阴性,没有一枚转移~

意外的是,麻醉过程中并没有出现意料中的心率下降,也就没有放置临时起搏器。
但术中因为氧合不佳的问题,曾一度中断三次给予双肺通气。
术后考虑围手术期风险较大,转入ICU留观了两天,然后转回普通病房。
7、术后管理
小A道,“郑老师,这个病人这么特殊,那么她的术后管理又应该如何进行呢?”
郑医生非常兴奋,小A,这就是今天郑老师想跟你分享的重要话题,即面对这么一个高血压心脏病+肺弥散功能异常+心脏节律异常的术后患者,我们应该如何管理。
当初这个患者转回普通病房后,考虑到术中未见的心脏异常表现,郑医生也曾鼓励过患者下地活动,以期达到快速康复的目的。
尽管初期患者未诉明显不适,但在转回病房后第二天,患者洗澡后出现心慌不适,床边心监见心率绝对不齐、脉搏短绌,符合房颤表现。
自此,郑医生意识到,需要调整管理策略了。
病情上,患者是心肺功能都不太好的典型。
心功能不太好。
一边是高血压心脏病,一边是心肌节律紊乱。
肺功能不太好,则主要体现在弥散功能方面。
临床心肺不分家,
即心功能影响肺功能,肺功能又会反过来影响心功能。
举个简单的例子,
心脏和肺,就像汽车的两个发动机,
虽然都不太好,但是日常生活够用,没出什么毛病;
但是一旦要跑拉力赛(做手术),那出问题是迟早的事。
对此,我们调整了相应的管理策略,
从快速康复转向稳步恢复,
相应的举措也调整为“制动、控压、排痰、保心”四大方面。
1. 制动。
既然心功能不好,那就按心衰来处理了。
床上制动是不可缺少的。
另一方面,就是进行积极的宣教,包括保持大便通畅,不可用力排便等。
总而言之一句话,就是避免一切可能引发心肌负荷加大的因素。

2. 控压。
在双联降压药下,术后血压一直稳定在稍高于正常水平的水平线,收缩压约150mmHg,舒张压90mmHg水平。
一般而言,长年高血压导致心脏病的患者, 血压不宜降得太低, 控制在略高水平有助于保证组织的有效灌注
3.排痰。
这点患者一直做的都比较好。
郑医生管理患者有一个习惯。
就是每个待术的患者,在初入院时就会让他关注我的公众号“郑正有词”,并强烈推荐《肺癌术后恢复好,什么东西不可少?》给病人本人及陪护家属阅读。
为的就是在实现在价值观上对术后排痰的高度重视,
观察至今,效果满意。
不得不说,术后患者不绝于耳的咳嗽排痰声,
让人听起来极度舒适与安心。
4.保心。
一般而言,针对心脏的各种疾患,我们有诸如西地兰、洋地黄、胺碘酮、硝酸异山梨酯、极化液等多种选择。
小A打断我的思路,道“对呀,这种情况,我们又应该选择哪种药物呢?”
郑医生扶了扶眼睛,道,“我们在这个病人,选择的是极化液为主,胺碘酮为辅的保心策略”
西地兰增强心肌收缩力,强心;
地高辛增强心肌收缩力,却又会减慢房室传导;
硝酸异山梨酯,松弛血管平滑肌,减少前后负荷;
胺碘酮,减慢房室传导,抗心律失常。
而极化液,也就是葡萄糖、胰岛素和氯化钾混合液,其中,胰岛素会促进心肌细胞摄入葡萄糖,提高心肌功能,有助于心肌功能;同时极化液中含有氯化钾,有助于钾离子回流入细胞内,从而促进心肌从去极化的状态恢复为极化状态,对保护缺血损伤的心肌、改善窦房和房室传导,防止心律失常均有一定疗效。
这个患者,窦房结功能低下,因此地高辛、胺碘酮使用需谨慎;
虽然高血压心脏病,但射血能力正常,年龄也不大,强心处理也可酌情使用。
在这种情况下,我们选择了极化液作为我们的主要保心手段。
胺碘酮仅仅在出现了室上性心律失常的情况下,短期内静脉使用。
最终,实现了患者的稳步恢复。

#健康科普排位赛# #医师报超能团# #超能健康团#