
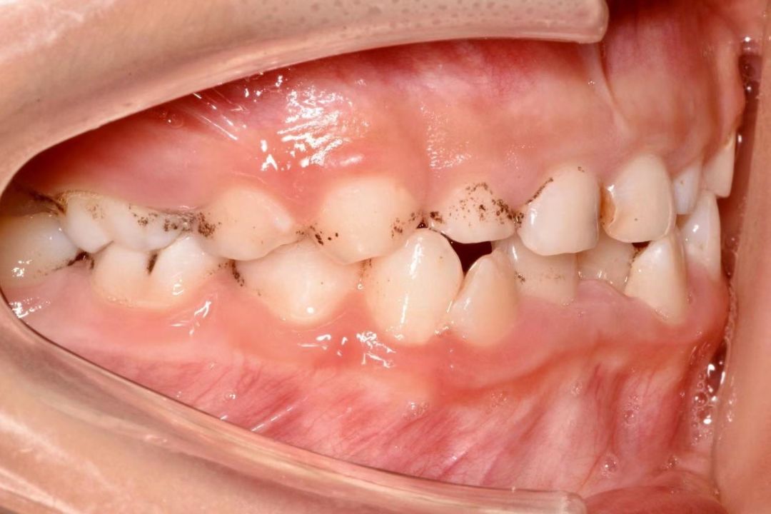
有牙科知识的人知道这个孩子的牙齿怎么了吗?龋齿?牙渍? ...
许多父母一定遇到了这个问题会感到困惑。既然如此,今天就详细的给大家答复。
儿牙上的这些黑色东西实际上是“色素”。儿童通常为2-6岁,牙齿会开始积聚许多柔软的污垢和色素。如果不加以检查,它将发展成龋齿,并威胁儿童的口腔健康。
什么是色素沉着?
如下图所示,黄色部分是软垢,黑色部分是色素,这种叫色素沉淀。


儿童牙齿的表面不光滑,食物残渣和色素很容易沉积在牙齿不光滑的凹槽中。传统的刷牙无法清洁这些残留的色素。随着时间的流逝,这些黑色(黄色)斑点就会一直在牙齿上,变成除不去的黑色素。
龋齿和黑色素沉积是如此相似,应该如何区分两者?
关键是要看污垢和牙菌斑是否损坏牙齿主体并腐蚀牙齿内部。
◎龋齿:牙菌斑腐蚀牙齿,保护层受损,牙齿受损。
◎色素沉积:仅在牙齿表面形成污垢,保护层未被破坏。

尽管色素沉积不是蛀牙,但两者之间却是渐进的关系。色素牙垢中有细菌,如果不加以检查,极易引起龋齿。
是什么造成色素沉积?
-
饮食结构,经常食用有色食品或饮料
食物色素,糖和牙齿之间的接触时间越长,就越容易引起色素沉着。儿童不对蛋糕,糖果,饮料等甜食保持克制,不注意清洁口腔,则很容易导致色素沉着和软残留。

-
刷牙习惯,不认真或错误刷牙
当儿童的乳牙或尚未长出的牙齿时,他们必须在饭后漱口或刷牙。不认真的刷牙习惯会导致进食后,食物中的色素长时间黏附在牙面,容易滋生细菌和黑色素。
-
病因,食用色素药物,例如中药,铁补充剂等。
由于身体和营养方面的原因,儿童摄入色素药物,形成易于形成色素沉淀并产生黑色素的微生物环境。
如何去除或避免这些黑色素?
-
儿童洗牙
不要以为只有成年人才能洗牙,孩子也可以的。
在美国,三岁左右的儿童(当儿童可以配合牙医治疗时)已经开始坚持每六个月定期洗牙,但是儿童洗牙和成年洗牙有所不同。

孩子们应该如何洗牙?
2-6岁的儿童很少结石,只有柔软的污垢和色素,牙医会使用非常柔软的低速刷子或抛光方法清除牙齿,然后使用牙线清洁每个孩子的牙齿。

所谓的打磨,是使用带有儿童喜爱的水果味抛光膏的软橡胶杯对牙齿表面进行打磨,以去除牙齿上的软污垢和色素,从而达到保护牙齿的目的。
-
裂隙封闭
儿童牙齿表面有许多细小的裂纹和裂缝,很容易掩盖污垢和污垢,很难彻底清洁牙齿。
窝沟封闭的原理它是对人体无害的一种树脂。就像在固化后在牙齿上穿保护层一样。防止黑色素过多沉积,从而导致牙菌斑和龋齿不断腐蚀。

-
氟防护
乳牙釉质的矿化程度低,对黑色素沉积的防御能力弱。您可以带您的孩子去看牙医,在牙齿上涂上保护性的氟化物涂料,以抵抗“糖衣弹”的威胁。

结束语
只要记得定期检查,及早预防和及早治疗,就可以保持孩子的牙齿健康,不必为此担心。现代医疗技术更加人性化,牙科也不如想象的那么糟糕。儿童可以轻松,舒适地完成诊断和治疗。