近期遇到的一例乳头湿疹样癌,分享给大家。
5月2日,医院正常上班。早上刚到科室,便有一对中年夫妇等我切片会诊,说是本地一皮肤病诊所的马姓老医生让找我的。马老医生我认识多年了,一直坚持自己看皮肤切片,80多岁了,虽已退休,仍在岗位上发挥余热,偶尔会找我看些皮肤切片。
接过切片,镜下观察,同时询问夫妇二人,了解了整个就医过程。病人王女士,54岁,三年前发现右乳头有皮疹,瘙痒,有破溃,反复结痂,脱落,破溃,用过药膏,不见好转,曾多次到外地医院找专家看过,说是乳头湿疹,因反复不愈,范围反而缓慢扩大,本次找到马老医生,做了皮肤活检。
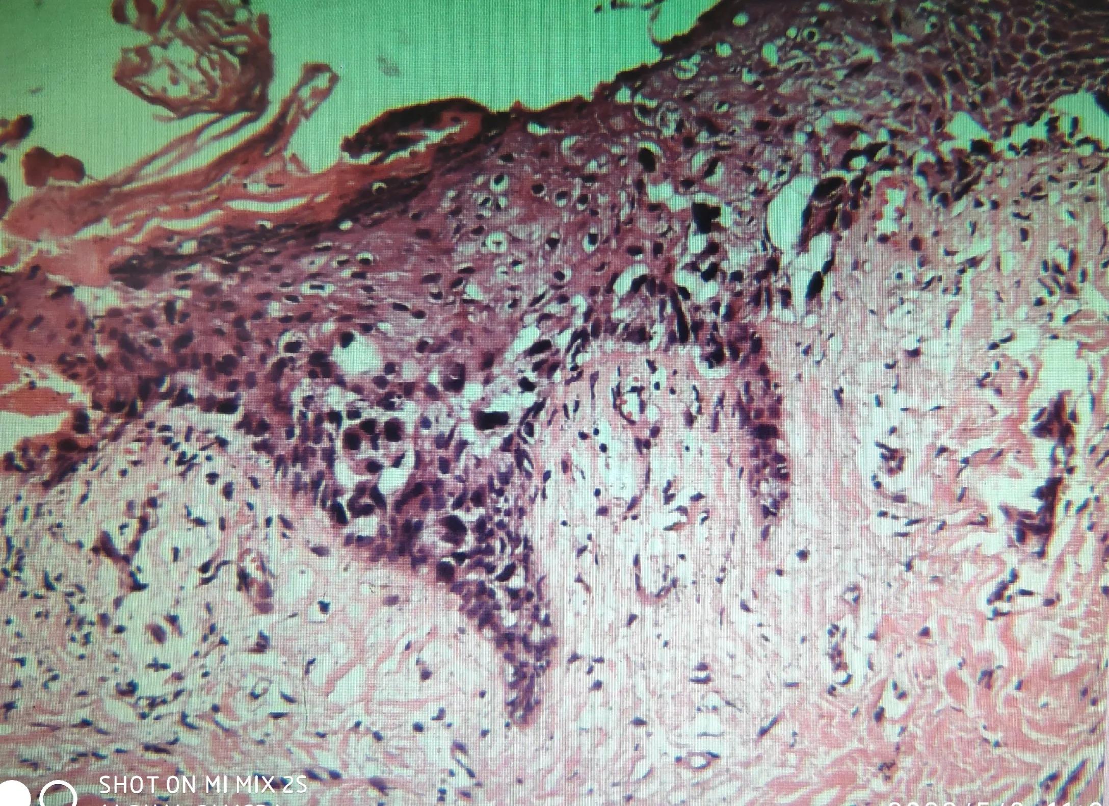
镜下见小块皮肤组织,表皮中基底及棘层见数个空泡状的异形细胞,胞核大而深染,异型性大,高度怀疑是湿疹样癌(paget病)。

乳晕活检的切片镜下观,100倍
因组织很小,我查看了病人的右乳头病灶(平台规则所限,图片未能上传)
病灶占据了2/3乳头,并累及了乳晕,乳晕处见一小的活检创口,病灶表面干燥,有痂皮,痂皮下为颗粒状糜烂面。至此,基本验证了我心中的怀疑。
告诉王女士夫妇,这可不是简单的普通的湿疹,可能不太好,要找乳腺外科手术治疗,二人似乎有一定的的心理准备,并没有太过紧张,见此,考虑到湿疹样癌的特殊性,便主动联系了乳腺外科主任,建议她先住下再说。
湿疹样癌,最常见于乳头,大多伴有乳腺导管内癌或浸润性导管癌,而且多是高级别的导管癌。有人认为是大导管癌向外爬行,累及到乳头表面的皮肤,形成湿疹样外观,本质是累及表皮的恶性肿瘤。临床医生特别是乳腺外科医生都知道,表面的病变事小,隐藏的乳腺内在肿瘤事大,手术切除是首选,术前必做的是充分评估临床分期。
住院当日,即接受了彩超及CT扫描,所幸,双侧乳腺均未发现肿块与结节,腋窝淋巴结亦未见明显肿大。充分与病人沟通解释后,入院第三日,王女士接受了右侧乳腺改良根治切除手术。
术后标本:乳头及乳晕大小正常,表面见境界清楚的浅褐色深区域,整个乳腺未检及明显肿块与结节,检及腋窝淋巴结17枚。切取全部乳头与乳晕组织,乳腺组织,全部腋窝淋巴结进行石蜡切片。乳头乳晕病变处切片见下图

乳头与乳晕交界处100倍

表皮基底及棘层见Paget细胞
肿瘤细胞胞质透亮,细胞核大,核仁明显,单个或数个成巢,散在分布于表皮的生发层和基底层,部分区域表皮萎缩、缺失、糜烂,上皮下间质见较多的炎症细胞浸润。乳头间质中个别末端输乳管上皮内有空泡样的瘤细胞,

乳头中个别输乳管上皮中见Paget细胞
乳头下乳腺组织中的大导管上皮均未见肿瘤性病变。
病理报告:右乳头及乳晕paget病,病变范围15*20mm,累及部分末端输乳管,肿瘤细胞位于表皮基底及棘层,未见有间质侵犯,乳腺组织中未见导管肿瘤性病变,腋窝淋巴结17枚,均未见肿瘤转移。
Paget病最早于1874年首先描述,是指由于乳腺癌引起的乳头结痂性改变。所有病例的乳头结痂性病变下方都伴有原位导致癌,有些可伴有浸润,因而认为是继发性病变,是导管癌沿管壁爬行向外累及了乳头的表皮。
但是有极少部分的病例,在乳头下方不存在导管癌或原位癌,而局限于最远端的输乳管,就像本例患者,则支持Paget细胞是由导管表皮内部分或位于基底部位的能够分化成腺体的多潜能上皮细胞原位恶性转化而来。
术后标本病理检查显示,王女士的乳头Paget病尚处于原位,未见浸润及转移,手术治疗已然足够了。她的经历提醒我们,乳头部位的湿疹,如果反复不愈,要予以重视,及时活检,明确诊断。