你知道常年耳边响着“嗡嗡嗡”“滋滋滋”“轰隆隆”等声音是什么感受吗?60岁的彭女士听这种声音已经听了快3年,每天不间断,长期如此,她整个人变得异常暴躁。最让她受不了的是,这些声音吵得她无法入睡,几乎每天都要靠吃*眠药安**才能入眠。

为了这不知缘由的耳鸣,她已经跑了好几家医院,去过内科、耳鼻喉科,做了很多治疗,奈何都没有效果。偶然间听到朋友说深圳市人民医院神经外科有治好这种情况的案例,她抱着一丝希望去就诊了。
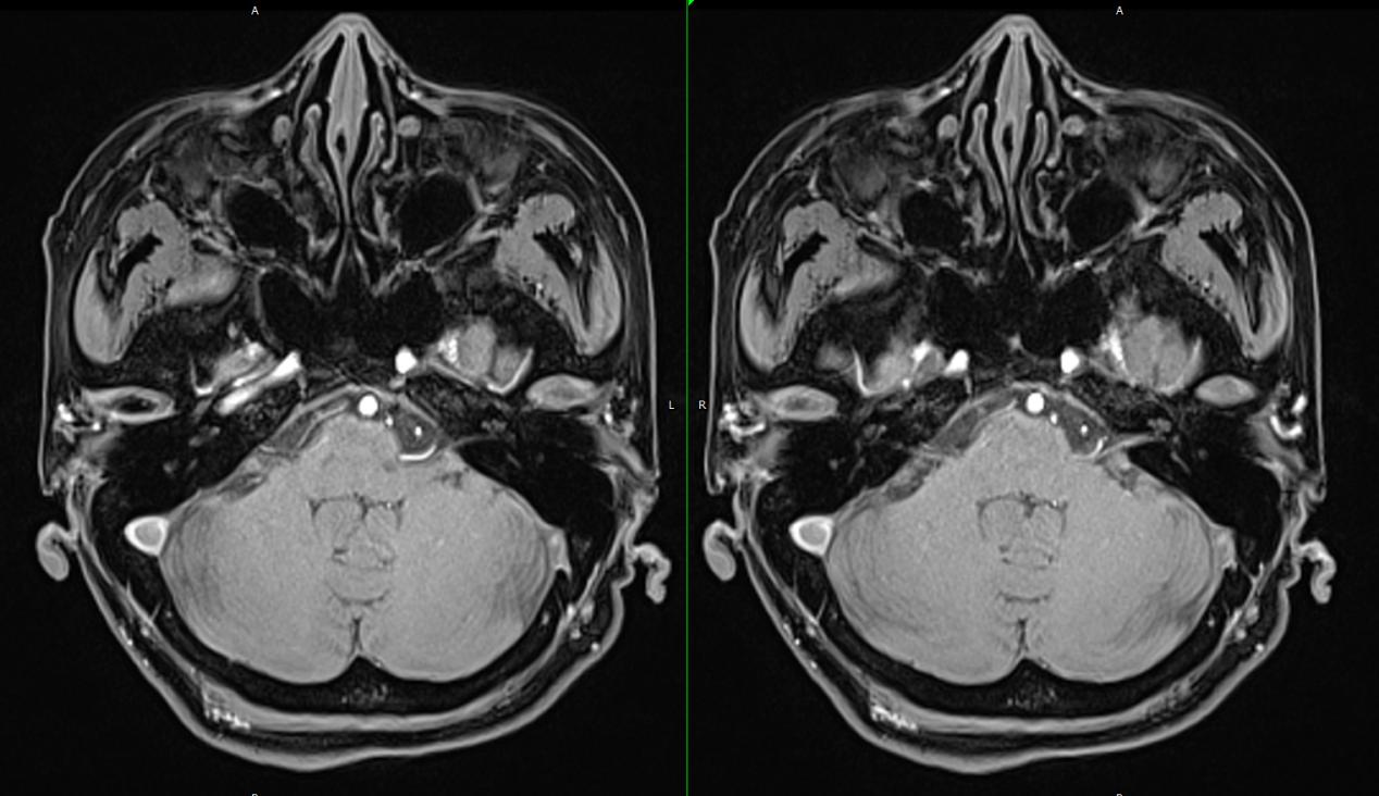
蔡医生在门诊看到彭女士的时候,第一印象是憔悴,耳鸣困扰、睡眠不足让彭女士看上去比实际年龄还苍老几岁。听了彭女士的主诉后,蔡医生让其去做面听神经MR检查,结果提示听神经有血管伴行和压迫。这下,困扰彭女士许久的耳鸣终于找到病因了,就是听神经压迫。为了解除听神经压迫,蔡医生建议彭女士做听神经微血管减压术,彭女士和家人商量后,同意手术。

微血管减压术不用大开颅,只需在患者耳后切口,开一小骨孔开颅,把仪器探进去,进入桥脑池找到听神经。在显微镜下可见小脑前下动脉行走于面听神经之间并压迫听神经,蔡医生将这根血管移开并在听神经与血管之间植入薄层垫片,这个手术就完成啦。

做完手术后,彭女士基本情况良好,耳鸣症状减轻不少。她高兴得不得了,求医这么多年,终于有点效果了。术后一周无异常情况就办理出院,一个月后再随访,彭女士高兴地说:“现在耳鸣已经基本上没有了,我耳根终于清净了,吃好睡好心情更好!”
耳鸣的原因多种多样,多数为内耳道病变或听神经病变所致,找到病因后就可以对症治疗。但是有一类耳鸣病人,内耳或颅内的各项检查都未能发现病变,普通的治疗无效,就跟彭女士一样。这个时候就应该考虑是否存在血管压迫听(耳蜗)神经的可能,做一个面听神经的磁共振(MR)即可发现问题,而且这类患者常表现为高频耳鸣或高频混合低频耳鸣,伴有波动性、缓慢进展的听力下降,有些病人还伴有位置性眩晕。

对于血管压迫听(耳蜗)神经造成的耳鸣,行听神经微血管减压术是最好的选择。蔡医生最近接诊了3例类似的病人,都做了听神经微血管减压术,术后3个月耳鸣基本消失,听力完全恢复。

如果你或者身边的朋友有常年耳鸣且经内科或耳鼻喉科治疗不佳的情况,不妨考虑去做个面听神经MR检查,或许你的病因就在那里。
想要了解更多医学科普知识,请关注神经外科蔡医生
文中图片均来源于网络,若有侵权,请联系删图。