脑外伤术后4家医院治后无效,颅骨修补术和脑室腹腔分流术后仍意识模糊、大小便*禁失**、脑积水、间断发热近2月,李小勇脑脊液科治后变正常
患者男,65岁,河北省邯郸市临漳县人。
一、李小勇脑脊液科入院前病史
2019年10月20日患者骑电动车在马路上行驶时被大货车撞倒,当时意识清楚,只感到有些头晕,未在意就自行回家,但回家后约3-4小时出现头晕加重,并伴有恶心呕吐的症状,家人急送到当地的河北省邯郸市某医院,查头颅CT示脑出血( 图-1 );既往病史2015年曾因头部外伤致硬膜下血肿,进行了钻孔引流术。

图-1: 2019年10月20日头颅CT
急诊进行了开颅去骨瓣血肿清除术,术后次日查头颅CT示去骨瓣术后( 图-2 )。

图-2: 2019年10月21日头颅CT
开颅术后第2天即2019年10月22日,仍昏迷,查头颅CT示积血未见减少( 图-3 ),给予腰椎穿刺术。

图-3: 2019年10月22日头颅CT
开颅术后第4天即2019年10月24日,查头颅CT示积血仍未明显减少( 图-4 )。

图-4: 2019年10月24日头颅CT
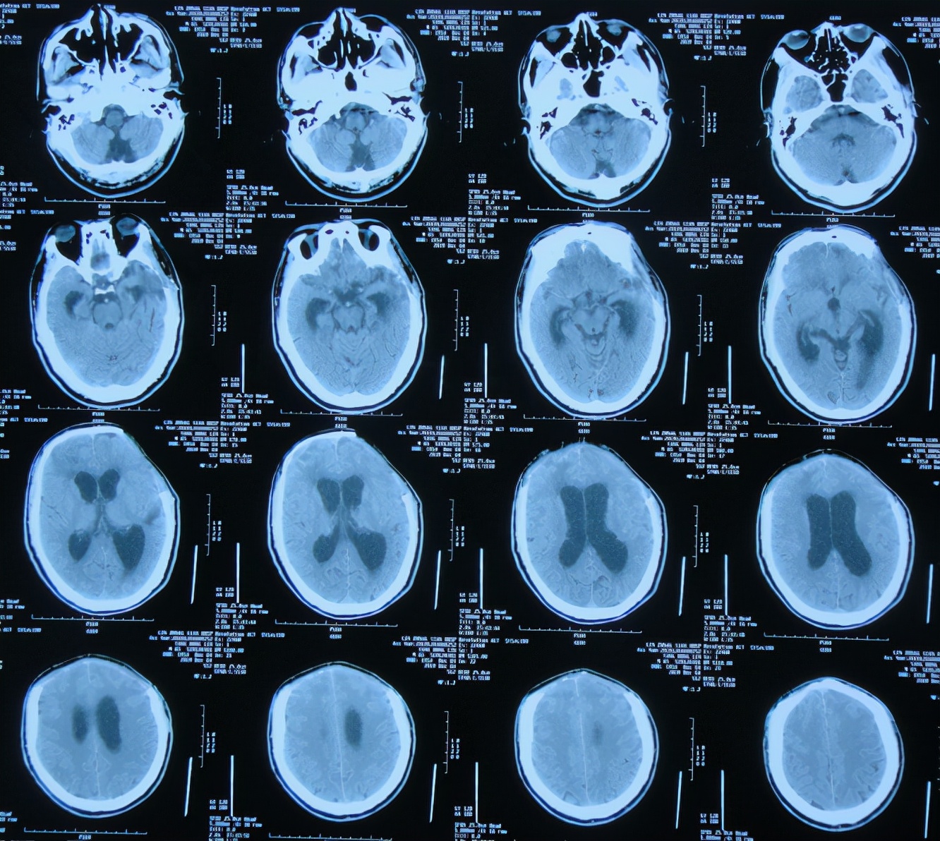
继续治疗1周时间内,曾3次复查头颅CT( 图-5、图-6、图-7 )均示脑膨出逐渐加重的趋势,仍有积血;期间给予腰大池引流。

图-5: 2019年10月26日头颅CT

图-6: 2019年10月29日头颅CT

图-7: 2019年10月31日头颅CT
开颅术后14天即2019年11月3日,虽仍有些积血,但脑膨出有好转( 图-8 ),意识也变清。

图-8: 2019年11月3日头颅CT
开颅术后18天即2019年11月7日,脑膨出进一步好转( 图-9 )。

图-9: 2019年11月7日头颅CT
开颅术后26天即2019年11月15日,查头颅CT示积血基本消失,脑膨出变正常( 图-10 )。

图-10: 2019年11月15日头颅CT
开颅术后30天即2019年11月19日,出现走路不稳,查颈椎核磁( 图-11 )后认为无明显异常。

图-11: 2019年11月19日腰椎核磁
开颅术后33天即2019年11月21日,查头颅CT( 图-12 )后认为无明显异常随后出院。

图-12: 2019年11月21日头颅CT
但第1家医院出院后13天即2019年12月4日,出现尿*禁失**,到当地的邯郸市临漳县某医院查头颅CT( 图-13 )后,转给给予开颅手术的医院医生,医生认为与出院时无明显变化,但之后的6天时间内出现走路不稳,大小便*禁失**加重的症状。

图-13: 2019年12月4日头颅CT
为求进一步有效治疗,于第1家医院出院后19天即2019年12月10日,住入第2家的北京某解放军的三甲医院,入院次日查头颅CT( 图-14 )后认为是脑积水。

图-14: 2019年12月11日头颅CT
入院3天即2019年12月13日,同时进行了颅骨修补术+脑室腹腔分流术。术后3天即2019年12月16日,在搀扶下可以下床走路活动,查头颅CT示颅骨修补术后+脑室引流术后状态( 图-15 )。

图-15: 2019年12月16日头颅CT
但颅骨修补术+脑室腹腔分流术后第5天即2019年12月18日,出现意识有点不清。
颅骨修补术+脑室腹腔分流术后第6天即2019年12月19日,复查头颅CT示引流管周围少量出血( 图-16 ),给予拔除头部引流,换做腰大池引流。

图-16: 2019年12月19日头颅CT
腰大池引流术后5天即2019年12月24日(颅骨修补术后11天即拔除脑室引流管后5天),查头颅CT示脑室仍扩张( 图-17 )。

图-17: 2019年12月24日头颅CT
腰大池引流术后8天即2019年12月27日(颅骨修补术后11天即拔除脑室引流管后8天),查头颅CT示脑室有缩小,积血减少( 图-18 )。

图-18: 2019年12月27日头颅CT
腰大池引流术后11天即2019年12月30日(颅骨修补术后11天即拔除脑室引流管后11天),查头颅CT示仍有脑室扩张( 图-19 )。

图-19: 2019年12月30日头颅CT
腰大池引流后13天即2020年1月1日,复查头颅CT( 图-20 )示认为积血基本吸收;给予拔除腰大池引流管。

图-20: 2020年1月1日头颅CT
但拔除腰大池引流管后第2天就出现了发热,再次给予腰大池引流,但引流出淡红色浑浊脑脊液,且化验脑脊液示白细胞高,考虑颅内感染,脑脊液培养无细菌生长,给予抗菌素后3天后体温变正常。
第2次腰穿引流后11天即2020年1月14日,查头颅CT( 图-21 )后认为病情有好转,随后拔除腰大池引流管,计划明日第2次进行脑室腹腔分流术。

图-21: 2020年1月14日头颅CT
颅骨修补术后33天即第1次脑室分流管拔除后27天2020年1月15日,进行了第2次的脑室腹腔分流术( 图-22 )。

图-22: 2020年1月15日头颅CT
颅骨修补术后35天即第2次脑室腹腔分流术后2天2020年1月17日,病情稳定,查头颅CT( 图-23 )后认为无异常。

图-23: 2020年1月17日头颅CT
颅骨修补术后40天即第2次脑室腹腔分流术后7天即2020年1月22日(第2家医院住院治疗43天)出院,转住入第3家的北京某康复医院进行康复治疗。
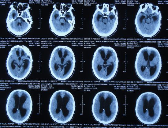
在第3家医院康复治疗近1个月时间内,曾4次查头颅影像(2020年1月22日( 图-24 )、2020年1月29日( 图-25 )、2020年2月10日( 图-26 )、2020年2月19日( 图-27 ))均示脑室仍有扩张,但未给予特殊处理。

图-24: 2020年1月22日头颅核磁

图-25: 2020年1月29日头颅CT

图-26: 2020年2月10日头颅CT

图-27: 2020年2月19日头颅CT
但住院期间间断性发热仅给予药物后仍反复,且大小便时有*禁失**,因此于第3家医院治疗28天后即2020年2月19日,转回当地的第4家河北省邯郸市某三甲医院治疗。
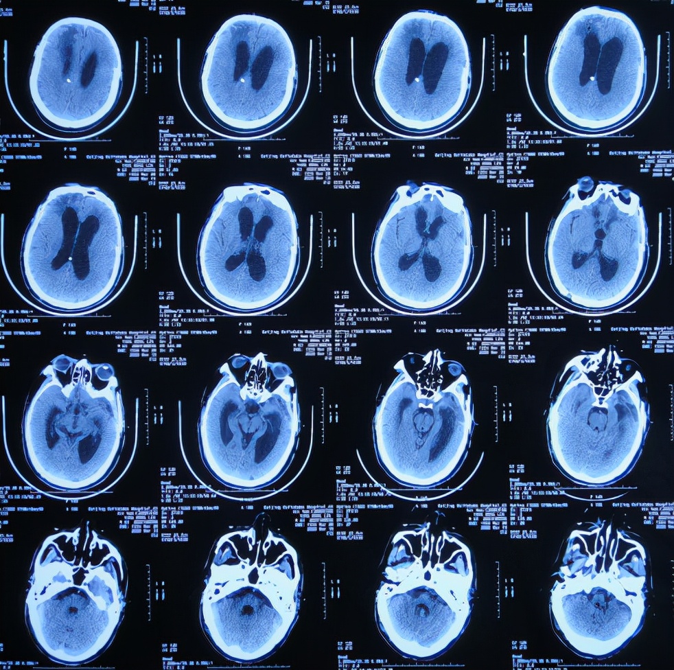
在第4家医院治疗26天,仍间断性发热、大小便*禁失**加重,住院期间曾2次查头颅CT(2020年2月27日( 图-28 )、2020年3月12日( 图-29 ))示脑室仍扩张。

图-28: 2020年2月27日头颅CT

图-29: 2020年3月12日头颅CT
治疗期间给予抗生素,并多次腰椎穿刺,脑脊液培养示无菌,发热虽有好转但大小便*禁失**无改善,且意识变模糊。经当地医生介绍转住入北京北亚骨科医院的李小勇脑脊液科。
二、李小勇脑脊液科治疗过程和结果
2020年3月18日(颅脑外伤开颅术后149天即颅骨修补术后95天即第2次脑室腹腔分流术后62天,先后经4家医院治疗后仍意识模糊,大小便*禁失**,脑积水,间断发热近2月)转住入李小勇脑脊液科。入院时:意识模糊,大小便*禁失**,体重较前明显减轻,体温高38度左右;头部可见引流管走向;右侧肢体活动差些;鼻饲流食( 图-30 );入院时头颅CT示颅骨修补术后、脑室引流术后仍脑积水,有水肿( 图-31 )。

图-30: 2020年3月18日入院时

图-31: 2020年3月18日头颅CT
入院次日拔除了原脑室腹腔分流管+脑室外引流术( 图-32 )。

图-32: 2020年3月19日头颅CT
入院治疗12天即2020年3月30日,查头颅CT示脑室有缩小、水肿有减轻( 图-33 )。

图-33: 2020年3月30日头颅CT
入院治疗19天即2020年4月6日,进行了脑室腹壁外引流术( 图-34 )。

图-34: 2020年4月6日头颅CT
入院治疗21天即2020年4月8日,引流出黄色脑脊液,管壁内呈淡红色( 图-35 )。

图-35: 2020年4月8日
入院治疗36天即2020年4月23日,意识变好,体温已正常20余天,饮食变得正常但需喂食,自己手部力量弱( 图-36 )。

图-36: 2020年4月23日
入院治疗50天即2020年5月7日,病情进一步好转为:意识变清楚,能遵嘱做动作,变得能坐轮椅活动( 图-37 )。

图-37: 2020年5月7日
入院治疗53天即2020年5月10日,复查头颅CT示脑室缩小( 图-38 )。

图-38: 2020年5月10日头颅CT
入院治疗64天即2020年5月21日,自己吃饭已变基本正常( 图-39 )。

图-39: 2020年5月21日
入院治疗71天即2020年5月28日,进行了脑室腹腔分流术。
入院治疗85天即2020年6月11日(脑外伤开颅术后经外院4家医院149天治后病情仍反复,但李小勇脑脊液科治85天康复出院);出院时:意识清楚,饮食变完全正常,体重较入院时明显增加,在俩人的搀扶下能缓慢的行走( 图-40 )。

图-40: 2020年6月11日出院时
三、出院后随访
出院后1年零7个月即2022年1月,家属发来视频:身体已变正常,肢体活动灵活,走路正常( 图-41 )。

图-41: 2022年1月
(完