#健康科普挑战赛# @头号创作者
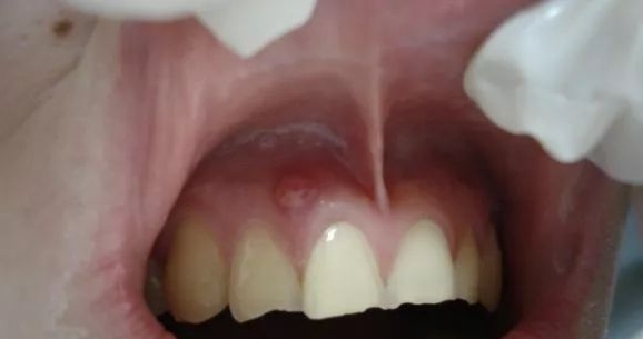
大家对牙龈上长脓包的情况已经见怪不怪了,吃东西的时候总觉得不舒服,总会摩擦到这个位置。如果没及时去处理脓包,它还可能越来越大而且越来越疼,连吃消炎药都不管用! 胆子大的忍不住把脓包戳破了,流出的脓液挺让人倒胃口,还会担心没有消毒会不会感染的问题。那么这脓包到底是怎么回事呢?为什么会反反复复呢?到底该怎么处理它呢?
今天“胡子叔叔”就带大家认识下这让人纠结的“脓包疙瘩”。除去一小部分的特殊原因,大多数的牙龈上长了脓包就代表着相应位置的牙齿出现了炎症问题。这就需要引起重视了。
你看到的只是表面现象,究其原因:一般情况是牙根炎症或牙龈炎症。
1.牙根有炎症(多见于严重的蛀牙,补牙和根管治疗后的患者)
当蛀牙波及到牙髓的时候,细菌感染牙髓后慢慢繁殖引起牙根发炎,细菌感染牙髓演变成牙根炎症,引起牙槽骨蔓延,牙槽骨遭到炎症影响,所以牙龈上才会鼓起一个脓包,从根尖到牙根的瘘管,脓包内产生的分泌物由此流出。

2.牙周围有炎症(多见于口腔环境差,青少年或妊娠期,长期服用某些药物的患者)
一些食物嵌塞的情况下产生的牙龈炎症,未得到有效控制,有可能发展成牙周炎症或牙周脓肿,进而形成脓包。激素水平异常的时期也容易产生牙周的炎症或牙周脓肿,比如青少年时期的学生,妊娠期的妇女等。

对于牙龈脓包可以自己用针挑破吗?吃药有用吗?
最好不要自己盲目乱动,更不要用手去挤破脓包,手上细菌更多,挑破伤口未及时消毒处理,这样会引起二次感染。建议到正规的口腔机构检查看看判断是牙周引起的还是根尖炎症引起的,然后再进行治疗。
另外,牙齿问题,吃抗生素在短时间内是可以起到消炎症状,但治标不治本,还是会反复起脓包,那时病情只会更严重,费钱又痛苦。

对于以上两种脓包的处理方法当然也是不一样的,都需要专业医生来处理。一般来说:
1.如果是由根尖炎症导致的,那么就要拍片检查一下其根尖周组织破坏情况,看看患牙是不是能够保留。如果无法保留,那么就要面临拔除了;如果能够保留,那么就要做牙髓处理(根管治疗),并且在牙龈下做切口排脓,放药,几天后如果好转,就可以做补牙处理了。
2.如果是牙周引起的脓包,治疗原则就是止痛防止感染扩散,由医生将牙周袋内或牙龈切开引流,缓解疼痛,冲洗脓腔并导入消炎药。处理完毕后,应注意饮食,避免辛辣刺激等。
怎么能够预防脓包的产生呢?
1、关键是控制和消除牙菌斑,目前最有效直接的方法就是直接去看牙医,看牙医给你解决的方案。
2、每天坚持正确刷牙,按摩牙龈,促进牙龈血液循环,增强牙龈组织的抗病能力。注意锻炼身体,增强机体免疫力。
3、除去局部刺激因素,清洁牙齿和刮除牙周的牙石、牙垢,矫正不良修复体及矫治食物嵌塞,基本可治愈。
4、牙周病发病后应积极治疗,初期疗效尚好,晚期疗效较差,会导致丧失牙齿的后果。
5、补充含有丰富维生素C的食品,可调节牙周组织的营养,有利于牙周炎的康复。
“胡子叔叔”衷心祝愿您的口腔健康,笑口常开。
您的关注,是我们前进的动力!