“医生,我最近总感觉手指和脚趾有点变异了。” 李先生来到医院,向医生诉说他的症状。
医生仔细观察了李先生的手指和脚趾,发现它们比正常人要粗大一些,并且指甲也有些变形。医生建议李先生做个CT扫描,以便更好地了解病情。
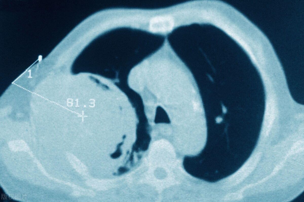
CT结果显示,李先生的肺部有一个肿瘤,大小约为4厘米。李先生对此非常惊讶,因为他并不是烟民,也没有咳嗽或胸闷等典型的肺癌症状。
医生告诉李先生,杵状指是肺癌的一种早期信号,李先生应该尽快接受治疗。
李先生很庆幸他及时就医,如果不是因为手指和脚趾的变异引起他的注意,可能他会错过早期治疗的机会。

一、“杵状指”是什么?
杵状指(clubbing),也被称为指端扩张症,是指指(或趾)的末端部分肿胀,指(或趾)甲的形状和角度改变,使它们向上凸出。杵状指在医学上被视为一种体征,可以提示患者身体内部发生了某些疾病或病理生理过程。通常,正常的指甲床与指甲成一定的角度,但是当发生杵状指时,这个角度会增大。
引起杵状指的疾病和情况包括:
1.心肺疾病: 肺癌、慢性肺病、肺动脉高压、肺心病等心肺疾病可以导致氧气供应不足,引起血管扩张和杵状指的出现。
2.消化系统疾病: 克罗恩病、溃疡性结肠炎等消化系统疾病可以引起杵状指。
3. 其他疾病: 包括感染、甲状腺功能亢进、淋巴水肿、家族性、脑肿瘤等疾病。

二、肺癌与“杵状指”的关系
肺癌是导致杵状指的最常见原因之一,尤其是非小细胞肺癌(NSCLC)。 肺癌可能引起杵状指的机制尚不完全清楚,但主要是由于肿瘤所产生的生长因子和细胞因子,以及肿瘤对周围组织的压迫所致。这些因子可以导致周围的毛细血管扩张和血管生成,从而引起杵状指的出现。
“杵状指”在肺癌中的发生率相对较高,尤其是在NSCLC患者中。 根据研究,大约有5%到15%的NSCLC患者出现了杵状指。此外,在肺癌患者中,出现杵状指的患者通常年龄较大,病情比较严重,同时患有其他相关病史,如吸烟、慢性阻塞性肺疾病等。
杵状指与肺癌的分期和预后之间存在一定的关系。 研究表明,出现杵状指的NSCLC患者通常处于晚期疾病(分期较高),而且预后相对较差。杵状指出现越早,患者的预后越差。此外,出现杵状指的NSCLC患者的生存时间通常比没有出现杵状指的患者短。因此,出现杵状指可以作为肺癌的一个不良预后因素。

二、其他疾病与“杵状指”的关系
1.心脏疾病和“杵状指”: 心脏疾病可能导致血液循环不良,使得血液难以流回心脏,从而导致毛细血管扩张和血管生成,引起杵状指的出现。例如,感染性心内膜炎、先天性心脏病、心包炎、心力衰竭等心脏疾病都可能引起杵状指。
2. 其他癌症和“杵状指”: 除了肺癌之外,其他的癌症也可能引起杵状指的出现。例如,消化道肿瘤、肝癌、乳腺癌、甲状腺癌、子宫颈癌等。癌症引起的杵状指通常是由于恶性肿瘤释放生长因子和细胞因子,从而导致毛细血管扩张和血管生成。

三、如何检查和治疗肺癌?
1 检查“杵状指”的方法
在发现了杵状指的情况下,需要进行全面的身体检查和病史调查,以确定引起杵状指的确切原因。常见的检查方法包括:
生物化学检查: 通过检测血液中的肝酶、心肌酶、肌酸激酶等物质来判断是否存在心脏或肝脏等器官的病变。
影像学检查: 通过X线、CT、MRI等影像学技术,对肺部、心脏、肝脏等器官进行检查,以了解是否存在肿瘤、结构异常等情况。
生物组织检查: 通过活检、穿刺等方法,采集患者的生物组织进行检查,以确定是否存在癌细胞、感染等情况。

2 “杵状指”的治疗方法
对于引起杵状指的疾病,应针对具体的病因进行治疗。 例如,对于肺癌患者,治疗方法可能包括手术切除、放疗、化疗等;对于心脏病患者,可能需要药物治疗、手术治疗等;对于其他疾病患者,可能需要采取抗生素治疗、免疫治疗等措施。在治疗过程中,还应关注杵状指的治疗。对于轻度的杵状指,通常不需要特殊治疗;对于中度或严重的杵状指,可以考虑以下治疗措施:
氧疗: 对于缺氧性疾病引起的杵状指,可以进行氧疗,增加血液中氧气的含量,减轻杵状指症状。
手术治疗: 对于杵状指症状严重的患者,可以考虑手术治疗。手术主要是通过切除相关病变,恢复正常的血液循环,减轻杵状指的症状。
药物治疗: 对于杵状指引起的疼痛等症状,可以考虑采用药物治疗。例如,使用非甾体消炎药、镇痛药等缓解疼痛。

3 患者的生活方式和预防措施
1、戒烟和避免吸二手烟: 吸烟是肺癌等疾病的主要危险因素之一,因此,患者应尽量戒烟或避免吸二手烟。
2、饮食均衡: 饮食均衡对于患者的身体健康和康复非常重要。建议患者多摄入新鲜蔬菜和水果,减少高脂肪、高热量食品的摄入。
3、加强锻炼: 适当的锻炼可以帮助患者增强身体的免疫力和体力,促进康复。
4、减轻精神压力: 精神压力可能会对患者的身体产生负面影响,因此,建议患者通过放松、休息、交流等方式减轻精神压力。
5、定期体检: 定期体检有助于早期发现和治疗疾病,对于预防杵状指等体征的出现也很有帮助。

杵状指并不是肺癌的必备症状,也可能出现在其他疾病中。因此,在出现杵状指的情况下,需要进行全面的身体检查和病史调查,以确定引起杵状指的确切原因。肺癌是引起杵状指的最常见原因之一,但也可能由其他疾病引起。针对具体的病因进行治疗,可以缓解杵状指的症状。