相关案例
葛先生,53岁,右手被车床绞伤3小时入院,入院时损伤严重,右手几乎完全毁损。
在急诊室内见到他的时候,他一直在重复一句话:完了,完了,接不上了,废了。
原来这是葛先生第二次以同样的方式伤到自己的右手,上次的具体情况我们并不了解,但手术并未能保住葛先生右手三个半手指,也就是说他只有拇指是完整的。
葛先生自述这次的伤比上一次还严重。
厦门大学附属翔安医院骨科周大果主任医师看到创面后,禁不住想起最近几例成功断指再植的病人,这个病例属实伤的最严重,今晚又是一场恶战,争分夺秒,说战就战。
出于医者仁心和对患者的同情,周主任决定要尽量保住葛先生的右手。
因为右手残留的拇指对他的生活质量太重要了。

三维CT显示粉碎骨折的右手拇指
“拯救”右手
这么说的,也是这么干的。
晚上11.30手术开始,凌晨5.30手术结束。缝合上百针,接了5根肌腱,2根动脉,4根静脉,3根神经,2根骨头。
术后患者手指恢复了血运,终于有了手的形状。
但还不代表成功,因为手指的血管实在太细了,后期存在再次堵塞的可能,围手术的管理也是至关重要,不做剧烈运动,不着凉等等。
幸运的是术后患者的手指并没有黑掉,而是一天比一天好。
急诊室内见到的葛先生被车床绞伤的手,着实吓了一跳。连葛先生本人也认为没有任何留住的机会了。手术前清洗干净的伤手,皮开肉绽,肌腱外露,指骨粉碎,拇指仅剩屈指肌腱连接,实际上已经完全离断,已经没有了手的形状。
手术后的右手,密密麻麻的缝线,这才有点手的样子。术后1周,右手拇指仍保持很好的血运,这时悬着的心才落地,葛先生的手总算保住了。

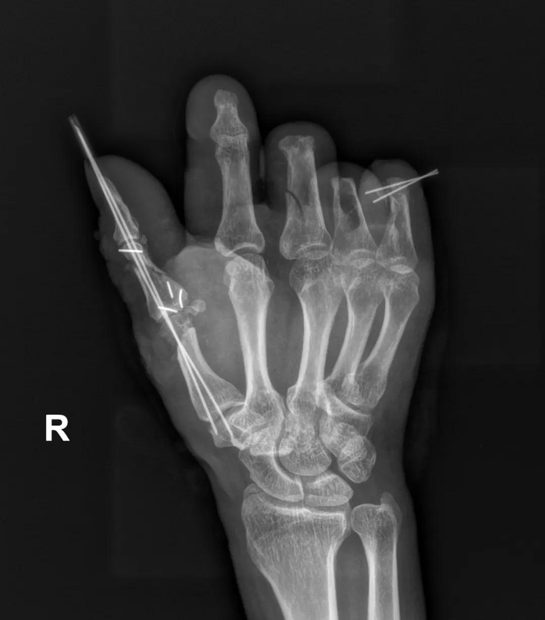
术后X光片显示接好的手
最后提醒大家:
立秋之后,温差逐渐变大大,在安全生产工作中,设备和金属构件容易发生锈蚀、扭曲、破裂,将会直接导致泄漏和爆炸事故,因此设施设备的检查、维护、保养工作尤为重要。
看似不经意的小习惯、坏毛病本身就是安全生产的“大隐患”,千万不要让安全意识“打了盹”!