7岁小女孩的辍学并不是因为穷,也不是懒。
这几个月老师很有意见,因为她总是在课堂上突然莫名其妙的大笑不止,这不只让老师无法继续上课,自己也逐渐出现了明显抑郁症状。

笑是最普遍的情感表达方式,可为什么难以让人接受呢?
笑是一种最为普遍的情感表达方式,很少有人会因为“发笑”就医。但是,很多神经系统疾病会引起病理性发笑。我们称之为“痴笑”。
反复发作的、刻板的、不受控制的、不自然的、无欢欣表情的笑——这是痴笑的常见表现形式——这是癫痫的一种发病形式。这也是这个7岁小女孩不正常大笑的原因。

第一个发现这种不正常“大笑”的大神们是谁?
1877年,Trousseau发现有的患者出现晕厥、抽搐和发笑,将其称之为“癫痫性晕厥”。直到1957年,Daly和Mulder首次将其命名为癫痫痴笑。1971年,Gascon和Lambroso认为间脑病变是导致癫痫痴笑的主要原因。
什么样的大笑能被认为是“癫痫痴笑”?
-
在有或无外界刺激的情况下,反复刻板的发作。
-
可伴有其他癫痫发作类型。
-
发作期或发作间期脑电图检查出现癫痫样脑电波发放。
-
痴笑发作时可有或无意识障碍。
一句话总结:
短暂的、不合时宜的、没有主观愉悦感的、不受主观意识控制的强迫性发笑,有时会表现为自然的微笑或伴有发“咯咯”声的大笑,或伴有面肌痉挛,以及自主神经症状(如脸红、呼吸改变、腹部不适等),发作时病人通常意识清楚,少数伴有尿*禁失**。
大脑里发生了什么变化会让人痴笑?
笑和哭的情感通路涉及到大脑的多个部位,其中最主要的一个通路是:眶额叶皮层、前扣带回、前岛叶、颞下回皮层、颞枕区皮层、海马-杏仁核-下丘脑-中脑导水管灰质-脑桥被盖。这个通路的任何一个部位受损,均有可能产生病理性哭或笑。

痴笑发作时伴或不伴有愉悦感,主要取决于受损的部位。目前认为,中颞叶区(杏仁核、梭状回、海马)的病因所产生的痴笑常伴有愉悦感;而前扣带回、额叶运动前区、岛叶导致的痴笑发作不伴有愉悦感。

看得懂吗?不明白正常,因为我们的大脑确实太过复杂,目前的科学家仍无法捋清思路,所以就会产生这些复杂的分析。

说说治疗吧,同样复杂......
痴笑发作按症状出现时间、有无情绪改变及意识受损,分为两类:单纯性和非单纯性。
【单纯性痴笑】
主要发生在5岁以下,除了发笑以外,无情绪变化和意识障碍,几乎不伴有其他癫痫症状,多有下丘脑错构瘤,如进一步压迫下丘脑,患者还可出现性早熟症状。
这类患者对药物治疗反应不好,预后差,早期手术切断错构瘤与周围组织的病理联系可减少或终止发作。


【非单纯性痴笑】
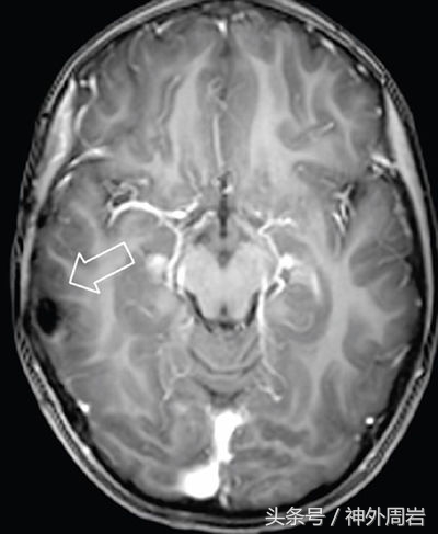
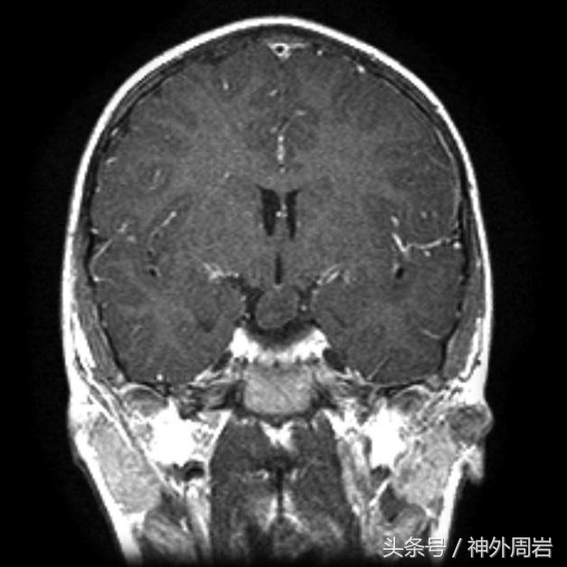
主要发生在5岁以上,常由下丘脑错构瘤以外的病灶致病,多与颞叶或额叶的肿瘤、出血、感染、额角或颞角扩大等有关。多伴有其他癫痫症状或意识障碍,但预后较好。8%的痴笑发作由隐源性病因造成(如脑部结构的微笑异常)。
治疗上一般首选卡马西平药物治疗,亦可选择丙戊酸钠。
