
声明:本文仅用于科普用途,不能作为治疗依据,为了保护患者隐私,以下内容里的相关信息已进行处理
转自小荷健康App真实医生笔记
【基本信息】男,58岁
【疾病类型】肺癌cT1aN0M0 Ia1期
【治疗医院】浙江省中医院
【治疗方案】单操作孔胸腔镜下肺部分切除术(左上肺) +淋巴结采样术
【治疗周期】1-3天
【治疗效果】3个月复查无复发
一、初识患者
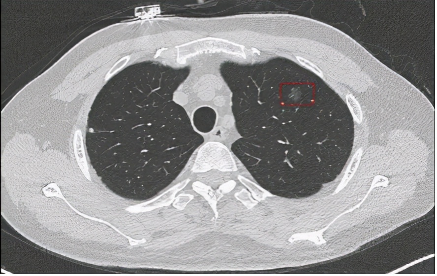
这位患者姓李,是云南人,在浙江省一个餐饮店里边当厨师,最近这两个月以来没有什么食欲,一个月前体检发现左肺有结节,并且有23年的抽烟史,平均一天一包,不喝酒也没有肺癌家族史,来我院就诊时患者的面色较差,因为他说好久没正常吃饭了,没有什么胃口,在看了患者自带的肺部CT片子后我考虑患者可能是肺癌,于是为患者办理入院。

二、患者的治疗过程
入院后我为患者完善了相关实验室检查,实验室检查提示为肺癌。于是在CT引导下经皮肺穿刺活检病理结果为左上肺恶性肿瘤。完善全身PET-CT检查后并未发现肺癌有转移,根据上述发现,临床分期为cT1aN0M0 Ia1期。
患者目前是左上肺癌为Ia1期,是肺癌的早期,短时间内不对生命造成威胁。可以通过手术切除,手术成功后5年内无复发就和普通人一样了。手术治疗成功率较高,嘱患者保持良好的心态。在及时告知患者及家属此病的危险性,征求患者及家属的意见,一致同意采用手术治疗的方式,在排除手术禁忌后且具备手术条件时,及时进行手术治疗。在全麻下为患者行“单操作孔胸腔镜下肺部分切除术(左上肺) +淋巴结采样术”,整个手术过程十分顺利,手术时间约2个小时,术中将患者的病变组织送冰冻病理检查提示:肺原位腺癌,将局部肺组织切除后插入引流管引出患者胸腔内液体,避免发生胸腔积液或者积液继发感染等恶性事件,一切完成后便结束手术,术后将患者安全送返病房,在手术当天返回病房后给予患者补液,禁食,护肝,护胃,抗炎,纠正水电解质酸碱平衡等对症处理。
术后病理报告:左上肺结节处肺原位腺癌,伴微浸润(浸润灶最大径约0.2cm) 未侵及脏层胸膜,手术标本吻合钉切缘未见癌累及,最大径0.6cm。病理报告:找到(第5组)淋巴结1个、(第9组) 淋巴结1个,均未见癌转移。
术后第二天复查胸片未见明显积液,肺复张良好,于是决定拔除胸管,拔除胸管的过程也十分顺利,患者自觉无任何不适。针对患者的后续治疗,我们科医疗团队一致认为......
点击>>>「「链接」」<<<继续阅读治疗过程、注意事项、医生感悟
本文是真实治疗经验,不能作为治疗依据。版权归作者所有,禁止转载。如内容有误或有侵权等问题,请在评论区留言,或私信本头条号。