上一篇写的“硬膜下血肿的慢治疗”笔记,讲的是小血肿。对小血肿而言,慢就慢点,不会出危险。但大血肿呢?巨大硬膜下血肿患者还适合这种“慢治疗”吗?实际上,慢治疗适用于小硬膜下血肿患者,还特别适用于年纪大、但一般状况尚平稳的超老年慢性硬膜下血肿患者。以下就是这样1例巨大硬膜下血肿的传奇病例。
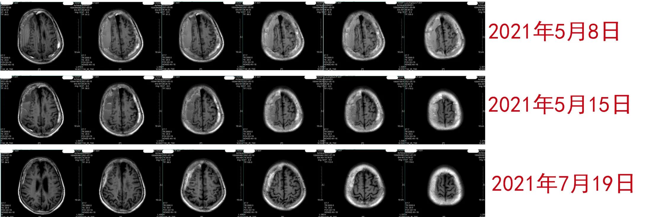
患者LMQ,93岁,是一名安逸的老太太。她平时身体很好,凡事都亲力亲为。今年3月20日,因为自己洗澡,摔了一跤,头破血流的。家人平时非常孝顺,这下都慌了神,在几天内,先后给做了3次头CT,以确定是否有颅内出血,结果都没有明显的异常发现,不禁松了一口气。但约半个月后,老人家开始头晕,复查CT,仍然没有明确颅内有异常,但仔细看,好像左侧形成了硬膜下血肿。套用江湖老话 “没有无缘无故的爱”,实际上也 “没有无缘无故的硬膜下血肿”。显然外伤是导致这个血肿的原因。再过20多天,老人出现左侧肢体无力,终于确诊为硬膜下血肿,多数医生都建议手术。她的家人担心高龄老人禁不起手术折腾,一片慌乱。但是,他们看老人除了走路不能像以前那样走远之外,精神意识完全正常,起居也未受到明显的影响,转诊到某著名神经外科。该医院的神经外科医生听过我的课,向家属介绍了我,邀请我过去面诊。说实在的,自从我从事神经重症专业以来,我经常出去会诊,但都是为重型脑损伤患者诊疗,还真没有专门为慢性硬膜下血肿患者会过诊。我跟这位神经外科朋友说,我可以在电话里会诊,不必远行。但我的朋友却说,家属很相信我,一定要面诊。我连夜赶到这家医院时,老人家因为白天在保姆扶助下走了一小段路,有点疲劳,已经入睡。我不得不将她唤醒。看她精神状况尚好,饮食无碍,就详细问病史,仔细查神经体征,查看影像学和治疗记录,作出短时间内应该不会出现脑疝判断后,决定应用立普妥加地塞米松治疗方案。由于是面诊,我可以详尽地向家属及同行朋友介绍我的治疗理念以及治疗中需要注意却极其容易为患者和家属忽略的细节,并交待了可能发生的副作用和应对方法。我鼓励他们,我用药物治疗过16位90岁以上的硬膜下血肿超级老人(≥90岁),战绩是100%治愈。LMQ老人被我治愈的概率也非常大,这极大鼓舞了家属和患者。我的方案很简单:每天1粒20mg立普妥,一直服用到血肿吸收为止;同时加服4周地塞米松,从3片/次,1天1次,持续1周开始,用4周时间逐步减量到停药即可。出于信赖,老人的家人并不因为我给出这么简单的方案而觉得我在慢待他们,反而极其感谢我为他们提供了非手术方案。我们相约1周后复查影像学,并请医生将患者治疗中的不适反应及时告知我,我来帮助处理。结果,治疗第三天,患者即出现睡眠困难,我判断跟激素有关,给予对症治疗后缓解;治疗1周,不仅患者的左侧肢体力量得到改善,头晕减轻;而且头磁共振检查验证了她的血肿开始减少,虽然减少得还很少,但已经有了希望,再次激励了患者和家属。2周后,医生朋友发来老人家在花园里独自行走的视频并解释因为疫情缘故,老人家没能及时复查头MRI,但承诺尽快去复查。今天,我才见到老人家治疗约2个多月后的磁共振复查影像:我欣喜地发现患者的血肿已近乎完全吸收,神经症状和体征也完全消失……
实际上,自然界里的动物组织器官都会随年龄增长萎缩退化,人老了后,脑子也会如面部出现皱纹一样自然萎缩,颅腔内就会腾出较大的缓冲空间。此时,一旦发生颅内慢性血肿,即使血肿稍微大一些,也通常不导致严重占位效应,也就不引起严重的神经症状和体征。因此,老年人才是最适合接受“慢治疗”的一个群体。这样的慢治疗,可以让患者在无创治疗中消“血”于无痕,避免接受手术的痛楚,更避免颅腔开放导致的细菌感染或脑组织损伤,避免周围器官因麻醉、镇静等因素导致并发症,治疗轻松便捷,还能最大限度保持患者的尊严。这种“慢”,对于这些老人家而言,就是“快”!在我国,硬膜下血肿一旦做了手术,多数患者都会被要求卧床休息至少到头部拆线,而这多数得花费7~9天时间。而这位老人仅仅接受药物治疗1周就症状减轻,满地行走。如今,我国着着实实地进入老年社会了,掌握了这种慢治疗,就能更多地为老人们做点有益的事。我希望更多的神经外科医生可以审慎地选择合适的慢性硬膜下血肿患者、实施这种慢治疗,造福老年患者。我们已经将这种治疗方法公开发表到共识上了,今天再次写出来供大家参考。当然,私底下,我也希望因为我帮助了这些老人,我将来也能像这他们一样豪迈地、相对健康地老去……
在这平凡的夜晚,我在北方这座中国神经外科发源之城中独自欣赏着着老人历次治疗的影像变化(图),不禁给自己倒了杯酒,自斟自饮地为这位我并不熟悉的老人家的康复庆贺,为慢治疗再次被成功验证而庆贺。这就是医生的快乐。这种快乐也许永远都不被人理解,也无需被理解……

