作者 | 北京大学肿瘤医院放疗科·王维虎、朱向高、王*智洪**
来源 | 搜狐健康
近日,著名歌手臧天朔、表演艺术家师胜杰均因肝癌治疗无效不幸逝世。感到悲痛的同时,我们不禁对肝癌充满了畏惧之心。本文目的在于让大家能够更好地了解肝癌的发病原因、临床表现以及治疗方法,特别是充分认识放疗在肝癌中的作用。希望大众能够了解肝癌,正确的看待肝癌。

最新研究显示,我国恶性肿瘤中,肝癌发病率居第3位,死亡率居第2位。我们通常所说的肝癌是指原发性肝癌,包括肝细胞肝癌、肝内胆管细胞癌及混合型肝癌三种,其中肝细胞肝癌约占原发性肝癌的75-85%。肝细胞肝癌发病的主要危险因素包括乙肝病毒/丙肝病毒感染、食用黄曲霉毒素污染的食物、酗酒等。我国肝细胞肝癌发病的主要危险因素为慢性病毒感染,其中,约80%肝细胞肝癌患者合并乙肝病毒感染。
早期肝癌通常没有症状,中晚期肝癌可能会出现腹痛、腹胀、乏力、消瘦、黄疸等,但上述症状并非特异性表现,肝炎、肝硬化者也可出现类似症状。因而,肝癌患者就诊时通常表现为中晚期病变,早期病变不足15%。因此,肝癌高危人群的筛查尤为重要,建议筛查人群为:有乙肝/丙肝病毒感染、长期酗酒、非酒精脂肪性肝炎、食用被黄曲霉毒素污染食物、各种原因引起的肝硬化者。筛查方式:血清甲胎蛋白(AFP)和肝脏超声检查是早期筛查的主要手段,建议高危人群每隔6个月进行一次筛查。
肝癌的治疗主要包括手术、消融治疗、放疗、动脉栓塞治疗、全身治疗等。消融治疗主要包括射频/微波消融等;动脉栓塞治疗主要指肝动脉栓塞化疗;全身治疗主要包括索拉非尼等靶向治疗。
放疗是利用放射线治疗肿瘤的一种局部治疗手段,它与手术治疗、化学治疗组成了恶性肿瘤治疗的主要手段。广义上讲,放疗包括外照射放疗、近距离放疗(如宫颈癌后装治疗)、内照射放疗(如甲状腺癌碘-131治疗)。狭义上的放疗通常指外照射放疗,根据放射源的不同,分为X线、γ线、质子、重粒子放疗等;放疗技术包括传统的二维放疗、三维适形放疗、调强放疗(IMRT)、旋转调强放疗(VMAT)、图像引导放疗(IGRT)等;放疗的分割模式分为常规分割放疗、大分割放疗、超分割放疗。肝癌的放疗通常采用调强放疗技术,能在充分控制局部肿瘤的同时更好地保护周围正常组织。根据治疗目的不同,可采用大分割体部立体定向放疗(SBRT),或者常规分割IMRT治疗。
放疗在肝癌的治疗中占有重要地位。从放射生物学角度讲,肝细胞肝癌对射线敏感,其敏感性与低分化鳞状细胞癌相似,放疗为通过破坏肿瘤细胞DNA,使肿瘤细胞失去增殖能力,从而使肿瘤逐渐凋亡。因此,放疗的疗效通常表现为肿瘤生长停止、逐渐缩小直至消失。放疗在肝癌中的应用主要包括:1)小肝癌(病变<5cm)的SBRT治疗;2)可手术肝癌术后辅助放疗;3)不可手术肝癌,通过放疗联合肝动脉栓塞化疗(TACE)提高疗效等。
SBRT是不可手术小肝癌患者的根治性治疗选择:
2018年国际放疗专业期刊发表了关于早期肝癌SBRT的综述性文章,纳入分析721个病灶(642名患者),结果显示,原发性肝癌SBRT治疗后3年局部控制率高达86%。研究也显示小肝癌不宜手术切除者,SBRT与射频消融一样,可作为不能手术的肝癌的替代治疗手段。2016年JCO(临床肿瘤学杂志)报道显示,224例早期肝癌分别接受射频消融(RFA)或者立体定向放疗(SBRT),结果显示,2年局部控制率分别为RFA 80%,SBRT 84%。且随着肿瘤体积增大,RFA治疗后局部复发风险逐渐提高,而SBRT无明显改变。对于>2cm的肝癌,SBRT的局部控制率明显优于RFA(图1)。

图1 SBRT治疗前后病灶变化明显(病灶如箭头所示,SBRT后肿瘤完全消失)。
可手术肝癌患者术后辅助放疗可以进一步提高疗效
手术是早期肝癌的首选治疗,手术能否完全切除以及手术切缘的宽窄与预后密切相关。术后标本病理显示,21-57%的患者即使行根治手术,术后仍存在微血管受侵,且微血管受侵患者的复发转移风险较高。北京大学肿瘤医院王维虎教授团队研究显示,微血管受侵患者,术后放疗可以进一步提高患者生存。对于切缘不充分患者,术后放疗同样可以提高疗效。该研究组纳入2007-2011年肝癌患者181例,其中切缘不充分(<1cm)患者116例,接受术后放疗者33例,未接受辅助放疗者83例,根治手术患者65例。结果显示,切缘不充分手术 +术后辅助放疗患者的局部无进展生存、总生存与根治手术患者相似。也就是原发性肝癌接受切缘不充分手术后,进一步放疗可以达到与根治手术相似的疗效。
不可手术中晚期肝癌患者放疗联合肝动脉栓塞化疗(TACE)可提高疗效
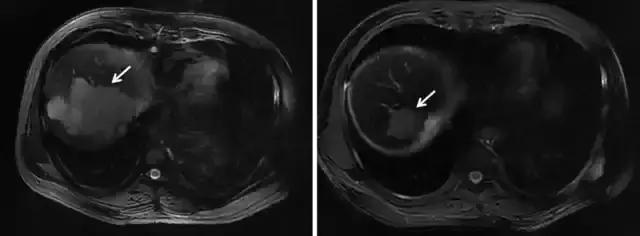
肝动脉栓塞治疗是不可手术中晚期肝癌的重要治疗手段,据报道TACE治疗疗效优于支持治疗,6个月客观有效率约35%-39%。但是,由于肝细胞肝癌具有肝动脉和门静脉的双重血供的特点,仅仅动脉栓塞化疗难以完全根治肝细胞肝癌,2年生存率约31-63%。北京大学肿瘤医院王维虎教授团队研究显示,TACE术后联合放疗,客观有效率高达80%(如图2)。2015年,一项关于TACE联合放疗对比单纯TACE的系统回顾性荟萃分析纳入了25个临床研究,共包括2577例肝癌患者。研究显示,在肿瘤治疗有效率和1、2、3、4、5年生存率方面,TACE+放疗较单纯TACE有明显优势。不可手术的晚期肝癌总体治疗疗效不佳,对局限于肝内的肝癌,接受介入栓塞化疗后仍有肿瘤残存,放疗可以提高疗效,进一步延长患者生存期。

图2 放疗联合TACE治疗后核磁共振显示:肝癌明显缩小,放疗前肿瘤大小9.7cm(左图),放疗后1月
原发性肝癌在就诊时,瘤栓发生率高达10%~40%,这部分患者缺乏有效的治疗手段,对症支持治疗后中位生存只有2-4月,但近年研究显示,放疗对瘤栓的有效率>50%。通过包括放疗与TACE等在内的综合治疗后,中位生存时间可达到12月左右(如图3)。即便是有骨转移、肾上腺转移患者,行放疗后疼痛缓解率也高达80%。

图3 核磁共振显示:放疗前门脉左支瘤栓3.8x6.6cm(左图),放疗后2月瘤栓消失(右图)。
随着放疗技术的不断进步,放疗在肝癌的治疗中必将扮演越来越重要的角色,充分认识放疗在肝癌治疗中的价值,从而让放疗为肝癌患者助力,放疗不仅可以提高肝癌患者的生活质量,还能进一步提高生存率。
随着医疗水平的不断进步,越来越多的抗癌手段和方法给罹患肿瘤的患者不断带来新的康复希望。【肿瘤防治助手】推出北京地区医院转诊服务、自费药导购服务和营养康复指导,可以微信搜索qykf120,添加小助手微信寻找自费药物的正规渠道、查询优惠信息、获得最贴心的营养康复指导。